biological source
rabbit (Monoclonal)
Quality Level
recombinant
expressed in HEK 293 cells
conjugate
unconjugated
antibody form
affinity isolated antibody
antibody product type
primary antibodies
clone
23GB4910, recombinant monoclonal
form
buffered aqueous glycerol solution
mol wt
36 kDa
species reactivity
human
packaging
vial of 1.5 mL
enhanced validation
recombinant expression
Learn more about Antibody Enhanced Validation
concentration
0.8 mg/ml
technique(s)
flow cytometry: 1:2000
western blot: 1:1,000-1:5,000
isotype
IgG
Ensembl | human accession no.
NCBI accession no.
UniProt accession no.
shipped in
wet ice
storage temp.
−20°C
target post-translational modification
unmodified
Gene Information
human ... PBK(55872)
General description
This gene encodes a serine/threonine protein kinase related to the dual specific mitogen-activated protein kinase kinase (MAPKK) family. Evidence suggests that mitotic phosphorylation is required for its catalytic activity. The encoded protein may be involved in the activation of lymphoid cells and support testicular functions, with a suggested role in the process of spermatogenesis. Overexpression of this gene has been implicated in tumorigenesis. Alternative splicing results in multiple transcript variants. [provided by RefSeq, Jul 2013]
Immunogen
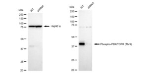
A synthesized peptide corresponding to a sequence within amino acids 2-16 of human Phospho-PBK/TOPK (Thr9) [NP_060962.2].
Physical form
Solution in PBS (pH 7.4) containing 50% glycerol, and 0.02% sodium azide.
Other Notes
Gently mix before use. Optimal concentrations and conditions for each application should be determined by the user.
Not finding the right product?
Try our Product Selector Tool.
Regulatory Information
新产品
This item has
Choose from one of the most recent versions:
Already Own This Product?
Find documentation for the products that you have recently purchased in the Document Library.
Our team of scientists has experience in all areas of research including Life Science, Material Science, Chemical Synthesis, Chromatography, Analytical and many others.
Contact Technical Service
