ZRB3021
Anti-CRYAB Antibody, clone 4G15 ZooMAb® Rabbit Monoclonal


recombinant, expressed in HEK 293 cells
Synonym(s):
Alpha(B)-crystallin, Alpha-crystallin B chain, CRYA2, Heat shock protein beta-5 (HspB5), Heat shock protein family B member 5, Renal carcinoma antigen NY-REN-27, Rosenthal fiber component
biological source
rabbit
Quality Level
recombinant
expressed in HEK 293 cells
conjugate
unconjugated
antibody form
purified antibody
antibody product type
primary antibodies, primary antibodies
clone
4G15, recombinant monoclonal
description
recombinant, expressed in HEK 293 cells
product line
ZooMAb® learn more
form
lyophilized
mol wt
calculated mol wt 20.16 kDa
observed mol wt ~20.16 kDa
purified by
using Protein A
species reactivity
human, rat
species reactivity (predicted by homology)
nonhuman primates, monkey, mouse
packaging
antibody small pack of 25
greener alternative product characteristics
Waste Prevention
Designing Safer Chemicals
Design for Energy Efficiency
Learn more about the Principles of Green Chemistry.
enhanced validation
recombinant expression
Learn more about Antibody Enhanced Validation
sustainability
Greener Alternative Product
technique(s)
immunocytochemistry: suitable
immunohistochemistry: suitable
western blot: suitable
isotype
IgG
epitope sequence
C-terminal
Protein ID accession no.
UniProt accession no.
greener alternative category
shipped in
ambient
storage temp.
2-8°C
Gene Information
human ... CRYAB(1410)
Related Categories
General description
Immunogen
Application
Evaluated by Western Blotting in mouse brain tissue lysate.
Western Blotting Analysis: A 1:10,000 dilution of this antibody detected -B-crystallin/CRYAB in mouse brain tissue lysate.
Tested Applications
Western Blotting Analysis: A 1:10,000 dilution from a representative lot detected CRYAB in rat heart tissue lysate.
Immunocytochemistry Analysis: A 1:100 dilution from a representative lot detected CRYAB in U-2 OS cells.
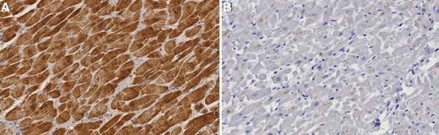
Immunohistochemistry (Paraffin) Analysis: A 1:1,000 dilution from a representative lot detected CRYAB in human heart tissue sections.
Note: Actual optimal working dilutions must be determined by end user as specimens, and experimental conditions may vary with the end user.
Biochem/physiol Actions
Physical form
Preparation Note
Legal Information
Disclaimer
Regulatory Information
Choose from one of the most recent versions:
Certificates of Analysis (COA)
Don't see the Right Version?
If you require a particular version, you can look up a specific certificate by the Lot or Batch number.
Already Own This Product?
Find documentation for the products that you have recently purchased in the Document Library.
Our team of scientists has experience in all areas of research including Life Science, Material Science, Chemical Synthesis, Chromatography, Analytical and many others.
Contact Technical Service