Skip to Content
Merck
CN

AV40691

Anti-SFRS1 (AB1) antibody produced in rabbit

affinity isolated antibody

Sign In to View Organizational & Contract Pricing.

Select a Size


About This Item

NACRES:
NA.43
UNSPSC Code:
12352203
Conjugate:
unconjugated
Clone:
polyclonal
Application:
IHC, WB
Citations:
-
Technical Service
Need help? Our team of experienced scientists is here for you.
Let Us Assist
Technical Service
Need help? Our team of experienced scientists is here for you.
Let Us Assist

biological source

rabbit

conjugate

unconjugated

antibody form

affinity isolated antibody

antibody product type

primary antibodies

clone

polyclonal

form

buffered aqueous solution

mol wt

27 kDa

species reactivity

rat, dog, bovine, mouse, human, horse, guinea pig

concentration

0.5 mg - 1 mg/mL

technique(s)

immunohistochemistry: suitable, western blot: suitable

NCBI accession no.

UniProt accession no.

shipped in

wet ice

storage temp.

−20°C

target post-translational modification

unmodified

Quality Level

Gene Information

human ... SFRS1(6426)

General description

ASF/SF2 (alternative splicing factor/splicing factor 2)/splicing factor, arginine/serine-rich 1 (SFRS1) is a sequence specific (5′-splice cleavage) splicing factor involved in pre-mRNA splicing/alternative splicing. ASF/SF2 also mediates mRNA nuclear export and translation processes. ASF/SF2 supports genomic stability by impeding formation of mutagenic DNA:RNA hybrid R loop structures between the transcript and the template DNA. ASF/SF2 is involved in the replicaton of HIV-1.

Immunogen

Synthetic peptide directed towards the C terminal region of human SFRS1

Application

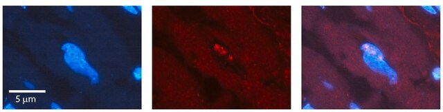
Anti-SFRS1 (AB1) polyclonal antibody is used to tag ASF/SF2 (alternative splicing factor/splicing factor 2)/ splicing factor, arginine/serine-rich 1 for detection and quantitation by Western blotting and in plasma by immunohistochemical (IHC) techniques. It is used as a probe to determine the roles of ASF/SF2 in pre-mRNA splicing, mRNA export and translation and genome stabilization.

Biochem/physiol Actions

Anti-SFRS1 (AB1) polyclonal antibody reacts with chicken, canine, bovine, pig, human, mouse, rat, and zebrafish ASF/SF2 proteins.
SFRS1 is a member of the arginine/serine-rich splicing factor protein family, and functions in both constitutive and alternative pre-mRNA splicing. The protein binds to pre-mRNA transcripts and components of the spliceosome, and can either activate or repress splicing depending on the location of the pre-mRNA binding site. The protein′s ability to activate splicing is regulated by phosphorylation and interactions with other splicing factor associated proteins. Multiple transcript variants encoding different isoforms have been found for this gene.Alternative mRNA splicing plays an important role in development and differentiation; many transcripts are spliced differently in distinct cell types and tissues. Both constitutive and alternative splicing occurs on spliceosomes, which are complex particles composed of small nuclear ribonucleoproteins (snRNPs) and non-snRNP proteins. The SR family of non-snRNP splicing factors is characterized by the presence of an RNA recognition motif and a serine- and arginine-rich (SR) domain. SR proteins are required at early stages of spliceosome assembly, have distinct but overlapping specificities for different pre-mRNAs, and can alter splice site choice, suggesting that they may be involved in the regulation of alternative splicing in vivo. Two of the SR proteins, ASF/SF2 (SFRS1) and SC35 (SFRS2; MIM 600813), have been extensively characterized.Alternative mRNA splicing plays an important role in development and differentiation; many transcripts are spliced differently in distinct cell types and tissues. Both constitutive and alternative splicing occurs on spliceosomes, which are complex particles composed of small nuclear ribonucleoproteins (snRNPs) and non-snRNP proteins. The SR family of non-snRNP splicing factors is characterized by the presence of an RNA recognition motif and a serine- and arginine-rich (SR) domain. SR proteins are required at early stages of spliceosome assembly, have distinct but overlapping specificities for different pre-mRNAs, and can alter splice site choice, suggesting that they may be involved in the regulation of alternative splicing in vivo. Two of the SR proteins, ASF/SF2 (SFRS1) and SC35 (SFRS2; MIM 600813), have been extensively characterized (Bermingham et al., 1995).[supplied by OMIM].

Physical form

Purified antibody supplied in 1x PBS buffer with 0.09% (w/v) sodium azide and 2% sucrose.

Other Notes

Synthetic peptide located within the following region: EFVRKEDMTYAVRKLDNTKFRSHEGETAYIRVKVDGPRSPSYGRSRSRSR

Disclaimer

Unless otherwise stated in our catalog or other company documentation accompanying the product(s), our products are intended for research use only and are not to be used for any other purpose, which includes but is not limited to, unauthorized commercial uses, in vitro diagnostic uses, ex vivo or in vivo therapeutic uses or any type of consumption or application to humans or animals.

Not finding the right product?  

Try our Product Selector Tool.

Storage Class

10 - Combustible liquids

wgk

WGK 3

flash_point_f

Not applicable

flash_point_c

Not applicable

Regulatory Information

常规特殊物品
This item has

Choose from one of the most recent versions:

Certificates of Analysis (COA)

Lot/Batch Number

Don't see the Right Version?

If you require a particular version, you can look up a specific certificate by the Lot or Batch number.

Already Own This Product?

Find documentation for the products that you have recently purchased in the Document Library.

Visit the Document Library

Our team of scientists has experience in all areas of research including Life Science, Material Science, Chemical Synthesis, Chromatography, Analytical and many others.

Contact Technical Service