Skip to Content
Merck
CN

SAB5702806

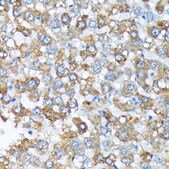
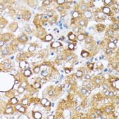
Anti-Cytochrome P450 4A (CYP4A11) Antibody, clone 10D10W7, Rabbit Monoclonal

Synonym(s):

CP4Y, CYP4A2, CYP4AII

Sign In to View Organizational & Contract Pricing.

Select a Size


About This Item

NACRES:
NA.41
UNSPSC Code:
12352203
Conjugate:
unconjugated
Clone:
10D10W7, monoclonal
Application:
IHC, WB
Citations:
-
Technical Service
Need help? Our team of experienced scientists is here for you.
Let Us Assist
Technical Service
Need help? Our team of experienced scientists is here for you.
Let Us Assist

biological source

rabbit

conjugate

unconjugated

material

colorless

clone

10D10W7, monoclonal

form

liquid

mol wt

59 kDa

concentration

0.60 mg/mL

technique(s)

immunohistochemistry: 1:50 - 1:200, western blot: 1:500 - 1:2000

color

colorless

isotype

IgG

immunogen sequence

QFPCPPSHWLFGHIQELQQDQELQRIQKWVETFPSACPHWLWGGKVRVQLYDPDYMKVILGRSDPKSHGSYRFLAPWIGYGLLLLNGQTWFQHRRMLTPAF

UniProt accession no.

shipped in

wet ice

storage temp.

−20°C

target post-translational modification

unmodified

Quality Level

Gene Information

human ... CYP4A11(1579)

species reactivity

human

General description

This gene encodes a member of the cytochrome P450 superfamily of enzymes. The cytochrome P450 proteins are monooxygenases which catalyze many reactions involved in drug metabolism and synthesis of cholesterol, steroids and other lipids. This protein localizes to the endoplasmic reticulum and hydroxylates medium-chain fatty acids such as laurate and myristate. Multiple transcript variants have been found for this gene. [provided by RefSeq, Jan 2016]

Immunogen

A synthetic peptide corresponding to a sequence within amino acids 50-150 of human Cytochrome P450 4A (CYP4A11) (CYP4A11) (Q02928).
PBS with 0.02% sodium azide,0.05% BSA,50% glycerol,pH7.3.

Application

WB, IHC

Storage Class

10 - Combustible liquids

wgk

WGK 1

Regulatory Information

常规特殊物品
This item has

Choose from one of the most recent versions:

Certificates of Analysis (COA)

Lot/Batch Number

It looks like we've run into a problem, but you can still download Certificates of Analysis from our Documents section.

If you need assistance, please contact Customer Support

Already Own This Product?

Find documentation for the products that you have recently purchased in the Document Library.

Visit the Document Library

Our team of scientists has experience in all areas of research including Life Science, Material Science, Chemical Synthesis, Chromatography, Analytical and many others.

Contact Technical Service