Skip to Content
Merck
CN

SAB5702194

Anti-NF-κB2 Antibody, clone 4K3V3, Rabbit Monoclonal

Synonym(s):

CVID10,H2TF1,LYT-10,LYT10,NF-kB2,p100,p49/p100,p52

Sign In to View Organizational & Contract Pricing.

Select a Size


About This Item

NACRES:
NA.46
UNSPSC Code:
12352203
Conjugate:
unconjugated
Clone:
4K3V3, monoclonal
Application:
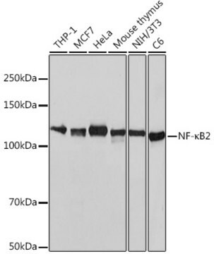
IHC, WB
Species reactivity:
rat, rat, human
Citations:
Technique(s):
immunohistochemistry: 1:50 - 1:200, western blot: 1:500 - 1:2000
Uniprot accession no.:
Technical Service
Need help? Our team of experienced scientists is here for you.
Let Us Assist
Technical Service
Need help? Our team of experienced scientists is here for you.
Let Us Assist

biological source

rabbit

conjugate

unconjugated

material

colorless

clone

4K3V3, monoclonal

form

liquid

mol wt

120 kDa

species reactivity

rat, rat, human

concentration

0.25 mg/mL

technique(s)

immunohistochemistry: 1:50 - 1:200, western blot: 1:500 - 1:2000

color

colorless

isotype

IgG

immunogen sequence

LLLNAAQNTMEPPLTPPSPAGPGLSLGDTALQNLEQLLDGPEAQGSWAELAERLGLRSLVDTYRQTTSPSGSLLRSYELAGGDLAGLLEALSDMGLEEGVRLLRGPETRDKLPSTAEVKEDSAYGSQSVEQEA

UniProt accession no.

shipped in

wet ice

storage temp.

−20°C

target post-translational modification

unmodified

Quality Level

Gene Information

human ... NFKB2(4791)

Application

WB, IHC

General description

This gene encodes a subunit of the transcription factor complex nuclear factor-kappa-B (NFkB). The NFkB complex is expressed in numerous cell types and functions as a central activator of genes involved in inflammation and immune function. The protein encoded by this gene can function as both a transcriptional activator or repressor depending on its dimerization partner. The p100 full-length protein is co-translationally processed into a p52 active form. Chromosomal rearrangements and translocations of this locus have been observed in B cell lymphomas, some of which may result in the formation of fusion proteins. There is a pseudogene for this gene on chromosome 18. Alternative splicing results in multiple transcript variants. [provided by RefSeq, Dec 2013]

Immunogen

PBS with 0.02% sodium azide,0.05% BSA,50% glycerol,pH7.3.
Recombinant fusion protein containing a sequence corresponding to amino acids 745-877 of human NF-κB2 (Q00653).

Storage Class

10 - Combustible liquids

wgk

WGK 1

Regulatory Information

常规特殊物品
This item has

Choose from one of the most recent versions:

Certificates of Analysis (COA)

Lot/Batch Number

It looks like we've run into a problem, but you can still download Certificates of Analysis from our Documents section.

If you need assistance, please contact Customer Support

Already Own This Product?

Find documentation for the products that you have recently purchased in the Document Library.

Visit the Document Library

Our team of scientists has experience in all areas of research including Life Science, Material Science, Chemical Synthesis, Chromatography, Analytical and many others.

Contact Technical Service