biological source
rabbit
antibody form
affinity isolated antibody
antibody product type
primary antibodies
clone
polyclonal
purified by
affinity chromatography
species reactivity
rhesus macaque, rat, human, mouse, pig, horse
species reactivity (predicted by homology)
equine (based on 100% sequence homology), porcine (based on 100% sequence homology), rhesus monkey (based on 100% sequence homology), canine (based on 100% sequence homology)
technique(s)
immunohistochemistry: suitable (paraffin), western blot: suitable
NCBI accession no.
UniProt accession no.
shipped in
wet ice
target post-translational modification
unmodified
Gene Information
human ... MEF2D(4209)
General description
Myocyte-specific enhancer factor 2D is a transcriptional activator belonging to the MEF2 family. MEF2D has two domains of interest; a MADS-box domain, and a Mef2-type DNA-binding domain specifically binding to 5′-YTA[AT]4TAR-3′, the MEF2 element, which is observed in several gene types such as growth factor, muscle-specific, and stress-induced genes. MEF2D regulates various cellular processes including those within cardiac and skeletal muscle development, neuronal survival and differentiation, as well as cell growth, apoptosis and survival. MEF2D, along with ERK5, plays a vital role in neuronal survival by regulating the anti-apoptotic molecule, bcl-w. There are 6 known isoforms of MEF2D resulting from alternative splicing.
Observed at ~ 54 kDa
Immunogen
KLH-conjugated linear peptide corresponding to human MEF2D.
Application
Anti-MEF2D Antibody is an antibody against MEF2D for use in WB, IH(P).
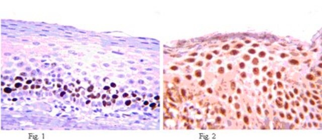
Immunohistochemistry Analysis: 1:300 dilution from a previous lot detected MEF2D in normal human breast skin and inflammatory skin tissue.
Research Category
Neuroscience
Neuroscience
Research Sub Category
Neurodegenerative Diseases
Neurodegenerative Diseases
Physical form
Affinity purified
Purified rabbit polyclonal in buffer containing 0.1 M Tris-Glycine (pH 7.4), 150 mM NaCl with 0.05% sodium azide.
Preparation Note
Stable for 1 year at 2-8°C from date of receipt.
Analysis Note
Control
L6 cell lysate
L6 cell lysate
Evaluated by Western Blot in L6 cell lysate.
Western Blot Analysis: 0.5 µg/mL of this antibody detected MEF2D on 10 µg of L6 cell lysate.
Western Blot Analysis: 0.5 µg/mL of this antibody detected MEF2D on 10 µg of L6 cell lysate.
Other Notes
Concentration: Please refer to the Certificate of Analysis for the lot-specific concentration.
Disclaimer
Unless otherwise stated in our catalog or other company documentation accompanying the product(s), our products are intended for research use only and are not to be used for any other purpose, which includes but is not limited to, unauthorized commercial uses, in vitro diagnostic uses, ex vivo or in vivo therapeutic uses or any type of consumption or application to humans or animals.
未找到合适的产品?
试试我们的产品选型工具.
存储类别
12 - Non Combustible Liquids
wgk
WGK 1
flash_point_f
Not applicable
flash_point_c
Not applicable
Kristina A Sharlo et al.
International journal of molecular sciences, 24(1) (2023-01-09)
Muscle unloading leads to signaling alterations that cause muscle atrophy and weakness. The cellular energy sensor AMPK can regulate myofiber-type shift, calcium-dependent signaling and ubiquitin-proteasome system markers. We hypothesized that the prevention of p-AMPK downregulation during the first week of
Inna I Paramonova et al.
Pharmaceuticals (Basel, Switzerland), 14(11) (2021-11-28)
It is well known that reduced contractile activity of the main postural soleus muscle during long-term bedrest, immobilization, hindlimb unloading, and space flight leads to increased expression of fast isoforms and decreased expression of the slow isoform of myosin heavy
Kristina A Sharlo et al.
International journal of molecular sciences, 22(3) (2021-02-13)
It was observed that gravitational unloading during space missions and simulated microgravity in ground-based studies leads to both transformation of slow-twitch muscle fibers into fast-twitch fibers and to the elimination of support afferentation, leading to the "switching-off" of postural muscle
P J Nicholls et al.
eNeuro, 9(5) (2023-01-14)
The protease caspase-3 is a key mediator of apoptotic programmed cell death. But weak or transient caspase activity can contribute to neuronal differentiation, axonal pathfinding, and synaptic long-term depression. Despite the importance of sublethal, or nonapoptotic, caspase activity in neurodevelopment
Fernando Josa-Prado et al.
PloS one, 14(2), e0212857-e0212857 (2019-02-23)
Protein SUMOylation regulates multiple processes involved in the differentiation and maturation of cells and tissues during development. Despite this, relatively little is known about the spatial and temporal regulation of proteins that mediate SUMOylation and deSUMOylation in the CNS. Here
我们的科学家团队拥有各种研究领域经验,包括生命科学、材料科学、化学合成、色谱、分析及许多其他领域.
联系客户支持