Skip to Content
Merck
CN

MABN20

Anti-HCN1 Antibody, clone N70/28

clone N70/28, from mouse

Synonym(s):

hyperpolarization activated cyclic nucleotide-gated potassium channel 1, brain cyclic nucleotide gated channel 1, Brain cyclic nucleotide-gated channel 1

Sign In to View Organizational & Contract Pricing.

Select a Size

Change View

About This Item

UNSPSC Code:
12352203
NACRES:
NA.41
eCl@ss:
32160702
Technical Service
Need help? Our team of experienced scientists is here for you.
Let Us Assist


biological source

mouse

antibody form

purified immunoglobulin

antibody product type

primary antibodies

clone

N70/28, monoclonal

species reactivity

rat

technique(s)

immunohistochemistry: suitable, western blot: suitable

isotype

IgG1κ

NCBI accession no.

UniProt accession no.

shipped in

wet ice

target post-translational modification

unmodified

Gene Information

human ... HCN1(348980)

General description

HCN1 is a member of a family of pacemaker channels activated by hyperpolarization and regulated by cyclic nucleotides. HCN1 and HCN2 proteins play an important role for motor learning and synapse formation through integration of cerebellar Purkinje cells. The two proteins also shape autonomous activity of single neurons and the periodicity of network oscillations. HCN1 expression is particularly high in the cerebral cortex, hippocampus, cerebellum, and facial motor nucleus. Hyperpolarization of activated cation channels of the HCN gene family such as HCN1, contributes to spontaneous rhythmic activity in both heart and brain. HCN channels pass both Na+ and K+ with relative permeability ratio of ~0.15 to 0.25. The primary sequence of HCN pore region is clearly related to that of highly selective K+ channels. In contrast to nonselective CNG or Na+-channels, both K+ and HCN channels contain a GYG motif in the pore.
~120 kDa observed; consistent with a glycosylation of a 100kDa protein.

Immunogen

Epitope: Cytoplasmic domain
Recombinant protein corresponding to rat HCN1 at the cytoplasmic domain.

Application

Detect HCN1 using this Anti-HCN1 Antibody, clone N70/28 validated for use in WB, IH.
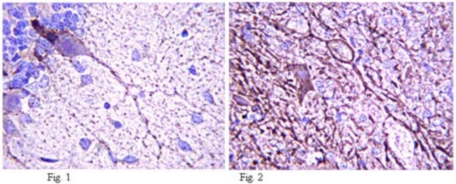
Immunohistochemistry Analysis: 1:300 dilution from a previous lot detected HCN1 in rat cerebellum and rat brain/inferior colliculus tissue.
Research Category
Neuroscience
Research Sub Category
Ion Channels & Transporters

Biochem/physiol Actions

This antibody recognizes HCN1 at the cytoplasmic domain.

Physical form

Purified mouse monoclonal IgG1κ in buffer containing 0.1 M Tris-Glycine (pH 7.4, 150 mM NaCl) with 0.05% sodium azide.
Format: Purified
Protein G

Preparation Note

Stable for 1 year at 2-8°C from date of receipt.

Analysis Note

Control
Rat brain lysate
Evaluated by Western Blot in rat brain lysate.

Western Blot Analysis: 2 µg/mL of this antibody detected HCN1 on 10 µg of rat brain lysate.

Other Notes

Concentration: Please refer to the Certificate of Analysis for the lot-specific concentration.

Disclaimer

Unless otherwise stated in our catalog or other company documentation accompanying the product(s), our products are intended for research use only and are not to be used for any other purpose, which includes but is not limited to, unauthorized commercial uses, in vitro diagnostic uses, ex vivo or in vivo therapeutic uses or any type of consumption or application to humans or animals.


Still not finding the right product?

Try our Product Selector Tool to narrow your options


Storage Class

12 - Non Combustible Liquids

wgk

WGK 1



Certificates of Analysis (COA)

Search for Certificates of Analysis (COA) by entering the products Lot/Batch Number. Lot and Batch Numbers can be found on a product’s label following the words ‘Lot’ or ‘Batch’.

Already Own This Product?

Find documentation for the products that you have recently purchased in the Document Library.

Visit the Document Library