Skip to Content
Merck
CN

17-10141

ChIPAb+ Phospho-Histone H3 (Thr3) - ChIP Validated Antibody and Primer Set, rabbit monoclonal

culture supernatant, clone JY325, from rabbit

Synonym(s):

H3T3P, Histone H3 (phospho T3)

Sign In to View Organizational & Contract Pricing.

Select a Size


About This Item

UNSPSC Code:
12352203
NACRES:
NA.52
eCl@ss:
32160702
Clone:
JY325, monoclonal
Species reactivity:
human
Application:
ChIP, DB, WB
Citations:
1
Technical Service
Need help? Our team of experienced scientists is here for you.
Let Us Assist
Technical Service
Need help? Our team of experienced scientists is here for you.
Let Us Assist

biological source

rabbit

antibody form

culture supernatant

clone

JY325, monoclonal

species reactivity

human

manufacturer/tradename

ChIPAb+, Upstate®

technique(s)

ChIP: suitable, dot blot: suitable, western blot: suitable

NCBI accession no.

UniProt accession no.

shipped in

dry ice

Quality Level

Related Categories

General description

17 kDa
All ChIPAb+ antibodies are individually validated for chromatin precipitation, every lot, every time. Each ChIPAb+ antibody set includes control primers (tested every lot by qPCR) to biologically validate your IP results in a locus-specific context. The qPCR protocol and primer sequences are provided, allowing researchers to validate ChIP protocols when using our antibody in their chromatin context. Each set also includes a negative control antibody to ensure specificity of the ChIP reaction.
The ChIPAb+ Phospho-Histone H3 (Thr3) set includes the Phospho-Histone H3 (Thr3) antibody, a negative control supernatant, and control primers which amplify a 166 bp region of human GAPDH promoter. The Phospho-Histone H3 (Thr3) and negative controls are supplied in a scalable "per ChIP" reaction size and can be used to functionally validate the precipitation of Phospho-Histone H3 (Thr3)-associated chromatin.
Histone H3 is one of the five main histone proteins involved in the structure of chromatin in eukaryotic cells. Featuring a main globular domain and a long N-terminal tail, H3 is involved with the structure of the nucleosomes of the ′beads on a string′ structure.

The N-terminal tail of histone H3 protrudes from the globular nucleosome core and can undergo several different types of epigenetic modifications that influence cellular processes. These modifications include the covalent attachment of methyl or acetyl groups to lysine and arginine amino acids and the phosphorylation of serine or threonine.

Immunogen

Epitope: Phosphorylated Thr3
Peptide containing the sequence [RTtrimKQ] in which lysine 4 is trimethylated on human histone H3

Application

Chromatin Immunoprecipitation:
Representative lot data.
Sonicated chromatin prepared from untreated or colcemid-treated HeLa cells (1 X 10E6 cell equivalents per IP) were subjected to chromatin immunoprecipitation using 2 µL of either Negative Control Supernatant, or 2 µL ofAnti-Phospho-Histone H3 (Thr3) and the Magna ChIP® A Kit (Cat. # 17-610). Successful immunoprecipitation of Phospho-Histone H3 (Thr3) associated DNA fragments was verified by qPCR using ChIP Primers, human GAPDH promoter Region for untreated and treated chromatin samples. Data is presented as percent input of each IP sample relative to input chromatin for each amplicon and ChIP sample as indicated.
Please refer to the EZ-Magna ChIP A (Cat. # 17-408) or EZ-ChIP (Cat. # 17-371) protocol for experimental details.
Western Blot Analysis:
Representative lot data.
Recombinant histone H3 (Lane 1) and acid extracts from untreated (Lane 2) or colcemid treated (Lane 3) HeLa cells were resolved by
electrophoresis, transferred to nitrocellulose and probed with anti-Phospho-Histone H3 (Thr3), clone JY325 (10 ng/mL). Proteins were visualized using a goat anti-rabbit secondary antibody conjugated to HRP and a chemiluminescence detection system.
Arrow indicates Phospho- Histone H3 (~17 kDa).
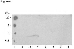
Dot Blot:
Representative lot data.
A dilution series of Histone H3 peptides containing the following modifications was made:
Column 1: Phospho-threonine 3
Column 2: unmodified, containing Thr3
Column 3: Phospho-threonine 6
Column 4: Phospho-threonine 11
Column 5: Phospho-threonine 22
Column 6: Phospho-serine 10
Column 7: Phospho-threonine 80
Column 8: Phospho-serine 28
2 μL of each dilution was spotted onto PVDF membranes and probed with Anti-Phospho- Histone H3 (Thr3), clone JY325 (20 ng/mL)
Peptides were visualized using a Goat Anti-Rabbit secondary antibody conjugated to HRP and a chemiluminescence detection system..
Research Category
Epigenetics & Nuclear Function
Research Sub Category
Histones
This ChIPAb+ Phospho-Histone H3 (Thr3) -ChIP Validated Antibody & Primer Set conveniently includes the antibody & the specific control PCR primers.

