17-676
ChIPAb+ Monomethyl-Histone H3 (Lys4) - ChIP Validated Antibody and Primer Set
from mouse
Synonym(s):
H3 histone family, member T, histone 3, H3, histone cluster 3, H3
Sign Into View Organizational & Contract Pricing
Select a Size
About This Item
UNSPSC Code:
12352203
eCl@ss:
32160702
NACRES:
NA.52
Related Categories
General description
17 kDa
All ChIPAb+ antibodies are individually validated for chromatin precipitation, every lot, every time. Each ChIPAb+ antibody set includes control primers (tested every lot by qPCR) to biologically validate your IP results in a locus-specific context. The qPCR protocol and primer sequences are provided, allowing researchers to validate ChIP protocols when using our antibody in their chromatin context. Each set also includes a negative control antibody to ensure specificity of the ChIP reaction.
The ChIPAb+ Monomethyl-Histone H3 (Lys4) set includes the Monomethyl-Histone H3 (Lys4) antibody, normal mouse IgG, and qPCR primers which amplify a 213 bp region of human GAPDH coding region. The Monomethyl-Histone H3 (Lys4) and negative controls are supplied in a scalable "per ChIP" reaction size and can be used to functionally validate the precipitation of Monomethyl-Histone H3 (Lys4) associated chromatin.
The ChIPAb+ Monomethyl-Histone H3 (Lys4) set includes the Monomethyl-Histone H3 (Lys4) antibody, normal mouse IgG, and qPCR primers which amplify a 213 bp region of human GAPDH coding region. The Monomethyl-Histone H3 (Lys4) and negative controls are supplied in a scalable "per ChIP" reaction size and can be used to functionally validate the precipitation of Monomethyl-Histone H3 (Lys4) associated chromatin.
Histone H3 is one of the five main histone proteins involved in the structure of chromatin in eukaryotic cells. Featuring a main globular domain and a long N-terminal tail, H3 is involved with the structure of the nucleosomes of the ′beads on a string′ structure. The N-terminal tail of histone H3 protrudes from the globular nucleosome core and can undergo several different types of epigenetic modifications that influence cellular processes. These modifications include the covalent attachment of methyl or acetyl groups to lysine and arginine amino acids and the phosphorylation of serine or threonine.
Immunogen
Epitope: a.a. 1-12
Peptide corresponding to Histone H3 containing the sequence [ART(me1-K)QTARKSTGC] on which Lys4 is acetylated.
Application
Chromatin Immunoprecipitation:
Sonicated chromatin prepared from HeLa cells (1 X 10E6 cell equivalents per IP) were subjected to chromatin immunoprecipitation using 2 µg of either Normal Mouse IgG , or 2 µg Anti-Monomethyl-Histone H3 (Lys4)and the Magna ChIP® G Kit (Cat. # 17-611). Successful immunoprecipitation of Monomethyl-Histone H3 (Lys4) associated DNA fragments was verified by qPCR using ChIP Primers GAPDH Coding Region as a positive locus, and GAPDH promoter primers (22-004) as a negative locus. (Figure 2). Data is presented as percent input of each IP sample relative to input chromatin for each amplicon and ChIP sample as indicated.
Please refer to the EZ-Magna ChIP G (Cat. # 17-409) or EZ-ChIP (Cat. # 17-371) protocol for experimental details.
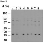
Specificity data:
HeLa acid extracts were resolved by electrophoresis, transferred to PVDF, and probed with anti-Monomethyl-Histone H3 (Lys4) (1:5000 dilution).To demonstrate specificity, antibody was preincubated with modified histone peptides:
Lane 1 No peptide
Lane 2 unmodified Histone H3
Lane 3 Monomethyl Histone H3 (Lys4)
Lane 4 Dimethyl Histone H3 (Lys4)
Lane 5 Trimethyl Histone H3 (Lys4)
Lane 6 Trimethyl Histone H3 (Lys9)
Lane 7 Trimethyl Histone H3 (Lys27)
Lane 8 Trimethyl Histone H4 (Lys20)
Proteins were visualized using donkey anti-mouse IgG conjugated to HRP and a chemiluminescence detection system.
Sonicated chromatin prepared from HeLa cells (1 X 10E6 cell equivalents per IP) were subjected to chromatin immunoprecipitation using 2 µg of either Normal Mouse IgG , or 2 µg Anti-Monomethyl-Histone H3 (Lys4)and the Magna ChIP® G Kit (Cat. # 17-611). Successful immunoprecipitation of Monomethyl-Histone H3 (Lys4) associated DNA fragments was verified by qPCR using ChIP Primers GAPDH Coding Region as a positive locus, and GAPDH promoter primers (22-004) as a negative locus. (Figure 2). Data is presented as percent input of each IP sample relative to input chromatin for each amplicon and ChIP sample as indicated.
Please refer to the EZ-Magna ChIP G (Cat. # 17-409) or EZ-ChIP (Cat. # 17-371) protocol for experimental details.
Specificity data:
HeLa acid extracts were resolved by electrophoresis, transferred to PVDF, and probed with anti-Monomethyl-Histone H3 (Lys4) (1:5000 dilution).To demonstrate specificity, antibody was preincubated with modified histone peptides:
Lane 1 No peptide
Lane 2 unmodified Histone H3
Lane 3 Monomethyl Histone H3 (Lys4)
Lane 4 Dimethyl Histone H3 (Lys4)
Lane 5 Trimethyl Histone H3 (Lys4)
Lane 6 Trimethyl Histone H3 (Lys9)
Lane 7 Trimethyl Histone H3 (Lys27)
Lane 8 Trimethyl Histone H4 (Lys20)
Proteins were visualized using donkey anti-mouse IgG conjugated to HRP and a chemiluminescence detection system.
