跳转至内容
Merck
CN

ABC342

Anti-KPNA2 Antibody

from rabbit, purified by affinity chromatography

别名:

Karyopherin alpha nucleoprotein interactor 2, Importin alpha2, IPOA1, RAG cohort protein 1, QIP2, Karyopherin subunit alpha-2, SRP1-alpha

登录 查看组织和合同定价。

选择尺寸

变更视图

关于此项目

UNSPSC Code:
12352203
NACRES:
NA.41
eCl@ss:
32160702
技术服务
需要帮助?我们经验丰富的科学家团队随时乐意为您服务。
让我们为您提供帮助

biological source

rabbit

antibody form

affinity isolated antibody

antibody product type

primary antibodies

clone

polyclonal

purified by

affinity chromatography

species reactivity

rat, human

technique(s)

immunohistochemistry: suitable, western blot: suitable

UniProt accession no.

shipped in

wet ice

target post-translational modification

unmodified

Gene Information

human ... KPNA2(3838)

General description

Karyopherin alpha nucleoprotein interactor 2 (KPNA2), also known as Importin alpha-2, RAG cohort protein 1 (RCH1), SRP1-alpha QIP2 (SRP1), is the alpha subunit 2 of karyopherin which functions as a cargo carrier that transports various complexes from cytoplasm into nucleus and forms a complex with importin subunit beta-1 and. KPNA2 is expressed ubiquitously and contains one IBB/importin beta domain, ten Armadillo repeats and three intervening nuclear localization sequences (NLSs). Recent studies have shown that KPNA2 plays an important role in tumorigenesis and tumor progression. KPNA2 is a heterodimer with KPNB1. It has been implied to interact with HIV-1 Vpr, PLAG1, ANP32E, ARL4A, CTNNBL1, NBN and APEX1 (via N-terminus). KPNA2 is also a component of a complex containing CSE1L, RAN and KPNA2 and interacts directly with CSE1L.
~55 kDa observed. Uncharacterized bands may appear in some lysate(s).

Immunogen

KLH-conjugated linear peptide corresponding to human KPNA2.

Application

Detect Importin using this rabbit polyclonal antibody, Anti-KPNA2 Antibody validated for use in western blotting & IHC.
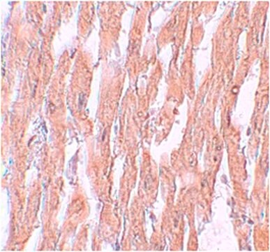
Immunohistochemistry Analysis: 5 µg/mL from a representative lot detected KPNA2 in human heart tissue.
Research Category
Apoptosis & Cancer
Research Sub Category
Apoptosis - Additional

Physical form

Antigen Affinity Purified
Purified rabbit polyclonal in buffer containing PBS with up to 0.1% sodium azide.

Preparation Note

Stable for 1 year at 2-8°C from date of receipt.

Analysis Note

Control
Rat heart tissue lysate
Evaluated by Western Blotting in rat heart tissue lysate.

Western Blotting Analysis: 2 µg/mL of this antibody detected KPNA2 in 15 µg of rat heart tissue lysate.

Other Notes

Concentration: Please refer to the Certificate of Analysis for the lot-specific concentration.

Disclaimer

Unless otherwise stated in our catalog or other company documentation accompanying the product(s), our products are intended for research use only and are not to be used for any other purpose, which includes but is not limited to, unauthorized commercial uses, in vitro diagnostic uses, ex vivo or in vivo therapeutic uses or any type of consumption or application to humans or animals.

未找到合适的产品?  

试试我们的产品选型工具.

存储类别

12 - Non Combustible Liquids

wgk

WGK 2

flash_point_f

Not applicable

flash_point_c

Not applicable


分析证书(COA)

输入产品批号来搜索 分析证书(COA) 。批号可以在产品标签上"批“ (Lot或Batch)字后找到。

已有该产品?

在文件库中查找您最近购买产品的文档。

访问文档库

我们的科学家团队拥有各种研究领域经验,包括生命科学、材料科学、化学合成、色谱、分析及许多其他领域.

联系客户支持