Skip to Content
Merck
CN

SAB5702195

Anti-eIF2C3 Antibody, clone 8E0O6, Rabbit Monoclonal

Synonym(s):

EIF2C3

Sign In to View Organizational & Contract Pricing.

Select a Size


About This Item

NACRES:
NA.46
UNSPSC Code:
12352203
Conjugate:
unconjugated
Clone:
8E0O6, monoclonal
Application:
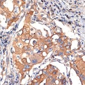
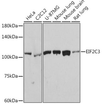
IHC, WB
Citations:
-
Technical Service
Need help? Our team of experienced scientists is here for you.
Let Us Assist
Technical Service
Need help? Our team of experienced scientists is here for you.
Let Us Assist

biological source

rabbit

conjugate

unconjugated

material

colorless

clone

8E0O6, monoclonal

form

liquid

mol wt

97 kDa

concentration

1.88 mg/mL

technique(s)

immunohistochemistry: 1:50 - 1:200, western blot: 1:500 - 1:2000

color

colorless

isotype

IgG

immunogen sequence

RTERVGRSGNIPAGTTVDTDITHPYEFDFYLCSHAGIQGTSRPSHYHVLWDDNCFTADELQLLTYQLCHTYVRCTRSVSIPAPAYYAHLVAFRARYHLVDKEHDSAEGSHVSGQSNGRDPQALAKAVQIHQDTLRTMYFA

UniProt accession no.

shipped in

wet ice

storage temp.

−20°C

target post-translational modification

unmodified

Quality Level

Gene Information

human ... AGO3(192669)

species reactivity

human

General description

This gene encodes a member of the Argonaute family of proteins which play a role in RNA interference. The encoded protein is highly basic, contains a PAZ domain and a PIWI domain, and may play a role in short-interfering-RNA-mediated gene silencing. This gene is located on chromosome 1 in a tandem cluster of closely related family members including argonaute 4 and eukaryotic translation initiation factor 2C, 1. Two transcript variants encoding distinct isoforms have been identified for this gene. [provided by RefSeq, Jul 2008]

Immunogen

PBS with 0.02% sodium azide,0.05% BSA,50% glycerol,pH7.3.
Recombinant fusion protein containing a sequence corresponding to amino acids 721-860 of human eIF2C3 (Q9H9G7).

Application

WB, IHC

Storage Class

10 - Combustible liquids

wgk

WGK 1

Regulatory Information

常规特殊物品
This item has

Choose from one of the most recent versions:

Certificates of Analysis (COA)

Lot/Batch Number

It looks like we've run into a problem, but you can still download Certificates of Analysis from our Documents section.

If you need assistance, please contact Customer Support

Already Own This Product?

Find documentation for the products that you have recently purchased in the Document Library.

Visit the Document Library

Our team of scientists has experience in all areas of research including Life Science, Material Science, Chemical Synthesis, Chromatography, Analytical and many others.

Contact Technical Service