Skip to Content
Merck
CN

ABC20

Anti-Cystatin-C Antibody

from rabbit, purified by affinity chromatography

Synonym(s):

Cystatin-C, Cystatin-3, Gamma-trace, Neuroendocrine basic polypeptide, Post-gamma-globulin

Sign In to View Organizational & Contract Pricing.

Select a Size


About This Item

UNSPSC Code:
12352203
NACRES:
NA.41
eCl@ss:
32160702
Conjugate:
unconjugated
Clone:
polyclonal
Application:
IHC, WB
Citations:
5
Technical Service
Need help? Our team of experienced scientists is here for you.
Let Us Assist
Technical Service
Need help? Our team of experienced scientists is here for you.
Let Us Assist

biological source

rabbit

conjugate

unconjugated

antibody form

affinity isolated antibody

clone

polyclonal

purified by

affinity chromatography

species reactivity

mouse, human, rat

technique(s)

immunohistochemistry: suitable (paraffin), western blot: suitable

NCBI accession no.

UniProt accession no.

shipped in

wet ice

target post-translational modification

unmodified

Quality Level

General description

Cystatin-C is a cysteine protease inhibitor in mammals, which is essential in protein degradation and keeping an equilibrium between inhibitors and proteases. It is thought to be a better marker for renal dysfunction and potential kidney injury than creatinine. Recently, Cystatin-C has been implicated in primary hypertension and may be a novel marker in patients. Cystatin-C has also been implicated in oxidative stress-induced apoptosis of CNS neurons and has been shown to inhibit amyloid-beta deposition in Alzheimer′s disease models.
~14 kDa observed.
An uncharacterized band may appear at ~62 kDa in some lysates.

Immunogen

KLH-conjugated linear peptide corresponding to human Cystatin-C.

Application

Anti-Cystatin-C Antibody detects level of Cystatin-C & has been published & validated for use in WB, IH(P).
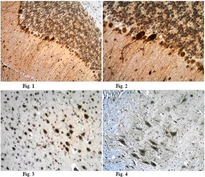
Immunohistochemistry (paraffin) Analysis: A 1:1000 dilution of a previous lot detected Cystatin-C in purkinje cells of normal rat cerebellum, neurons of normal rat frontal lobe, and neurons in normal rat midbrain.
Research Category
Apoptosis & Cancer
Research Sub Category
Apoptosis - Additional

Neurodegenerative Diseases

Physical form

Affinity purified
Purified rabbit polyclonal in buffer containing 0.1 M Tris-Glycine (pH 7.4), 150 mM NaCl with 0.05% sodium azide.

Preparation Note

Stable for 1 year at 2-8°C from date of receipt.

Analysis Note

Control
Human kidney tissue lysate
Evaluated by Western Blot in human kidney tissue lysate.

Western Blot Analysis: 0.5 µg/mL of this antibody detected Cystatin-C in 10 µg of human kidney tissue lysate.

Other Notes

Concentration: Please refer to the Certificate of Analysis for the lot-specific concentration.

Disclaimer

Unless otherwise stated in our catalog or other company documentation accompanying the product(s), our products are intended for research use only and are not to be used for any other purpose, which includes but is not limited to, unauthorized commercial uses, in vitro diagnostic uses, ex vivo or in vivo therapeutic uses or any type of consumption or application to humans or animals.

Storage Class

12 - Non Combustible Liquids

wgk

WGK 1

flash_point_f

Not applicable

flash_point_c

Not applicable


Certificates of Analysis (COA)

Search for Certificates of Analysis (COA) by entering the products Lot/Batch Number. Lot and Batch Numbers can be found on a product’s label following the words ‘Lot’ or ‘Batch’.

Already Own This Product?

Find documentation for the products that you have recently purchased in the Document Library.

Visit the Document Library

David Pires et al.
Frontiers in immunology, 12, 742822-742822 (2021-12-07)
Tuberculosis owes its resurgence as a major global health threat mostly to the emergence of drug resistance and coinfection with HIV. The synergy between HIV and Mycobacterium tuberculosis (Mtb) modifies the host immune environment to enhance both viral and bacterial
Conformational specificity of the C4F6 SOD1 antibody; low frequency of reactivity in sporadic ALS cases.
Ayers, JI; Xu, G; Pletnikova, O; Troncoso, JC; Hart, PJ; Borchelt, DR
Acta Neuropathologica Communications null
Aintzane Urbizu et al.
Neuropathology and applied neurobiology, 41(4), 507-519 (2014-03-13)
As cystatin C (CysC) is involved in some forms of neurodegeneration, we investigated the possible relationship between CysC and multiple system atrophy (MSA), including its parkinsonian (MSAp) and cerebellar (MSAc) phenotypes. Cystatin C gene (CST3) haplotypes were determined by PCR
Neus Barranco et al.
Translational neurodegeneration, 10(1), 37-37 (2021-09-28)
New fluid biomarkers for Alzheimer's disease (AD) that reveal synaptic and neural network dysfunctions are needed for clinical practice and therapeutic trial design. Dense core vesicle (DCV) cargos are promising cerebrospinal fluid (CSF) indicators of synaptic failure in AD patients.
April Nettesheim et al.
Journal of clinical medicine, 10(1) (2021-01-01)
Extracellular matrix (ECM) deposition in the trabecular meshwork (TM) is one of the hallmarks of glaucoma, a group of human diseases and leading cause of permanent blindness. The molecular mechanisms underlying ECM deposition in the glaucomatous TM are not known

Our team of scientists has experience in all areas of research including Life Science, Material Science, Chemical Synthesis, Chromatography, Analytical and many others.

Contact Technical Service