Skip to Content
Merck
CN

ZRB2957

Anti-LRRC8E Antibody, clone 3H20 ZooMAb® Rabbit Monoclonal

greener alternative

recombinant, expressed in HEK 293 cells

Synonym(s):

Leucine-rich repeat-containing protein 8E, Volume-regulated anion channel subunit LRRC8E

Sign In to View Organizational & Contract Pricing.

Select a Size


About This Item

NACRES:
NA.46
UNSPSC Code:
12352203
Technique(s):
affinity binding assay: suitable, immunohistochemistry: suitable, immunoprecipitation (IP): suitable
Uniprot accession no.:
Application:
IHC, IP, affinity binding assay
Citations:
-
Technical Service
Need help? Our team of experienced scientists is here for you.
Let Us Assist
Technical Service
Need help? Our team of experienced scientists is here for you.
Let Us Assist

greener alternative product characteristics

Waste Prevention
Designing Safer Chemicals
Design for Energy Efficiency
Learn more about the Principles of Green Chemistry.

enhanced validation

recombinant expression
Learn more about Antibody Enhanced Validation

sustainability

Greener Alternative Product

technique(s)

affinity binding assay: suitable, immunohistochemistry: suitable, immunoprecipitation (IP): suitable

isotype

IgG

epitope sequence

C-terminal cytoplasmic domain

Protein ID accession no.

UniProt accession no.

greener alternative category

shipped in

ambient

storage temp.

2-8°C

biological source

rabbit

recombinant

expressed in HEK 293 cells

conjugate

unconjugated

antibody form

purified antibody

antibody product type

primary antibodies

clone

3H20, recombinant monoclonal

description

recombinant, expressed in HEK 293 cells

product line

ZooMAb® learn more

form

lyophilized

mol wt

calculated mol wt 90.25 kDa, observed mol wt ~75/80 kDa

purified by

using Protein A

species reactivity

human

packaging

antibody small pack of 25

Quality Level

Gene Information

human ... LRRC8E(80131)

General description

ZooMAb® antibodies represent an entirely new generation of recombinant monoclonal antibodies. Each ZooMAb® antibody is manufactured using our proprietary recombinant expression system, purified to homogeneity, and precisely dispensed to produce robust and highly reproducible lot-to-lot consistency. Only top-performing clones are released for use by researchers. Each antibody is validated for high specificity and affinity across multiple applications, including its most commonly used application. ZooMAb® antibodies are reliably available and ready to ship when you need them.
We are committed to bringing you greener alternative products, which adhere to one or more of the 12 Principles of Green Chemistry. This antibody is preservative-free, produced without the harm or sacrifice of animals and exceptionally stable to allow for ambient shipping and storage if needed, and thus aligns with "Waste Prevention", "Designing Safer Chemicals" and "Design for Energy Efficiency". Click here for more information.

Immunogen

KLH-conjugated linear peptide corresponding to 18 amino acids from the C-terminal cytoplasmic domain of human LRRC8E.

Application

Quality Control Testing

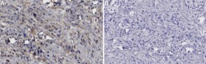
Evaluated by Immunohistochemistry (Paraffin) in human pancreatic cancer tissue sections.

Immunohistochemistry (Paraffin) Analysis: A 1:100 dilution from a representative lot detected LRRC8E in human pancreatic cancer tissue sections.

Tested Applications

Affinity Binding Assay: A representative lot of this antibody bound with LRRC8E peptide with at least one thousand-fold (1,000X) higher affinity than with non-specific control peptide.

Immunoprecipitation Analysis: 2 µg from a representative lot immunoprecipitated LRRC8E in HeLa cell lysate.

Note: Actual optimal working dilutions must be determined by end user as specimens, and experimental conditions may vary with the end user.

