Skip to Content
Merck
CN

ZRB2014

Anti-4E-BP1 Antibody, clone 1I3 ZooMAb® Rabbit Monoclonal

greener alternative

recombinant, expressed in HEK 293 cells

Synonym(s):

Eukaryotic translation initiation factor 4E-binding protein 1, PHAS-I, Phosphorylated heat- and acid-stable protein regulated by insulin 1, eIF4E-binding protein 1

Sign In to View Organizational & Contract Pricing.

Select a Size


About This Item

NACRES:
NA.46
UNSPSC Code:
12352203
Conjugate:
unconjugated
Clone:
1I3, recombinant monoclonal
Application:
ICC, IHC, WB, affinity binding assay
Citations:
-
Technical Service
Need help? Our team of experienced scientists is here for you.
Let Us Assist
Technical Service
Need help? Our team of experienced scientists is here for you.
Let Us Assist

biological source

rabbit

recombinant

expressed in HEK 293 cells

conjugate

unconjugated

antibody form

purified antibody

antibody product type

primary antibodies

clone

1I3, recombinant monoclonal

description

recombinant, expressed in HEK 293 cells

product line

ZooMAb® learn more

form

lyophilized

mol wt

calculated mol wt 12.58 kDa, observed mol wt ~17 kDa

purified by

using Protein A

species reactivity

rat, human

packaging

antibody small pack of 25 μL

greener alternative product characteristics

Waste Prevention
Designing Safer Chemicals
Design for Energy Efficiency
Learn more about the Principles of Green Chemistry.

enhanced validation

recombinant expression
Learn more about Antibody Enhanced Validation

technique(s)

affinity binding assay: suitable, immunocytochemistry: suitable, immunohistochemistry: suitable, western blot: suitable

isotype

IgG

epitope sequence

C-terminal half

Protein ID accession no.

UniProt accession no.

greener alternative category

shipped in

ambient

storage temp.

2-8°C

Quality Level

Gene Information

human ... EIF4EBP1(1978)

General description

Eukaryotic translation initiation factor 4E-binding protein 1 (UniProt: Q13541; also known as 4E-BP1, eIF4E-binding protein 1, Phosphorylated heat- and acid-stable protein regulated by insulin 1, PHAS-I) is encoded by the EIF4EBP1 gene (Gene ID: 1978) in human. 4E-BP1 is a widely expressed member of a family of translation repressor proteins, and a well-known substrate of mTOR signaling pathway. Its activity is directly dependent on upstream signals controlling mTORC1 activity. Its activity is modulated by various stimuli and stress conditions ,including  growth factors, nutrients, and oxygen levels. In response to upstream stimuli, such as insulin, EGF, and PDGF, mTORC1 is shown to phosphorylate S6 kinase 1 (S6K1) and 4E-BP1 that stimulates protein synthesis.  About 30% of the 4E-BP1 expressed in cells is localized in the nucleus, where it regulates the availability of eIF4E for the cytoplasmic translational machinery.  Non-phosphorylated active 4E-BP1 inhibits cap-dependent translation initiation by binding eukaryotic translation initiation factor 4E (eIF4E) and prohibits the formation of the 48S pre-initiation complex. 4E-BP1 can undergo phosphorylation at multiple sites (Threonine 37, 46, 70 and Serine 65, 83, 101, and 112) and the first five sites are phylogenetically conserved among all species.  The phosphorylated form is also considered as a marker of activated mTOR signaling. Phosphorylation at threonine 37 and 46 by GSK-3 serve as a priming event, which is followed by phosphorylation at threonine 70 and then at serine 65. Phosphorylation at threonine 37 and 46 by GSK3 is reported to reduce its association with elF4E, and its release from eIF4E allows cap-dependent translation to proceed. Several other kinases have also been shown to phosphorylate 4E-BP1 dependent or independent of mTOR. High level of phosphorylated 4E-BP1 is  reported in several human cancers and is associated with an unfavorable outcome in several malignancies. Overexpression of cytosolic 4E-BP1 is reported to orchestrate a hypoxia-activated switch from cap-dependent to cap-independent mRNA translation that promotes increased tumor angiogenesis and growth at the level of selective mRNA translation. This ZooMAb® recombinant monoclonal antibody, generated by our propriety technology, offers significantly enhanced specificity, affinity, reproducibility, and stability over conventional monoclonals. (Ref.: Musa, J., et al. (2016). Oncogene. 35(36); 4675-4688; Qin, X., et al. (2016). Cell Cycle. 15(6); 781-786; Pause, A., et al. (1994). Nature. 371(6500); 762-767).
We are committed to bringing you greener alternative products, which adhere to one or more of The 12 Principles of Green Chemistry. This antibody is Preservative-free, produced without the harm or sacrifice of animals and exceptionally stable to allow for ambient shipping and storage if needed and thus aligns with "Waste Prevention", "Designing Safer Chemicals" and "Design for Energy Efficiency". Click here for more information.
ZooMAb® antibodies represent an entirely new generation of recombinant monoclonal antibodies. Each ZooMAb® antibody is manufactured using our proprietary recombinant expression system, purified to homogeneity, and precisely dispensed to produce robust and highly reproducible lot-to-lot consistency. Only top-performing clones are released for use by researchers. Each antibody is validated for high specificity and affinity across multiple applications, including its most commonly used application. ZooMAb® antibodies are reliably available and ready to ship when you need them.

