Sign In to View Organizational & Contract Pricing.
Select a Size
Change View
About This Item
NACRES:
NA.41
UNSPSC Code:
12352203
Conjugate:
unconjugated
Clone:
EP151, monoclonal
Application:
IHC (p)
Citations:
8
biological source
rabbit
conjugate
unconjugated
antibody form
culture supernatant
antibody product type
primary antibodies
clone
EP151, monoclonal
description
(For In Vitro Diagnostic Use in Select Regions (See Chart))
form
buffered aqueous solution
species reactivity
human
packaging
bottle of 1.0 mL predilute (289R-27), bottle of 7.0 mL predilute (289R-28), vial of 0.1 mL concentrate (289R-24), vial of 0.5 mL concentrate (289R-25), vial of 1.0 mL concentrate (289R-26)
manufacturer/tradename
Cell Marque®
technique(s)
immunohistochemistry (formalin-fixed, paraffin-embedded sections): 1:100-1:500
isotype
IgG
shipped in
wet ice
storage temp.
2-8°C
Gene Information
human ... MPO(4353)
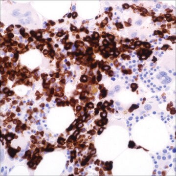
General description
Anti-myeloperoxidase detects granulocytes and monocytes in blood and precursors of granulocytes in the bone marrow. This antibody can detect myeloid cell populations of the bone marrow as well as in other sites.1-8
Physical form
Solution in Tris Buffer, pH 7.3-7.7, with 1% BSA and <0.1% Sodium Azide.
Preparation Note
Download the IFU specific to your product lot and formatNote: This requires a keycode which can be found on your packaging or product label.
Analysis Note
![]() IVD | ![]() IVD | ![]() IVD | ![]() RUO |
Other Notes
For Technical Service please contact: 800-665-7284 or email: service@cellmarque.com
Myeloperoxidase Positive Control Slides, Product No. 289S, are available for immunohistochemistry (formalin-fixed, paraffin-embedded sections).
Legal Information
Cell Marque is a registered trademark of Merck KGaA, Darmstadt, Germany
Still not finding the right product?
Try our Product Selector Tool to narrow your options
Storage Class
12 - Non Combustible Liquids
wgk
WGK 2
flash_point_f
Not applicable
flash_point_c
Not applicable
Regulatory Information
监管及禁止进口产品
This item has
Choose from one of the most recent versions:
Already Own This Product?
Find documentation for the products that you have recently purchased in the Document Library.
G S Pinkus et al.
Modern pathology : an official journal of the United States and Canadian Academy of Pathology, Inc, 4(6), 733-741 (1991-11-01)
Immunohistochemical detection of intracellular myeloperoxidase, a major constituent of primary granules of neutrophilic myeloid cells, was determined in paraffin sections of 161 specimens using a rabbit polyclonal antibody to human myeloperoxidase and an indirect immunoperoxidase technique. In normal tissues and
Z Kaleem et al.
American journal of clinical pathology, 115(6), 876-884 (2001-06-08)
We studied immunophenotypic features of 30 cases of minimally differentiated acute myeloid leukemia (AML-M0) using multiparameter flow cytometry and immunohistochemistry and evaluated the immunophenotypic features of previously reported cases to facilitate correct identification of myeloid lineage. All but 1 of
J Hudock et al.
American journal of clinical pathology, 102(1), 55-60 (1994-07-01)
Paraffin sections of granulocytic sarcomas (GS) (n = 30) were immunohistochemically evaluated for CD3, CD15 (LeuM1), CD20 (L26), CD31, CD34, CD43, CD45, CD68 (KP1), lysozyme, myeloperoxidase (BM1), CD45RO (UCHL1), and LN5 with an avidin-biotin amplification system and a peroxidase-based color
Global Trade Item Number
| SKU | GTIN |
|---|---|
| 289R-25-RUO | 04061836604752 |
| 289R-25 | 0841683120872 |
| 289R-26-RUO | 04061836604769 |
| 289R-26 | 0841683133650 |
| 289R-24-RUO | 04061836587710 |
| 289R-27 | 0841683120889 |
| 289R-28 | 0841683120896 |
| 289R-27-RUO | 04061826285053 |
| 289R-24 | 0841683133643 |
| 289R-28-RUO | 04061836595609 |



