Skip to Content
Merck
CN

ZRB3379

Anti-FOSL1 Antibody, clone 1D10 ZooMAb® Rabbit Monoclonal

greener alternative

recombinant, expressed in HEK 293 cells

Synonym(s):

FRA-1, FRA1, Fos-related antigen 1

Sign In to View Organizational & Contract Pricing.

Select a Size

Change View

About This Item

UNSPSC Code:
12352203
Technical Service
Need help? Our team of experienced scientists is here for you.
Let Us Assist


biological source

rabbit

Quality Segment

recombinant

expressed in HEK 293 cells

conjugate

unconjugated

antibody form

purified antibody

antibody product type

primary antibodies

clone

1D10, recombinant monoclonal

description

recombinant, expressed in HEK 293 cells

product line

ZooMAb® learn more

form

lyophilized

mol wt

calculated mol wt 29.41 kDa, observed mol wt ~35-38 kDa

purified by

using Protein A

species reactivity

mouse, rat, human

packaging

antibody small pack of 25

greener alternative product characteristics

Waste Prevention
Designing Safer Chemicals
Design for Energy Efficiency
Learn more about the Principles of Green Chemistry.

enhanced validation

recombinant expression
Learn more about Antibody Enhanced Validation

sustainability

Greener Alternative Product

technique(s)

affinity binding assay: suitable, immunocytochemistry: suitable, immunohistochemistry: suitable, western blot: suitable

isotype

IgG

epitope sequence

N-terminal half

Protein ID accession no.

UniProt accession no.

greener alternative category

shipped in

ambient

storage temp.

2-8°C

Gene Information

human ... FOSL1(8061)

General description

ZooMAb® antibodies represent an entirely new generation of recombinant monoclonal antibodies. Each ZooMAb® antibody is manufactured using our proprietary recombinant expression system, purified to homogeneity, and precisely dispensed to produce robust and highly reproducible lot-to-lot consistency. Only top-performing clones are released for use by researchers. Each antibody is validated for high specificity and affinity across multiple applications, including its most commonly used application. ZooMAb® antibodies are reliably available and ready to ship when you need them.

Fos-related antigen 1 (UniProt: P15407; also known as FRA-1) is encoded by the FOSL1 (also known as FRA1) gene (Gene ID: 8061) in human. Fos-related antigen 1 (FOSL1) oncoprotein belongs to the activator protein-1 (AP-1) transcription factor family, which regulates gene expression involved in cell proliferation, differentiation, and survival. FOSL1 forms heterodimers with JUN (c-Jun, JunB, and JunD) proteins, mediating transcriptional activity. FOSL1 contains a basic leucine zipper (bZIP) domain that facilitates DNA binding and dimerization with JUN family members. Unlike c-Fos, FOSL1 lacks a transactivation domain, relying on its partners for transcriptional regulation. FOSL1 plays a critical role in immune responses, particularly in inflammatory pathways. It is involved in Th17 cell differentiation and autoimmune diseases such as rheumatoid arthritis through STAT3-mediated signaling. FOSL1 also modulates tumor progression by promoting epithelial-to-mesenchymal transition (EMT) and metastasis. microRNAs (miRNAs) and long non-coding RNAs (lncRNAs) contribute to the regulation of FOSL1 expression by directly interacting with its mRNA transcripts. Overexpression of FRA1 has been observed in several cancers, including breast, lung, and pancreatic carcinomas, where it contributes to tumor invasiveness and resistance to apoptosis. This ZooMAb® recombinant monoclonal antibody, generated by our proprietary technology, offers significantly enhanced specificity, affinity, reproducibility, and stability over conventional monoclonals. (Ref: Khedri, A., et al., (2024), Int. J. Mol. Sci, 25(10); 5362).
We are committed to bringing you greener alternative products, which adhere to one or more of the 12 Principles of Green Chemistry. This antibody is preservative-free, produced without the harm or sacrifice of animals and exceptionally stable to allow for ambient shipping and storage if needed, and thus aligns with "Waste Prevention", "Designing Safer Chemicals" and "Design for Energy Efficiency". Click here for more information.