Immunogen

KLH-conjugated linear peptide corresponding to 18 amino acids from the C-terminal half of human 4E-BP1.

Application

Quality Control Testing

Evaluated by Western Blotting in U87-MG cell lysate.

Western Blotting Analysis: A 1:1,000 dilution of this antibody detected 4E-BP1 in U87-MG cell lysate.

Tested Applications

Western Blotting Analysis: A 1:10,000 dilution from a representative lot detected 4E-BP1 in L6 cell lysate.

Affinity Binding Assay: A representative lot of this antibody bound 4E-BP1 peptide with a KD of 9.6 x 10-6 in an affinity binding assay.

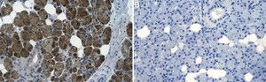
Immunohistochemistry (Paraffin) Analysis: A 1:100 dilution from a representative lot detected 4E-BP1 in human salivary gland tissue sections.

Immunocytochemistry Analysis: A 1:100 dilution from a representative lot detected 4E-BP1 in A431 cells.

Note: Actual optimal working dilutions must be determined by end user as specimens, and experimental conditions may vary with the end user.

Biochem/physiol Actions

Clone 1I3 is a ZooMAb® rabbit recombinant monoclonal antibody that specifically detects Eukaryotic translation initiation factor 4E-binding protein 1 (4E-BP1). It targets an epitope within 18 amino acids from the C-terminal half.

Physical form

Purified recombinant rabbit monoclonal antibody IgG, lyophilized in PBS, 5% Trehalose, normal appearance a coarse or translucent resin. The PBS/trehalose components in the ZooMAb formulation can have the appearance of a semi-solid (bead like gel) after lyophilization. This is a normal phenomenon. Please follow the recommended reconstitution procedure in the data sheet to dissolve the semi-solid, bead-like, gel-appearing material. The resulting antibody solution is completely stable and functional as proven by full functional testing. Contains no biocide or preservatives, such as azide, or any animal by-products. Larger pack sizes provided as multiples of 25 µL.

Preparation Note

Recommend storage of lyophilized product at 2-8°C; Before reconstitution, micro-centrifuge vials briefly to spin down material to bottom of the vial; Reconstitute each vial by adding 25 µL of filtered lab grade water or PBS; Reconstituted antibodies can be stored at 2-8°C, or -20°C for long term storage. Avoid repeated freeze-thaws.
Reconstitute lyophilized antibody pellet with 25μL of ultrapure water or Phosphate Buffered Saline (PBS). Please refer to our reconstitution protocol and the specific application guidance on the suggested starting dilutions and sample type.

Other Notes

Concentration: Please refer to the Certificate of Analysis for the lot-specific concentration.

Legal Information

ZooMAb is a registered trademark of Merck KGaA, Darmstadt, Germany

Disclaimer

Unless otherwise stated in our catalog or other company documentation accompanying the product(s), our products are intended for research use only and are not to be used for any other purpose, which includes but is not limited to, unauthorized commercial uses, in vitro diagnostic uses, ex vivo or in vivo therapeutic uses or any type of consumption or application to humans or animals.

Not finding the right product?  

Try our Product Selector Tool.

Storage Class

11 - Combustible Solids

wgk

WGK 1

flash_point_f

Not applicable

flash_point_c

Not applicable

Regulatory Information

常规特殊物品
This item has

Choose from one of the most recent versions:

Certificates of Analysis (COA)

Lot/Batch Number

Don't see the Right Version?

If you require a particular version, you can look up a specific certificate by the Lot or Batch number.

Already Own This Product?

Find documentation for the products that you have recently purchased in the Document Library.

Visit the Document Library

Our team of scientists has experience in all areas of research including Life Science, Material Science, Chemical Synthesis, Chromatography, Analytical and many others.

Contact Technical Service