Sign In to View Organizational & Contract Pricing.
Select a Size
Change View
About This Item
NACRES:
NA.41
UNSPSC Code:
12352203
Conjugate:
unconjugated
Clone:
PN-15, monoclonal
Application:
IHC (p)
Citations:
3
biological source
mouse
conjugate
unconjugated
antibody form
culture supernatant
antibody product type
primary antibodies
clone
PN-15, monoclonal
description
For In Vitro Diagnostic Use in Select Regions (See Chart)
form
buffered aqueous solution
species reactivity
human
packaging
vial of 0.1 mL concentrate (329M-94), vial of 0.5 mL concentrate (329M-95), bottle of 1.0 mL predilute (329M-97), vial of 1.0 mL concentrate (329M-96), bottle of 7.0 mL predilute (329M-98)
manufacturer/tradename
Cell Marque®
technique(s)
immunohistochemistry (formalin-fixed, paraffin-embedded sections): 1:50-1:200
isotype
IgG1κ
control
renal cell carcinoma
shipped in
wet ice
storage temp.
2-8°C
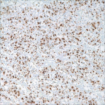
visualization
cytoplasmic, membranous
General description
Anti-renal cell carcinoma (RCC) recognizes a 200 kD glycoprotein localized in the brush border of the proximal renal tubule. This antibody immunoreacts with approximately 90% of primary renal cell carcinomas and approximately 85% of metastatic renal cell carcinomas. Other tumors that may react with this antibody are parathyroid adenoma and an occasional breast carcinoma. Nephroblastoma, oncocytoma, mesoblasticnephroma, transitional cell carcinoma, and angiomyolipoma are not labeled with this antibody.
Physical form
Solution in Tris Buffer, pH 7.3-7.7, with 1% BSA and <0.1% Sodium Azide
Preparation Note
Download the IFU specific to your product lot and formatNote: This requires a keycode which can be found on your packaging or product label.
Analysis Note
![]() IVD | ![]() IVD | ![]() IVD | ![]() RUO |
Other Notes
For Technical Service please contact: 800-665-7284 or email: service@cellmarque.com
Renal Cell Carcinoma Positive Control Slides, Product No. 329S, are available for immunohistochemistry (formalin-fixed, paraffin-embedded sections).
Legal Information
Cell Marque is a registered trademark of Merck KGaA, Darmstadt, Germany
Still not finding the right product?
Try our Product Selector Tool to narrow your options
Regulatory Information
监管及禁止进口产品
This item has
Choose from one of the most recent versions:
Already Own This Product?
Find documentation for the products that you have recently purchased in the Document Library.
D K McGregor et al.
The American journal of surgical pathology, 25(12), 1485-1492 (2001-11-22)
The diagnosis of primary or metastatic renal cell carcinoma (RCC) can be difficult, especially in small biopsies, because of the wide variety of histologic appearances and clinical presentations that RCC can assume. An immunomarker specific for RCC is currently not
A K Avery et al.
The American journal of surgical pathology, 24(2), 203-210 (2000-02-19)
The majority of renal neoplasms can be distinguished on the basis of histologic examination alone; however, there are morphologic similarities between clear cell renal carcinoma and chromophobe cell carcinoma, as well as between the granular/eosinophilic variants of these tumors and
Neriman Gokden et al.
Applied immunohistochemistry & molecular morphology : AIMM, 11(2), 116-119 (2003-06-05)
Renal cell carcinoma (RCC) not uncommonly presents with metastases and causes diagnostic difficulty to the cytopathologist who is involved in the initial diagnostic workup of tumors with an unknown primary site. RCC marker (RCC Ma) recognizes a human proximal tubule
Global Trade Item Number
| SKU | GTIN |
|---|---|
| 329M-97 | 0841683136552 |
| 329M-98 | 0841683136460 |
| 329M-94 | 0841683136521 |
| 329M-95 | 0841683136538 |
| 329M-96 | 0841683136545 |
| 329M-96-RUO | 04061836532338 |



