Skip to Content
Merck
CN

PRS4613

Anti-GPAT1 antibody produced in rabbit

affinity isolated antibody, buffered aqueous solution

Synonym(s):

Anti-GPAM, Anti-Glycerol-3-phosphate acyltransferase, mitochondrial

Sign In to View Organizational & Contract Pricing.

Select a Size


About This Item

NACRES:
NA.41
UNSPSC Code:
12352203
Conjugate:
unconjugated
Clone:
polyclonal
Application:
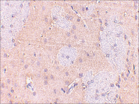
ELISA (i), IF, IHC, WB
Citations:
2
Technical Service
Need help? Our team of experienced scientists is here for you.
Let Us Assist
Technical Service
Need help? Our team of experienced scientists is here for you.
Let Us Assist

biological source

rabbit

conjugate

unconjugated

antibody form

affinity isolated antibody

antibody product type

primary antibodies

clone

polyclonal

form

buffered aqueous solution

species reactivity

mouse, rat, human

technique(s)

immunofluorescence: suitable, immunohistochemistry: suitable, indirect ELISA: suitable, western blot: suitable

UniProt accession no.

shipped in

dry ice

storage temp.

−20°C

target post-translational modification

unmodified

Gene Information

human ... GPAM(57678)

Immunogen

a 15 amino acid peptide near the carboxy-terminus of the human GPAT1.

Physical form

Solution in phosphate buffered saline containing 0.02% sodium azide

Other Notes

The action of this antibody can be blocked using blocking peptide SBP4613.

Disclaimer

Unless otherwise stated in our catalog or other company documentation accompanying the product(s), our products are intended for research use only and are not to be used for any other purpose, which includes but is not limited to, unauthorized commercial uses, in vitro diagnostic uses, ex vivo or in vivo therapeutic uses or any type of consumption or application to humans or animals.

Not finding the right product?  

Try our Product Selector Tool.

Storage Class

10 - Combustible liquids

wgk

WGK 2

flash_point_f

Not applicable

flash_point_c

Not applicable

Regulatory Information

新产品
This item has

Choose from one of the most recent versions:

Certificates of Analysis (COA)

Lot/Batch Number

Don't see the Right Version?

If you require a particular version, you can look up a specific certificate by the Lot or Batch number.

Already Own This Product?

Find documentation for the products that you have recently purchased in the Document Library.

Visit the Document Library

Xiaohua Fu et al.
Molecular medicine reports, 14(1), 425-431 (2016-05-14)
Recent evidence has suggested that the marked decrease in ovarian secretion of estrogens in postmenopausal women may be associated with the development of non-alcoholic fatty liver disease. The present study aimed to elucidate the mechanisms by which low levels of
Douglas W Van Pelt et al.
American journal of physiology. Endocrinology and metabolism, 313(4), E429-E439 (2017-07-07)
Although the rate of fatty acid release from adipose tissue into the systemic circulation is very high in most obese adults, some obese adults maintain relatively low rates of fatty acid release, which helps protect them against the development of

Our team of scientists has experience in all areas of research including Life Science, Material Science, Chemical Synthesis, Chromatography, Analytical and many others.

Contact Technical Service