Biochem/physiol Actions

Histone H3 phosphorylated at Threonine 3; cross-reactivity with phospho-histone H3 Thr22 detected in some applications

Packaging

25 assays per set. Recommended use: ~2 μL of antibody per chromatin immunoprecipitation (dependent upon biological context).

Physical form

Anti-Phospho-Histone H3 (Thr3) (rabbit monoclonal). One vial containing 50 µL of cultured supernantant in 0.05% sodium azide. Store at -20°C.
Negative Control Supernatant. One vial containing 100 µL of cultured supernatant in 0.05% sodium azide. Store at -20°C.
Control Primers, human GAPDH promoter. One vial containing 75 μL of 5 μM of each primer specific for human GAPDH. Store at -20°C.
FOR: TAC TAG CGG TTT TAC GGG CG
REV: TCG AAC AGG AGG AGC AGA GAG CGA

Preparation Note

Stable for 1 year at -20°C from date of receipt. Handling Recommendations: Upon first thaw, and prior to removing the cap, centrifuge the vial and gently mix the solution. Aliquot into microcentrifuge tubes and store at -20°C. Avoid repeated freeze/thaw cycles, which may damage IgG and affect product performance.

Analysis Note

Chromatin Immunoprecipitation:
Representative lot data.
Sonicated chromatin prepared from colcemid-treated HeLa cells (1 X 10E6 cell equivalents per IP) were subjected to chromatin immunoprecipitation using 2 µL of either Negative Control Supernatant, or 2 µL Anti-Phospho-Histone H3 (Thr3) and the Magna ChIP® A Kit (Cat. # 17-610). Successful immunoprecipitation of Phospho-Histone H3 (Thr3) associated DNA fragments was verified by qPCR using ChIP Primers, human GAPDH promoter Region.
Please refer to the EZ-Magna ChIP A (Cat. # 17-408) or EZ-ChIP (Cat. # 17-371) protocol for experimental details.
Control
Includes negative control supernatant and primers specific for human GAPDH promoter.

Legal Information

MAGNA CHIP is a registered trademark of Merck KGaA, Darmstadt, Germany
UPSTATE is a registered trademark of Merck KGaA, Darmstadt, Germany

Disclaimer

Unless otherwise stated in our catalog or other company documentation accompanying the product(s), our products are intended for research use only and are not to be used for any other purpose, which includes but is not limited to, unauthorized commercial uses, in vitro diagnostic uses, ex vivo or in vivo therapeutic uses or any type of consumption or application to humans or animals.

Storage Class

10 - Combustible liquids

Regulatory Information

新产品
This item has

Certificates of Analysis (COA)

Search for Certificates of Analysis (COA) by entering the products Lot/Batch Number. Lot and Batch Numbers can be found on a product’s label following the words ‘Lot’ or ‘Batch’.

Already Own This Product?

Find documentation for the products that you have recently purchased in the Document Library.

Visit the Document Library

Alla Amcheslavsky et al.
Cell reports, 33(8), 108408-108408 (2020-11-26)
We reveal surprising similarities between homeostatic cell turnover in adult Drosophila midguts and "undead" apoptosis-induced compensatory proliferation (AiP) in imaginal discs. During undead AiP, immortalized cells signal for AiP, allowing its analysis. Critical for undead AiP is the Myo1D-dependent localization

Related Content

Epigenetics describes heritable changes in gene expression caused by non-genetic mechanisms. Epigenetic regulation allows a cell to vary its response based on its biological and environmental contexts. Epigenetic changes can effect transcriptional and post-transcriptional regulation via mechanisms such as histone modification, chromatin and nucleosome remodeling, DNA methylation, and small and non-coding RNA-mediated regulation. These mechanisms, in cooperation with transcription factors and other nucleic acid-binding proteins, regulate gene expression. Epigenetic mechanisms of gene regulation impacts diverse areas of research—from agriculture to human health. Common epigenetic assays such as chromatin immunoprecipitation (ChIP) and RNA immunoprecipitation (RIP) rely on high quality antibodies that recognize specific epigenetic modifications for accurate results. EMD Millipore offers over 100 ChIPAb+™ and RIPAb+™ validated antibody kits that are quality tested on ChIP/RIP assays and are conveniently provided with control qPCR primers and negative control antibodies to ensure first time ChIP/RIP success.

Our team of scientists has experience in all areas of research including Life Science, Material Science, Chemical Synthesis, Chromatography, Analytical and many others.

Contact Technical Service