应用筛选条件
关键词:'208-888-3'
收货
产品分类
品牌
生物来源
克隆
颜色
制造商
物质形态
产品线
纯度
研究领域
组织
共轭
质量水平
应用
物种反应
技术
208-888-3
显示 1-10 #N/A 12 条结果 关于 "208-888-3" 范围 产品
别名: 4-(4-氰基-2-(2-(4-氟萘-1-基)丙酰胺基)苯基)丁酸, 4-氰基-2-[[[2-(4-氟-1-萘基)-1-氧丙基]氨基]苯丁酸, AE3-208
化学文摘社编号:
assay:
≥98% (HPLC)
form:
powder
别名: CatMETium RF3, Tricyclohexylphosphine[4,5-dimethyl-1,3-bis(2,4,6-trimethylphenyl)imidazol-2-ylidene][2- thienylmethylene]ruthenium(II) dichloride, [(Me)2-IMes]Ru(PCy3)(2-thienylmethylene)Cl2
化学文摘社编号:
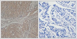
别名: Anti-DKFZp586N0721 antibody produced in rabbit, Anti-DKFZp686J10186 antibody produced in rabbit, Anti-HSPC193 antibody produced in rabbit, Anti-HsT17436 antibody produced in rabbit, Anti-SMAD family member 3 antibody produced in rabbit
conjugate:
unconjugated
clone:
polyclonal
application:
IF, IHC (p)
citations:
5
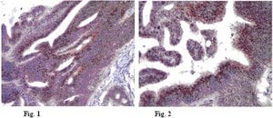
别名: LAMP, CD208, LAMP-3, DC-loysosome-associated membrane glycoprotein, DC LAMP, DC-LAMP, Protein TSC403
conjugate:
unconjugated
clone:
16H11.2, monoclonal
application:
IHC, WB
citations:
2
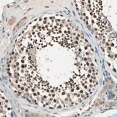
别名: CD208, DC-LAMP, DCLAMP, LAMP, TSC403
conjugate:
unconjugated
clone:
polyclonal
application:
WB
citations:
3
增强验证
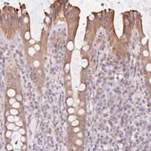
别名: 抗-CD208, 抗-DC-LAMP, 抗-DCLAMP, 抗-LAMP, 抗-TSC403
conjugate:
unconjugated
clone:
polyclonal
application:
IF, IHC
citations:
-
别名: C10orf18, FLJ20360, KIAA2006, bA318E3.2
conjugate:
unconjugated
clone:
polyclonal
application:
IF
citations:
-
conjugate:
unconjugated
clone:
polyclonal
application:
IHC
citations:
3
别名: Anti-BA318E3.2, Anti-C10orf18, Anti-FLJ20360, Anti-KIAA2006
conjugate:
unconjugated
clone:
polyclonal
application:
IHC
citations:
-
1/2









