biological source
rabbit (Monoclonal)
Quality Level
recombinant
expressed in HEK 293 cells
conjugate
unconjugated
antibody form
affinity isolated antibody
antibody product type
primary antibodies
clone
24GB2310, recombinant monoclonal
form
buffered aqueous glycerol solution
mol wt
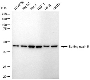
47 kDa
species reactivity
human, rat
packaging
vial of 1.5 mL
enhanced validation
recombinant expression
Learn more about Antibody Enhanced Validation
concentration
0.6 mg/ml
technique(s)
flow cytometry: 1:2000
western blot: 1:1,000-1:5,000
isotype
IgG
Ensembl | human accession no.
NCBI accession no.
UniProt accession no.
shipped in
wet ice
storage temp.
−20°C
target post-translational modification
unmodified
Gene Information
human ... SNX5(27131)
General description
This gene encodes a member of the sorting nexin family. Members of this family contain a phox (PX) domain, which is a phosphoinositide binding domain, and are involved in intracellular trafficking. This protein functions in endosomal sorting, the phosphoinositide-signaling pathway, and macropinocytosis. This gene may play a role in the tumorigenesis of papillary thyroid carcinoma. Alternative splicing results in multiple transcript variants encoding different isoforms. [provided by RefSeq, Sep 2013]
Immunogen
A synthesized peptide corresponding to a sequence within amino acids 15-150 of human SNX5 [NP_055241.1].
Physical form
Solution in PBS (pH 7.4) containing 50% glycerol, and 0.02% sodium azide.
Other Notes
Gently mix before use. Optimal concentrations and conditions for each application should be determined by the user.
Not finding the right product?
Try our Product Selector Tool.
Regulatory Information
新产品
This item has
Choose from one of the most recent versions:
Already Own This Product?
Find documentation for the products that you have recently purchased in the Document Library.
Our team of scientists has experience in all areas of research including Life Science, Material Science, Chemical Synthesis, Chromatography, Analytical and many others.
Contact Technical Service
