Skip to Content
Merck
CN

HPA042727

Anti-SLC10A1 antibody produced in rabbit

Prestige Antibodies® Powered by Atlas Antibodies, affinity isolated antibody, buffered aqueous glycerol solution

Synonym(s):

Anti-NTCP, Anti-Solute Carrier Family 10 (Sodium/Bile Acid Cotransporter Family), Member 1

Sign In to View Organizational & Contract Pricing.

Select a Size


About This Item

UNSPSC Code:
12352203
Human Protein Atlas Number:
Conjugate:
unconjugated
Clone:
polyclonal
Application:
IHC
Citations:
21
Technical Service
Need help? Our team of experienced scientists is here for you.
Let Us Assist
Technical Service
Need help? Our team of experienced scientists is here for you.
Let Us Assist

biological source

rabbit

conjugate

unconjugated

antibody form

affinity isolated antibody

antibody product type

primary antibodies

clone

polyclonal

product line

Prestige Antibodies® Powered by Atlas Antibodies

form

buffered aqueous glycerol solution

species reactivity

human

technique(s)

immunoblotting: 0.4 μg/mL, immunohistochemistry: 1:1000- 1:2500

immunogen sequence

CYEKFKTPKDKTKMIYTAATTEETIPGALGNGTYKGE

UniProt accession no.

shipped in

wet ice

storage temp.

−20°C

target post-translational modification

unmodified

Gene Information

human ... SLC10A1(6554)

General description

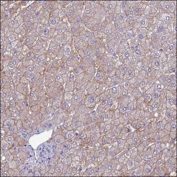
The gene SLC10A1 (solute carrier family 10 member 1) is mapped to human chromosome 14q24.2. It is mainly expressed in the liver cells.
SLC10A1 protein interacts with:
C11ORF74 (anti-C11ORF74 HPA044880)

Immunogen

solute carrier family 10 (sodium/bile acid cotransporter family), member 1 recombinant protein epitope signature tag (PrEST)

Application

All Prestige Antibodies®Powered by Atlas Antibodies is developed and validated by the Human Protein Atlas (HPA) project . Each antibody is tested by immunohistochemistry against hundreds of normal and disease tissues. These images can be viewed on the Human Protein Atlas (HPA) site by clicking on the Image Gallery link. We also provide Prestige Antibodies® protocols and other useful information.
Anti-SLC10A1 antibody produced in rabbit has been used in immunohistochemistry and western blotting.

Biochem/physiol Actions

SLC10A1 (solute carrier family 10 member 1) is a bile acid transporter. It plays an important role in the circulation of bile acids. Mutation in this gene is associated with hypercholanemia. SLC10A1 also plays an important role in the entry of HBV (Hepatitis B virus) and silencing of this gene inhibits HBV infection. It works as a receptor for preS1 domain in HBV.

Features and Benefits

Prestige Antibodies® are highly characterized and extensively validated antibodies with the added benefit of all available characterization data for each target being accessible via the Human Protein Atlas portal linked just below the product name at the top of this page. The uniqueness and low cross-reactivity of the Prestige Antibodies® to other proteins are due to a thorough selection of antigen regions, affinity purification, and stringent selection. Prestige antigen controls are available for every corresponding Prestige Antibody and can be found in the linkage section.

Every Prestige Antibody is tested in the following ways:
  • IHC tissue array of 44 normal human tissues and 20 of the most common cancer type tissues.
  • Protein array of 364 human recombinant protein fragments.

Physical form

Solution in phosphate buffered saline, pH 7.2, containing 40% glycerol and 0.02% sodium azide.

Other Notes

Corresponding Antigen APREST83919

Legal Information

Prestige Antibodies is a registered trademark of Merck KGaA, Darmstadt, Germany

Disclaimer

Unless otherwise stated in our catalog or other company documentation accompanying the product(s), our products are intended for research use only and are not to be used for any other purpose, which includes but is not limited to, unauthorized commercial uses, in vitro diagnostic uses, ex vivo or in vivo therapeutic uses or any type of consumption or application to humans or animals.

Not finding the right product?  

Try our Product Selector Tool.

Storage Class

10 - Combustible liquids

wgk

WGK 1

flash_point_f

Not applicable

flash_point_c

Not applicable

Regulatory Information

常规特殊物品
低风险生物材料
This item has

Choose from one of the most recent versions:

Certificates of Analysis (COA)

Lot/Batch Number

Don't see the Right Version?

If you require a particular version, you can look up a specific certificate by the Lot or Batch number.

Already Own This Product?

Find documentation for the products that you have recently purchased in the Document Library.

Visit the Document Library

A targeted functional RNA interference screen uncovers glypican 5 as an entry factor for hepatitis B and D viruses.
Verrier ER, et al.
Hepatology, 63, 35-48 (2016)
Bo Qin et al.
Oncology reports, 43(1), 296-305 (2019-11-21)
As a member of the liver tropic virus family, hepatitis B virus (HBV) was thought to only infect and replicate within the liver. Sodium taurocholate co‑transporting polypeptide (NTCP) has been identified as a functional cellular receptor and a major determinant of
Shuji Hinuma et al.
Viruses, 14(1) (2022-01-23)
(1) Background: The myristoylated pre-S1 peptide (Myr47) synthesized to mimic pre-S1 domain (2-48) in large (L) surface protein of hepatitis B virus (HBV) prevents HBV infection to hepatocytes by binding to sodium taurocholate cotransporting polypeptide (NTCP). We previously demonstrated that
Ming Zhou et al.
Molecular medicine reports, 20(4), 3820-3828 (2019-09-06)
Primary human hepatocytes (PHHs) are the 'gold standard' for investigating hepatitis B virus (HBV) infection and antiviral drugs. However, poor availability, variation between batches and ethical issues regarding PHHs limit their applications. The discovery of human sodium taurocholate co‑transporting polypeptide
Ming Zhou et al.
Virologica Sinica, 32(6), 465-475 (2017-10-04)
Feasible and effective cell models for hepatitis B virus (HBV) infection are required for investigating the complete lifecycle of this virus, including the early steps of viral entry. Resistance to dimethyl sulfoxide/polyethylene glycol (DMSO/PEG), hNTCP expression, and a differentiated state

Our team of scientists has experience in all areas of research including Life Science, Material Science, Chemical Synthesis, Chromatography, Analytical and many others.

Contact Technical Service