Sign In to View Organizational & Contract Pricing.
Select a Size
Change View
About This Item
UNSPSC Code:
12352203
NACRES:
NA.41
eCl@ss:
32160702
Conjugate:
unconjugated
Clone:
32-2B, monoclonal
Application:
ICC, IF, WB
Citations:
6
biological source
mouse
Quality Level
conjugate
unconjugated
antibody form
purified immunoglobulin
antibody product type
primary antibodies
clone
32-2B, monoclonal
species reactivity
human
species reactivity (predicted by homology)
bovine (immunogen homology)
technique(s)
immunocytochemistry: suitable, immunofluorescence: suitable, western blot: suitable
isotype
IgG2aκ
NCBI accession no.
UniProt accession no.
shipped in
wet ice
target post-translational modification
unmodified
Gene Information
human ... DSG1(1828)
General description
Desmoglein-1 (DSG1) is a transmembrane glycoprotein belonging to the family of cadherins. It is one of the main structural components of desmosomal junctions which are abundant in tissues undergoing frequent mechanical stress, such as the heart, epidermis, lymphatic endothelial cells, and meninges. The desmoglein-1 subtype is highly expressed in the epidermis. Like other cadherins, desmoglein-1 contains multiple calcium binding sites and a cell-adhesion recognition site which facilitates intercellular adhesions. Desmoglein-1 is regulated by calcium and PKCα signaling, and is also coupled to intermediate filaments of the cytoskeleton. Desmosomes play a critical role in cell and tissue stability, and may contribute to the progression of cancer.
~150 kDa observed. This protein may be glycosolated. Uniprot describes a molecular weight at ~112 kDa; however, Desmoglein-1 has been observed at ~150 kDa (Vilela, M. J., et al. (1995). J Cell Sci. 108(Pt 4):1743-1750.).
Immunogen
Bovine Desmoglein-1 from nasal epidermis
Application
Anti-Desmoglein-1, clone 32-2B detects levels of Desmoglein-1 proteins & has been published & validated for use in WB, IF, IHC & ICC.
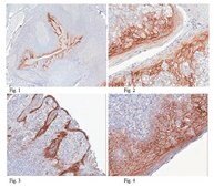
Immunohistochemistry Analysis: A 1:1,000 dilution from a representative lot detected Desmoglein-1 in human tonsil tissues.
Immunofluorescence Analysis: A 1:1,000 dilution from a representative lot detected Desmoglein-1 in human tonsil tissues.
Western Blot Analysis: A representative lot from an independent laboratory detected Desmoglein-1 in bovine epidermal desmosomal cores and in human keratinocyte cell lysates. (Vilela, M. J., et al. (1995). J Cell Sci. 108(Pt 4):1743-1750.).
Immunofluorescent Analysis: A representative lot from an independent laboratory detected Desmoglein-1 in MDCK cells (Vilela, M. J., et al. (1995). J Cell Sci. 108(Pt 4):1743-1750.).
Immunohistochemistry Analysis: A representative lot from an independent laboratory detected Desmoglein-1 in human epidermal tissue (Maruani, A., et al. (2008). Am J Clin Pathol. 130(3):369-374.).
Immunofluorescence Analysis: A 1:1,000 dilution from a representative lot detected Desmoglein-1 in human tonsil tissues.
Western Blot Analysis: A representative lot from an independent laboratory detected Desmoglein-1 in bovine epidermal desmosomal cores and in human keratinocyte cell lysates. (Vilela, M. J., et al. (1995). J Cell Sci. 108(Pt 4):1743-1750.).
Immunofluorescent Analysis: A representative lot from an independent laboratory detected Desmoglein-1 in MDCK cells (Vilela, M. J., et al. (1995). J Cell Sci. 108(Pt 4):1743-1750.).
Immunohistochemistry Analysis: A representative lot from an independent laboratory detected Desmoglein-1 in human epidermal tissue (Maruani, A., et al. (2008). Am J Clin Pathol. 130(3):369-374.).
Research Category
Cell Structure
Cell Structure
Research Sub Category
ECM Proteins
ECM Proteins
Physical form
Format: Purified
Protein G Purified
Purified mouse monoclonal IgG2aκ in buffer containing 0.1 M Tris-Glycine (pH 7.4), 150 mM NaCl with 0.05% sodium azide.
Preparation Note
Stable for 1 year at 2-8°C from date of receipt.
Analysis Note
Control
Human tonsil tissue lysate.
Human tonsil tissue lysate.
Evaluated by Western Blot in human tonsil tissue lysate.
Western Blot Analysis: 0.5 µg/mL of this antibody detected Desmoglein-1 in 10 µg of human tonsil tissue lysate.
Western Blot Analysis: 0.5 µg/mL of this antibody detected Desmoglein-1 in 10 µg of human tonsil tissue lysate.
Other Notes
Concentration: Please refer to the Certificate of Analysis for the lot-specific concentration.
Disclaimer
Unless otherwise stated in our catalog or other company documentation accompanying the product(s), our products are intended for research use only and are not to be used for any other purpose, which includes but is not limited to, unauthorized commercial uses, in vitro diagnostic uses, ex vivo or in vivo therapeutic uses or any type of consumption or application to humans or animals.
Still not finding the right product?
Try our Product Selector Tool to narrow your options
Storage Class
12 - Non Combustible Liquids
wgk
WGK 1
flash_point_f
Not applicable
flash_point_c
Not applicable
Certificates of Analysis (COA)
Search for Certificates of Analysis (COA) by entering the products Lot/Batch Number. Lot and Batch Numbers can be found on a product’s label following the words ‘Lot’ or ‘Batch’.
Already Own This Product?
Find documentation for the products that you have recently purchased in the Document Library.
Related Content
New Products: Antibodies, Assays, Small Molecules, Inhibitors, and Proteins
Defri Rizaldy et al.
Experimental dermatology, 30(6), 792-803 (2021-01-18)
Primary cilia influence cell activity, and thus have a unique role in maintaining cell proliferation and differentiation. In atopic dermatitis (AD) and psoriasis, areas of skin inflammation exhibit dysregulated keratinocyte homeostasis. The role of primary cilia in these conditions remains
Christina-Marie Baumbach et al.
Mycoses, 63(9), 970-978 (2020-07-04)
Dermatophytoses rank among the most frequent communicable diseases in humans, and the zoonotic transmission is increasing. The zoophilic dermatophyte Trichophyton (T.) benhamiae is nowadays one of the main causes of tinea faciei et corporis in children. However, scientific data on
Global Trade Item Number
| SKU | GTIN |
|---|---|
| MABT118 | 04053252644474 |