Physical form

Purified recombinant rabbit monoclonal antibody IgG, lyophilized in PBS with 5% Trehalose, normal appearance a coarse or translucent resin. The PBS/trehalose components in the ZooMAb formulation can have the appearance of a semi-solid (bead like gel) after lyophilization. This is a normal phenomenon. Please follow the recommended reconstitution procedure in the data sheet to dissolve the semi-solid, bead-like, gel-appearing material. The resulting antibody solution is completely stable and functional as proven by full functional testing. Contains no biocide or preservatives, such as azide, or any animal by-products. Larger pack sizes provided as multiples of 25 µL.

Preparation Note

300 µg/mL after reconstitution at 25 µL per vial. Please refer to guidance on suggested starting dilutions and/or titers per application and sample type.
Recommend storage of lyophilized product at 2-8°C; Before reconstitution, micro-centrifuge vials briefly to spin down material to bottom of the vial; Reconstitute each vial by adding 25 µL of filtered lab grade water or PBS; Reconstituted antibodies can be stored at 2-8°C, or -20°C for long term storage. Avoid repeated freeze-thaws.

Analysis Note

Volume-regulated anion channel subunit LRRC8E (UniProt: Q6NSJ5; also known as Leucine-rich repeat-containing protein 8E) is encoded by the LRRC8E gene (Gene ID: 80131) in human. Leucine-rich repeat-containing protein 8E (LRRC8E) belongs to the leucine-rich repeat-containing family, characterized by extracellular leucine-rich repeats that facilitate protein-protein interactions. LRRC8E functions as a subunit of the volume-regulated anion channel (VRAC), which is essential for regulating cell size and volume homeostasis by transporting ions and organic molecules across cellular membranes. VRAC complexes typically consist of LRRC8A as the core subunit and other subunits such as LRRC8B, LRRC8C, LRRC8D, and LRRC8E, which modulate channel specificity and function. LRRC8E exhibits expression in various tissues, with high levels in the lung and spleen. It contributes to the transport of cyclic GMP-AMP (cGAMP), a secondary messenger involved in immune activation, highlighting its role in immune signaling pathways. LRRC8E is localized to the cell membrane and lysosomes, where it participates in lysosomal homeostasis under specific conditions. While LRRC8E is not essential for VRAC function, its presence diversifies the channel′s activity, influencing cellular responses to osmotic stress and apoptotic signaling. LRRC8E has been implicated in diseases such as long QT syndrome and megalencephalic leukoencephalopathy with subcortical cysts. Recent studies suggest potential associations of LRRC8E with psychiatric disorders, including panic disorder, although further research is needed to establish its role in these conditions. This ZooMAb® recombinant monoclonal antibody, generated by our proprietary technology, offers significantly enhanced specificity, affinity, reproducibility, and stability over conventional monoclonals.

Other Notes

Clone 3H20 is a ZooMAb® rabbit recombinant monoclonal antibody that detects LRRC8E. It targets an epitope within 18 amino acids from the C-terminal cytoplasmic domain.

Legal Information

ZooMAb is a registered trademark of Merck KGaA, Darmstadt, Germany

Disclaimer

Unless otherwise stated in our catalog or other company documentation accompanying the product(s), our products are intended for research use only and are not to be used for any other purpose, which includes but is not limited to, unauthorized commercial uses, in vitro diagnostic uses, ex vivo or in vivo therapeutic uses or any type of consumption or application to humans or animals.

Not finding the right product?  

Try our Product Selector Tool.

Storage Class

11 - Combustible Solids

flash_point_f

Not applicable

flash_point_c

Not applicable

Regulatory Information

新产品
This item has

Choose from one of the most recent versions:

Certificates of Analysis (COA)

Lot/Batch Number

Don't see the Right Version?

If you require a particular version, you can look up a specific certificate by the Lot or Batch number.

Already Own This Product?

Find documentation for the products that you have recently purchased in the Document Library.

Visit the Document Library

Our team of scientists has experience in all areas of research including Life Science, Material Science, Chemical Synthesis, Chromatography, Analytical and many others.

Contact Technical Service