Skip to Content
Merck
CN

PLA0072

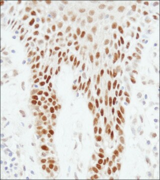
Rabbit anti-p53 Antibody, Affinity Purified

Synonym(s):

BCC7, LFS1, Li-Fraumeni syndrome, TRP53, Tumor suppressor p53, antigen NY-CO-13, mutant tumor protein 53, p53, p53 tumor suppressor, phosphoprotein p53, transformation-related protein 53, tumor protein 53, tumor supressor p53

Sign In to View Organizational & Contract Pricing.

Select a Size


About This Item

NACRES:
NA.41
UNSPSC Code:
12352203
Conjugate:
unconjugated
Clone:
polyclonal
Application:
ChIP, FACS, IHC, IP, WB
Citations:
6
Technical Service
Need help? Our team of experienced scientists is here for you.
Let Us Assist
Technical Service
Need help? Our team of experienced scientists is here for you.
Let Us Assist

biological source

rabbit

conjugate

unconjugated

antibody form

affinity purified immunoglobulin

antibody product type

primary antibodies

clone

polyclonal

species reactivity

human

technique(s)

ChIP: 4-30 μg, flow cytometry: 1.5 μg, immunohistochemistry: 1:1,000- 1:5,000, immunoprecipitation (IP): 2-5 μg/mg, western blot: 1:2,000-1:10,000

accession no.

P04637

shipped in

wet ice

storage temp.

2-8°C

target post-translational modification

unmodified

Quality Level

Gene Information

rabbit ... p53(7157)

Related Categories

General description

p53, also known as transformation related protein 53 (TRP53), is encoded by the gene mapped to human chromosome 17p13.1. p53 is a tumor suppressor gene expressed in a wide variety of tissues. The gene codes for a tetrameric nuclear DNA-binding phosphoprotein.

Immunogen

The epitope recognized by PLA0072 maps to a region between residues 50 and 100 of human tumor protein p53 using the numbering given in SwissProt entry P04637 (GeneID 7157).

Biochem/physiol Actions

Tumor suppressor p53 has an ability to induce cell cycle arrest. It also plays a key role in DNA repair, senescence and apoptosis. It binds to simian vacuolating virus 40 (SV40) T-antigen and human papilloma virus E6 protein. Mutation in the p53 gene is associated with the development of various types of cancers, such as breast, ovarian, bladder, colon and lung cancer.

Physical form

Tris-citrate/phosphate buffer, pH 7 to 8 containing 0.09% sodium azide

Other Notes

p53 is a tumor suppressor protein that is mutated or inactivated in over 50% of human cancers. Loss of function defects in p53 are the cause of the autosomal dominant familial cancer syndrome, Li-Fraumeni syndrome (LFS) that is characterized by the development of a diverse set of malignancies at very early ages. At the cellular level p53 is involved in the negative regulation of cell the cycle via its transactivational control of genes required for cell cycle progression. Depending on the physiological circumstance, p53 can promote growth arrest or apoptosis.

Disclaimer

Unless otherwise stated in our catalog or other company documentation accompanying the product(s), our products are intended for research use only and are not to be used for any other purpose, which includes but is not limited to, unauthorized commercial uses, in vitro diagnostic uses, ex vivo or in vivo therapeutic uses or any type of consumption or application to humans or animals.

Not finding the right product?  

Try our Product Selector Tool.

Storage Class

12 - Non Combustible Liquids

wgk

nwg

flash_point_f

Not applicable

flash_point_c

Not applicable

Regulatory Information

低风险生物材料
常规特殊物品
This item has

Choose from one of the most recent versions:

Certificates of Analysis (COA)

Lot/Batch Number

It looks like we've run into a problem, but you can still download Certificates of Analysis from our Documents section.

If you need assistance, please contact Customer Support

Already Own This Product?

Find documentation for the products that you have recently purchased in the Document Library.

Visit the Document Library

Multiple myeloma involving central nervous system: high frequency of chromosome 17p13.1 (p53) deletions.
Chang H, et al.
British Journal of Haematology, 127(3), 280-284 (2004)
Mutations in the p53 tumor suppressor gene: important milestones at the various steps of tumorigenesis.
Rivlin N, et al.
Genes & Cancer, 2(4), 466-474 (2011)
Cell Cycle and Apoptosis.
Bruna P, et al.
Neoplasia, 2(4), 291-299 (2000)
Mutations in the p53 Tumor Suppressor Gene
Noa Rivlin
Genes & Cancer, 2(4), 466-474 (2011)
Cell Cycle and Apoptosis
Bruna Pucci
Neoplasia, 2(4), 291-299 (2000)

Our team of scientists has experience in all areas of research including Life Science, Material Science, Chemical Synthesis, Chromatography, Analytical and many others.

Contact Technical Service