Immunogen

KLH-conjugated linear peptide corresponding to 22 amino acids from the N-terminal half of human FOSL1.

Application

Quality Control Testing

Evaluated by Western Blotting in L6 cell lysate.

Western Blotting Analysis: A 1:10,000 dilution of this antibody detected FOSL1 in L6 cell lysate.

Tested Applications

Western Blotting Analysis: A 1:10,000 dilution from a representative lot detected FOSL1 in U-87 MG cell, MDA-MB-231 cell, and NIH/3T3 cell lysates.

Immunocytochemistry Analysis: A 1:1,000 dilution from a representative lot detected FOSL1 in U-87 MG cells.

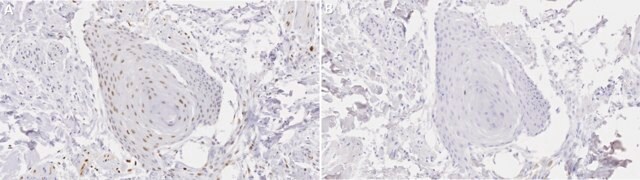
Immunohistochemistry (Paraffin) Analysis: A 1:100 dilution from a representative lot detected FOSL1 in human melanoma tissue sections.

Affinity Binding Assay: A representative lot of this antibody bound with FOSL1 peptide with at least one thousand-fold (1,000X) higher affinity than with non-specific control peptide.

Note: Actual optimal working dilutions must be determined by end user as specimens and experimental conditions may vary with the end user.

Biochem/physiol Actions

Clone 1D10 is a ZooMAb® rabbit recombinant monoclonal antibody that detects FOSL1. It targets an epitope within 22 amino acids from the N-terminal half.

Physical form

Purified recombinant rabbit monoclonal antibody IgG, lyophilized in PBS with 5% Trehalose, normal appearance a coarse or translucent resin. The PBS/trehalose components in the ZooMAb formulation can have the appearance of a semi-solid (bead like gel) after lyophilization. This is a normal phenomenon. Please follow the recommended reconstitution procedure in the data sheet to dissolve the semi-solid, bead-like, gel-appearing material. The resulting antibody solution is completely stable and functional as proven by full functional testing. Contains no biocide or preservatives, such as azide, or any animal by-products. Larger pack sizes provided as multiples of 25 µL.

Preparation Note

300 µg/mL after reconstitution at 25 µL per vial. Please refer to guidance on suggested starting dilutions and/or titers per application and sample type.
Recommend storage of lyophilized product at 2-8°C; Before reconstitution, micro-centrifuge vials briefly to spin down material to bottom of the vial; Reconstitute each vial by adding 25 µL of filtered lab grade water or PBS; Reconstituted antibodies can be stored at 2-8°C, or -20°C for long term storage. Avoid repeated freeze-thaws.

Legal Information

ZooMAb is a registered trademark of Merck KGaA, Darmstadt, Germany

Disclaimer

Unless otherwise stated in our catalog or other company documentation accompanying the product(s), our products are intended for research use only and are not to be used for any other purpose, which includes but is not limited to, unauthorized commercial uses, in vitro diagnostic uses, ex vivo or in vivo therapeutic uses or any type of consumption or application to humans or animals.


Still not finding the right product?

Try our Product Selector Tool to narrow your options


Storage Class

11 - Combustible Solids

flash_point_f

Not applicable

flash_point_c

Not applicable

Regulatory Information

新产品

This item has



Choose from one of the most recent versions:

Certificates of Analysis (COA)

Lot/Batch Number

Don't see the Right Version?

If you require a particular version, you can look up a specific certificate by the Lot or Batch number.

Already Own This Product?

Find documentation for the products that you have recently purchased in the Document Library.

Visit the Document Library



Global Trade Item Number

SKUGTIN
ZRB3379-25UL04065273707229
ZRB3379-4X25UL04065273707236