Skip to Content
Merck
CN

SAB5702708

Anti-SOX10 Antibody, clone 2V5D6, Rabbit Monoclonal

Synonym(s):

DOM, PCWH, WS2E, WS4, WS4C

Sign In to View Organizational & Contract Pricing.

Select a Size


About This Item

NACRES:
NA.46
UNSPSC Code:
12352203
Species reactivity:
human, rat
Conjugate:
unconjugated
Application:
IF, WB
Citations:
-
Technical Service
Need help? Our team of experienced scientists is here for you.
Let Us Assist
Technical Service
Need help? Our team of experienced scientists is here for you.
Let Us Assist

species reactivity

human, rat

biological source

rabbit

conjugate

unconjugated

material

colorless

clone

2V5D6, monoclonal

form

liquid

mol wt

62 kDa

concentration

0.685 mg/mL

technique(s)

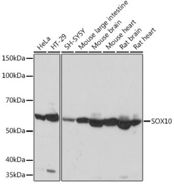
immunofluorescence: 1:50 - 1:200, western blot: 1:500 - 1:2000

color

colorless

isotype

IgG

immunogen sequence

VDAKAQVKTETAGPQGPPHYTDQPSTSQIAYTSLSLPHYGSAFPSISRPQFDYSDHQPSGPYYGHSGQASGLYSAFSYMGPSQRPLYTAISDPSPSGPQSH

UniProt accession no.

shipped in

wet ice

storage temp.

−20°C

target post-translational modification

unmodified

Quality Level

Gene Information

human ... SOX10(6663)

General description

This gene encodes a member of the SOX (SRY-related HMG-box) family of transcription factors involved in the regulation of embryonic development and in the determination of the cell fate. The encoded protein may act as a transcriptional activator after forming a protein complex with other proteins. This protein acts as a nucleocytoplasmic shuttle protein and is important for neural crest and peripheral nervous system development. Mutations in this gene are associated with Waardenburg-Shah and Waardenburg-Hirschsprung disease. [provided by RefSeq, Jul 2008]

Immunogen

A synthetic peptide corresponding to a sequence within amino acids 350-450 of human SOX10 (P56693).
PBS with 0.02% sodium azide,0.05% BSA,50% glycerol,pH7.3.

Application

WB, IF/ICC

Storage Class

10 - Combustible liquids

wgk

WGK 1

Regulatory Information

常规特殊物品
This item has

Choose from one of the most recent versions:

Certificates of Analysis (COA)

Lot/Batch Number

It looks like we've run into a problem, but you can still download Certificates of Analysis from our Documents section.

If you need assistance, please contact Customer Support

Already Own This Product?

Find documentation for the products that you have recently purchased in the Document Library.

Visit the Document Library

Our team of scientists has experience in all areas of research including Life Science, Material Science, Chemical Synthesis, Chromatography, Analytical and many others.

Contact Technical Service