Skip to Content
Merck
CN

SAB5702429

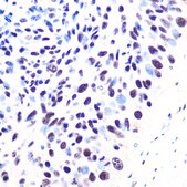
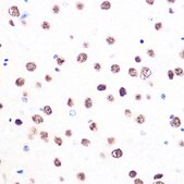
Anti-53BP1 Antibody, clone 8Y3Y4, Rabbit Monoclonal

Synonym(s):

53BP1, TDRD30, TP53, p202, p53BP1

Sign In to View Organizational & Contract Pricing.

Select a Size


About This Item

NACRES:
NA.46
UNSPSC Code:
12352203
Conjugate:
unconjugated
Clone:
8Y3Y4, monoclonal
Application:
IF, IHC, WB
Citations:
-
Technical Service
Need help? Our team of experienced scientists is here for you.
Let Us Assist
Technical Service
Need help? Our team of experienced scientists is here for you.
Let Us Assist

biological source

rabbit

conjugate

unconjugated

material

colorless

clone

8Y3Y4, monoclonal

form

liquid

mol wt

450 kDa

Quality Level

Gene Information

human ... TP53BP1(7158)

concentration

0.5 mg/mL

technique(s)

immunofluorescence: 1:50 - 1:200, immunohistochemistry: 1:50 - 1:200, western blot: 1:500 - 1:2000

color

colorless

isotype

IgG

immunogen sequence

MDPTGSQLDSDFSQQDTPCLIIEDSQPESQVLEDDSGSHFSMLSRHLPNLQTHKENPVLDVVSNPEQTAGEERGDGNSGFNEHLKENKVADPVDSSNLDT

UniProt accession no.

shipped in

wet ice

storage temp.

−20°C

target post-translational modification

unmodified

General description

Double-strand break (DSB repair protein involved in response to DNA damage, telomere dynamics and class-switch recombination (CSR during antibody genesis. Plays a key role in the repair of double-strand DNA breaks (DSBs in response to DNA damage by promoting non-homologous end joining (NHEJ-mediated repair of DSBs and specifically counteracting the function of the homologous recombination (HR repair protein BRCA1. In response to DSBs, phosphorylation by ATM promotes interaction with RIF1 and dissociation from NUDT16L1/TIRR, leading to recruitment to DSBs sites. Recruited to DSBs sites by recognizing and binding histone H2A monoubiquitinated at ′Lys-15′ (H2AK15Ub and histone H4 dimethylated at ′Lys-20′ (H4K20me2, two histone marks that are present at DSBs sites. Required for immunoglobulin class-switch recombination (CSR during antibody genesis, a process that involves the generation of DNA DSBs. Participates in the repair and the orientation of the broken DNA ends during CSR (By similarity. In contrast, it is not required for classic NHEJ and V(DJ recombination (By similarity. Promotes NHEJ of dysfunctional telomeres via interaction with PAXIP1.

Immunogen

A synthetic peptide corresponding to a sequence within amino acids 1-100 of human 53BP1 (Q12888).
PBS with 0.02% sodium azide,0.05% BSA,50% glycerol,pH7.3.

Application

WB, IHC, IF/ICC

Storage Class

10 - Combustible liquids

wgk

WGK 1

Regulatory Information

常规特殊物品
This item has

Choose from one of the most recent versions:

Certificates of Analysis (COA)

Lot/Batch Number

It looks like we've run into a problem, but you can still download Certificates of Analysis from our Documents section.

If you need assistance, please contact Customer Support

Already Own This Product?

Find documentation for the products that you have recently purchased in the Document Library.

Visit the Document Library

Our team of scientists has experience in all areas of research including Life Science, Material Science, Chemical Synthesis, Chromatography, Analytical and many others.

Contact Technical Service