C3868
Anti-Calsequestrin-2 antibody produced in rabbit

~1.0 mg/mL, affinity isolated antibody, buffered aqueous solution
Synonym(s):
Anti-CASQ2, Anti-fast-twitch, cardiac muscle Calsequestrin
Select a Size
About This Item
biological source
rabbit
conjugate
unconjugated
antibody form
affinity isolated antibody
antibody product type
primary antibodies
clone
polyclonal
form
buffered aqueous solution
mol wt
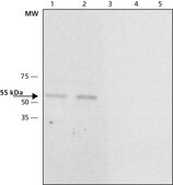
antigen ~55 kDa
species reactivity
rat, human
species reactivity (predicted by homology)
mouse
enhanced validation
recombinant expression
Learn more about Antibody Enhanced Validation
concentration
~1.0 mg/mL
technique(s)
western blot: 0.5-1.0 μg/mL using HEK-293T cells expressing human calsequestrin-2
western blot: 0.5-1.0 μg/mL using extract of rat cardiac muscle (S1 fraction)
UniProt accession no.
shipped in
dry ice
storage temp.
−20°C
target post-translational modification
unmodified
Gene Information
human ... CASQ2(845)
mouse ... Casq2(12373)
rat ... Casq2(29209)
Related Categories
General description
Immunogen
Application
Biochem/physiol Actions
Physical form
Disclaimer
Not finding the right product?
Try our Product Selector Tool.
Storage Class Code
10 - Combustible liquids
WGK
WGK 3
Flash Point(F)
Not applicable
Flash Point(C)
Not applicable
Personal Protective Equipment
Regulatory Information
Choose from one of the most recent versions:
Certificates of Analysis (COA)
Don't see the Right Version?
If you require a particular version, you can look up a specific certificate by the Lot or Batch number.
Already Own This Product?
Find documentation for the products that you have recently purchased in the Document Library.
Our team of scientists has experience in all areas of research including Life Science, Material Science, Chemical Synthesis, Chromatography, Analytical and many others.
Contact Technical Service