SAB6012368
KD-Validated Anti Desmocollin 1 Antibody, clone 23GB5210, Rabbit Monoclonal


clone 23GB5210, recombinant rabbit monoclonal, expressed in HEK293 cells
Synonym(s):
CDHF1, DG2/DG3
biological source
rabbit (Monoclonal)
Quality Level
recombinant
expressed in HEK 293 cells
conjugate
unconjugated
antibody form
affinity isolated antibody
antibody product type
primary antibodies
clone
23GB5210, recombinant monoclonal
form
buffered aqueous glycerol solution
mol wt
100 kDa
species reactivity
human, rat
packaging
vial of 1.5 mL
enhanced validation
recombinant expression
Learn more about Antibody Enhanced Validation
concentration
1.5 mg/ml
technique(s)
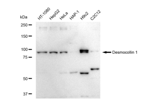
western blot: 1:1,000-1:5,000
isotype
IgG
Ensembl | human accession no.
NCBI accession no.
UniProt accession no.
shipped in
wet ice
storage temp.
−20°C
target post-translational modification
unmodified
Gene Information
human ... DSC1(1823)
General description
Immunogen
Physical form
Other Notes
Not finding the right product?
Try our Product Selector Tool.
Regulatory Information
Choose from one of the most recent versions:
Certificates of Analysis (COA)
It looks like we've run into a problem, but you can still download Certificates of Analysis from our Documents section.
If you need assistance, please contact Customer Support
Already Own This Product?
Find documentation for the products that you have recently purchased in the Document Library.
Our team of scientists has experience in all areas of research including Life Science, Material Science, Chemical Synthesis, Chromatography, Analytical and many others.
Contact Technical Service