Research Category
Epigenetics & Nuclear Function
Epigenetics & Nuclear Function
Research Sub Category
Chromatin Biology
Chromatin Biology
This ChIPAb+ Monomethyl-Histone H3 (Lys4) -ChIP Validated Antibody & Primer Set conveniently includes the antibody & the specific control PCR primers.
Biochem/physiol Actions
This antibody detects Monomethyl-Histone H3 methylated at Lys4.
Wide range of cross-reactivity expected based on sequence homology.
Packaging
25 assays per set. Recommended use: 2 μg of antibody per chromatin immunoprecipitation (dependent upon biological context).
Physical form
Anti-Monomethyl-HisPtone H3 (Lys4) (mouse monoclonal), One vial containing 50 µg of protein G purified antibody in 50 µL PBS containing 0.05% sodium azide. Store at -20°C.
Normal Mouse IgG, . Two vials containing 25 µg purified Mouse IgG in 25 µL storage buffer containing 0.1% sodium azide. Store at -20°C.
ChIP Primers, human GAPDH coding region, . One vial containing 75 μL of 5 μM each primer specific for human GAPDH coding region.
Store at -20°C.
FOR: GGC TCC CAC CTT TCT CAT CC
REV: GGC CAT CCA CAG TCT TCT GG
Normal Mouse IgG, . Two vials containing 25 µg purified Mouse IgG in 25 µL storage buffer containing 0.1% sodium azide. Store at -20°C.
ChIP Primers, human GAPDH coding region, . One vial containing 75 μL of 5 μM each primer specific for human GAPDH coding region.
Store at -20°C.
FOR: GGC TCC CAC CTT TCT CAT CC
REV: GGC CAT CCA CAG TCT TCT GG
Format: Purified
Protein A purified
Preparation Note
Stable for 1 year at -20°C from date of receipt. Handling Recommendations: Upon first thaw, and prior to removing the cap, centrifuge the vial and gently mix the solution. Aliquot into microcentrifuge tubes and store at -20°C. Avoid repeated freeze/thaw cycles, which may damage IgG and affect product performance.
Analysis Note
Chromatin Immunoprecipitation:
Sonicated chromatin prepared from HeLa cells (1 X 10E6 cell equivalents per IP) were subjected to chromatin immunoprecipitation using 2 µg of either Normal Mouse IgG, or 2 µg Anti-monomethyl-Histone H3 (Lys4) and the Magna ChIP® G Kit (Cat. # 17-611). Successful immunoprecipitation of Monomethyl-Histone H3 (Lys4) associated DNA fragments was verified by qPCR using ChIP Primers GAPDH Coding Region (Figure 1).
Please refer to the EZ-Magna ChIP G (Cat. # 17-409) or EZ-ChIP (Cat. # 17-371) protocol for experimental details. (Figure 1).
Please refer to the EZ-Magna ChIP A (Cat. # 17-408) or EZ-ChIP (Cat. # 17-371) protocol for experimental details.
Sonicated chromatin prepared from HeLa cells (1 X 10E6 cell equivalents per IP) were subjected to chromatin immunoprecipitation using 2 µg of either Normal Mouse IgG, or 2 µg Anti-monomethyl-Histone H3 (Lys4) and the Magna ChIP® G Kit (Cat. # 17-611). Successful immunoprecipitation of Monomethyl-Histone H3 (Lys4) associated DNA fragments was verified by qPCR using ChIP Primers GAPDH Coding Region (Figure 1).
Please refer to the EZ-Magna ChIP G (Cat. # 17-409) or EZ-ChIP (Cat. # 17-371) protocol for experimental details. (Figure 1).
Please refer to the EZ-Magna ChIP A (Cat. # 17-408) or EZ-ChIP (Cat. # 17-371) protocol for experimental details.
Control
Includes normal mouse IgG and primers specific for human GAPDH coding region.
Includes normal mouse IgG and primers specific for human GAPDH coding region.
Legal Information
MAGNA CHIP is a registered trademark of Merck KGaA, Darmstadt, Germany
UPSTATE is a registered trademark of Merck KGaA, Darmstadt, Germany
Disclaimer
Unless otherwise stated in our catalog or other company documentation accompanying the product(s), our products are intended for research use only and are not to be used for any other purpose, which includes but is not limited to, unauthorized commercial uses, in vitro diagnostic uses, ex vivo or in vivo therapeutic uses or any type of consumption or application to humans or animals.
Storage Class Code
10 - Combustible liquids
Certificates of Analysis (COA)
Search for Certificates of Analysis (COA) by entering the products Lot/Batch Number. Lot and Batch Numbers can be found on a product’s label following the words ‘Lot’ or ‘Batch’.
Already Own This Product?
Find documentation for the products that you have recently purchased in the Document Library.
Anthony R Soltis et al.
Cell reports, 21(11), 3317-3328 (2017-12-16)
Obesity is a major human health crisis that promotes insulin resistance and, ultimately, type 2 diabetes. The molecular mechanisms that mediate this response occur across many highly complex biological regulatory levels that are incompletely understood. Here, we present a comprehensive
Federico Gaiti et al.
eLife, 6 (2017-04-11)
Combinatorial patterns of histone modifications regulate developmental and cell type-specific gene expression and underpin animal complexity, but it is unclear when this regulatory system evolved. By analysing histone modifications in a morphologically-simple, early branching animal, the sponge Amphimedonqueenslandica, we show
Our team of scientists has experience in all areas of research including Life Science, Material Science, Chemical Synthesis, Chromatography, Analytical and many others.
Contact Technical Service