Sign In to View Organizational & Contract Pricing.
Select a Size
Change View
About This Item
UNSPSC Code:
12352203
NACRES:
NA.41
eCl@ss:
32160702
Conjugate:
unconjugated
Clone:
3H9, monoclonal
Application:
FACS, IF, IHC, WB
Citations:
-
biological source
mouse
Quality Segment
conjugate
unconjugated
antibody form
ascites fluid
antibody product type
primary antibodies
clone
3H9, monoclonal
species reactivity
rat, human
technique(s)
flow cytometry: suitable, immunofluorescence: suitable, immunohistochemistry: suitable, western blot: suitable
isotype
IgG1
UniProt accession no.
shipped in
wet ice
target post-translational modification
unmodified
Gene Information
human ... SMAD5(4090)
General description
SMAD5, MAD homolog 5, Mothers against DPP homolog 5, JV5-1, SMAD family member 5 encoded by the gene named SMAD5 or MADH5 is a transcriptional cofactor activated by BMP type 1 receptor kinase and like other SMAD family members SMAD5 belongs to the larger TGFbeta superfamily of signaling modulators. SMAD5 forms complexes with SMAD4 when phosphorylated by BMPR1 and migrates to the nucleus. In the absence of phosphorylation SMAD5 is cytoplasmically localized. SMAD5 levels are regulated via ubiquitin mediated proteolysis facilitated by the E3 ligase SMURF1. SMAD5 is involved in many developmental pathways including in hematopoietic cells where SMAD5 activity is involved in the inhibition of the proliferation of hematopoietic progenitor cells. More recent research has shown SMAD5 to be involved in many other pathways too, for instance homozygous mutants die early in development and display a variable phenotype. Moreover SMAD5 is critical for proper granule cell development in the cerebellum. Finally because SMAD5 belongs to the TGFbeta family whose normal function is usually growth suppression, SMAD5 is often mutated in many cancers and its expression is associated with many forms of cancers in a similar fashion to that of its other family members. EMD-Millipore’s Anti-SMAD5 mouse monoclonal antibody has been tested in western blot on HeLa, SK-N-SH, PC-12 , Jurkat , and K562 cell lysates and in paraffin embedded immunohistochemistry on human brain and lung cancer tissue sections and in fluorescent immunocytochemistry on NTERA-2 cells in culture and in flow cytometry on Jurkat cells in culture.
~52 kDa observed. Uncharacterized bands may appear in some lysate(s).
Immunogen
Purified recombinant fragment of human SMAD5 expressed in E. Coli.
Application
Detect Smad using this mouse monoclonal antibody, Anti-SMAD5 Antibody, clone 3H9 validated for use in western blotting, Immunofluorescence, IHC & Flow Cytometry.
Immunofluorescence Analysis: A 1:200-1,000 dilution from a representative lot detected SMAD5 in NTERA-2 cells.
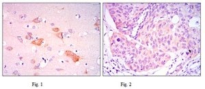
Immunohistochemistry Analysis: A 1:200-1,000 dilution from a representative lot detected SMAD5 in human brain and lung cancer tissues.
Flow Cytometry Analysis: A 1:200-400 dilution from a representative lot detected SMAD5 in Jurkat cells.
Optimal working dilutions must be determined by end user.
Immunohistochemistry Analysis: A 1:200-1,000 dilution from a representative lot detected SMAD5 in human brain and lung cancer tissues.
Flow Cytometry Analysis: A 1:200-400 dilution from a representative lot detected SMAD5 in Jurkat cells.
Optimal working dilutions must be determined by end user.
Research Category
Neuroscience
Neuroscience
Research Sub Category
Signaling Neuroscience
Signaling Neuroscience
Physical form
Mouse monoclonal IgG1 ascitic fluid containing up to 0.1% sodium azide.
Unpurified
Preparation Note
Stable for 1 year at -20°C from date of receipt.
Handling Recommendations: Upon receipt and prior to removing the cap, centrifuge the vial and gently mix the solution. Aliquot into microcentrifuge tubes and store at -20°C. Avoid repeated freeze/thaw cycles, which may damage IgG and affect product performance.
Handling Recommendations: Upon receipt and prior to removing the cap, centrifuge the vial and gently mix the solution. Aliquot into microcentrifuge tubes and store at -20°C. Avoid repeated freeze/thaw cycles, which may damage IgG and affect product performance.
Analysis Note
Control
HeLa, SK-N-SH, PC-12, Jurkat, and K562 cell lysates
HeLa, SK-N-SH, PC-12, Jurkat, and K562 cell lysates
Evaluated by Western Blotting in HeLa, SK-N-SH, PC-12, Jurkat, and K562 cell lysates.
Western Blotting Analysis: A 1:500-2,000 dilution of this antibody detected SMAD5 in HeLa, SK-N-SH, PC-12, Jurkat, and K562 cell lysates.
Western Blotting Analysis: A 1:500-2,000 dilution of this antibody detected SMAD5 in HeLa, SK-N-SH, PC-12, Jurkat, and K562 cell lysates.
Disclaimer
Unless otherwise stated in our catalog or other company documentation accompanying the product(s), our products are intended for research use only and are not to be used for any other purpose, which includes but is not limited to, unauthorized commercial uses, in vitro diagnostic uses, ex vivo or in vivo therapeutic uses or any type of consumption or application to humans or animals.
Still not finding the right product?
Try our Product Selector Tool to narrow your options
Storage Class
12 - Non Combustible Liquids
wgk
nwg
flash_point_f
Not applicable
flash_point_c
Not applicable
Certificates of Analysis (COA)
Search for Certificates of Analysis (COA) by entering the products Lot/Batch Number. Lot and Batch Numbers can be found on a product’s label following the words ‘Lot’ or ‘Batch’.
Already Own This Product?
Find documentation for the products that you have recently purchased in the Document Library.
Global Trade Item Number
| SKU | GTIN |
|---|---|
| MABN718 | 04053252918551 |