HPA078644
Anti-TBR1

Prestige Antibodies® Powered by Atlas Antibodies
Select a Size
About This Item
biological source
rabbit
conjugate
unconjugated
antibody product type
primary antibodies
clone
polyclonal
product line
Prestige Antibodies® Powered by Atlas Antibodies
form
buffered aqueous glycerol solution
species reactivity
human
enhanced validation
orthogonal RNAseq
independent
Learn more about Antibody Enhanced Validation
technique(s)
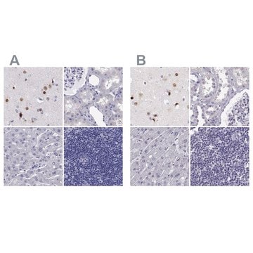
immunohistochemistry: 1:200-1:500
immunogen sequence
LEHCLSPSIMLSKKFLNVSSSYPHSGGSELVLHDHPIISTTDNLERSSPLKKITRGMTNQSDTDNFPDSKDSPGDVQRSKLSPVLDGVSELRHSFD
UniProt accession no.
shipped in
wet ice
storage temp.
−20°C
target post-translational modification
unmodified
Gene Information
human ... TBR1(10716)
Looking for similar products? Visit Product Comparison Guide
Immunogen
Sequence
LEHCLSPSIMLSKKFLNVSSSYPHSGGSELVLHDHPIISTTDNLERSSPLKKITRGMTNQSDTDNFPDSKDSPGDVQRSKLSPVLDGVSELRHSFD
Application
Features and Benefits
Every Prestige Antibody is tested in the following ways:
- IHC tissue array of 44 normal human tissues and 20 of the most common cancer type tissues.
- Protein array of 364 human recombinant protein fragments.
Physical form
Other Notes
Legal Information
Disclaimer
Not finding the right product?
Try our Product Selector Tool.
Storage Class Code
10 - Combustible liquids
WGK
WGK 1
Flash Point(F)
Not applicable
Flash Point(C)
Not applicable
Regulatory Information
Choose from one of the most recent versions:
Certificates of Analysis (COA)
Don't see the Right Version?
If you require a particular version, you can look up a specific certificate by the Lot or Batch number.
Already Own This Product?
Find documentation for the products that you have recently purchased in the Document Library.
Our team of scientists has experience in all areas of research including Life Science, Material Science, Chemical Synthesis, Chromatography, Analytical and many others.
Contact Technical Service