Skip to Content
Merck
CN

SAB6010058

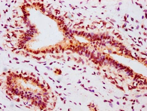
Anti-phospho-ESR1 (S118) antibody, clone 4H1, Rabbit Monoclonal

recombinant, expressed in HEK293F cells

Synonym(s):

Estrogen receptor, ER, ER-alpha, Estradiol receptor, Nuclear receptor subfamily 3 group A member 1, ESR1, ESR, NR3A1

Sign In to View Organizational & Contract Pricing.

Select a Size

Change View

About This Item

UNSPSC Code:
12352203
NACRES:
NA.41
Conjugate:
unconjugated
Clone:
4H1, recombinant monoclonal
Application:
ELISA, FACS, IF, IHC
Citations:
-
Technical Service
Need help? Our team of experienced scientists is here for you.
Let Us Assist


recombinant

expressed in HEK 293 F cells

Quality Level

conjugate

unconjugated

antibody product type

primary antibodies

clone

4H1, recombinant monoclonal

form

liquid

mol wt

150 kDa

purified by

affinity chromatography

species reactivity

human

concentration

2mg/ml

technique(s)

ELISA: 2000:10000, flow cytometry: 1:50-1:200, immunofluorescence: 1:50-1:200, immunohistochemistry: 1:50-1:200

isotype

IgG

UniProt accession no.

shipped in

wet ice

storage temp.

-10 to -25°C

target post-translational modification

phosphorylation (pSer118)

General description

Nuclear hormone receptor. The steroid hormones and their receptors are involved in the regulation of eukaryotic gene expression and affect cellular proliferation and differentiation in target tissues. Ligand-dependent nuclear transactivation involves either direct homodimer binding to a palindromic estrogen response element (ERE) sequence or association with other DNA-binding transcription factors, such as AP-1/c-Jun, c-Fos, ATF-2, Sp1 and Sp3, to mediate ERE-independent signaling. Ligand binding induces a conformational change allowing subsequent or combinatorial association with multiprotein coactivator complexes through LXXLL motifs of their respective components. Mutual transrepression occurs between the estrogen receptor (ER) and NF-kappa-B in a cell-type specific manner. Decreases NF-kappa-B DNA-binding activity and inhibits NF-kappa-B-mediated transcription from the IL6 promoter and displace RELA/p65 and associated coregulators from the promoter. Recruited to the NF-kappa-B response element of the CCL2 and IL8 promoters and can displace CREBBP. Present with NF-kappa-B components RELA/p65 and NFKB1/p50 on ERE sequences. Can also act synergistically with NF-kappa-B to activate transcription involving respective recruitment adjacent response elements; the function involves CREBBP. Can activate the transcriptional activity of TFF1. Also mediates membrane-initiated estrogen signaling involving various kinase cascades. Isoform 3 is involved in activation of NOS3 and endothelial nitric oxide production. Isoforms lacking one or several functional domains are thought to modulate transcriptional activity by competitive ligand or DNA binding and/or heterodimerization with the full-length receptor. Essential for MTA1-mediated transcriptional regulation of BRCA1 and BCAS3. Isoform 3 can bind to ERE and inhibit isoform 1.

Immunogen

A synthesized peptide derived from human Phospho-ESR1 (S118)

Physical form

Rabbit IgG in phosphate buffered saline , pH 7.4, 150mM NaCl, 0.02% sodium azide and 50% glycerol.

Preparation Note

Upon receipt, store at -20°C or -80°C. Avoid repeated freeze.

Other Notes

103-135aa


Still not finding the right product?

Try our Product Selector Tool to narrow your options


Storage Class

10 - Combustible liquids

wgk

WGK 1

flash_point_f

Not applicable

flash_point_c

Not applicable

Regulatory Information

新产品

This item has



Choose from one of the most recent versions:

Certificates of Analysis (COA)

Lot/Batch Number

It looks like we've run into a problem, but you can still download Certificates of Analysis from our Documents section.

If you need assistance, please contact Customer Support

Already Own This Product?

Find documentation for the products that you have recently purchased in the Document Library.

Visit the Document Library



Global Trade Item Number

SKUGTIN
SAB6010058-100UL04065272175777