跳转至内容
Merck
CN

ABF206

Anti-TRIM5 alpha Antibody

from rabbit, purified by affinity chromatography

别名:

Tripartite motif-containing protein 5, RING finger protein 88

登录 查看组织和合同定价。

选择尺寸


关于此项目

UNSPSC Code:
12352203
NACRES:
NA.41
eCl@ss:
32160702
Conjugate:
unconjugated
Clone:
polyclonal
Application:
IF, IHC, WB
Citations:
1
技术服务
需要帮助?我们经验丰富的科学家团队随时乐意为您服务。
让我们为您提供帮助
技术服务
需要帮助?我们经验丰富的科学家团队随时乐意为您服务。
让我们为您提供帮助

biological source

rabbit

conjugate

unconjugated

antibody form

affinity isolated antibody

antibody product type

primary antibodies

clone

polyclonal

purified by

affinity chromatography

species reactivity

human

technique(s)

immunofluorescence: suitable, immunohistochemistry: suitable, western blot: suitable

UniProt accession no.

shipped in

wet ice

target post-translational modification

unmodified

Quality Level

Gene Information

human ... TRIM5(85363)

General description

Tripartite motif-containing protein 5 (TRIM5), also known as RING finger protein 88 (RNF88), is a member of the TRIM/RBCC family defined by the presence of a tripartite motif containing a RING domain, a B-box type 1, and a B-box type 2, followed by a coiled-coil region. TRIM5 has six alternately spliced isoforms, the longest of which is the alpha variant which also contains a carboxy-terminal B30.2 (SPRY) domain. TRIM5 isoform alpha is a retrovirus restriction factor, which mediates species-specific, early block to retrovirus infection.
~55 kDa observed. Uniprot describes 6 isoforms ranging between ~30 kDa and ~56 kDa Uncharacterized bands may appear in some lysates.

Immunogen

KLH-conjugated linear peptide corresponding to the intermediate domain of human TRIM5 alpha.

Application

Detect Tripartite motif-containing protein 5 using this rabbit polyclonal antibody, Anti-TRIM5 alpha Antibody validated for use in western blotting, IHC & Immunofluorescence.
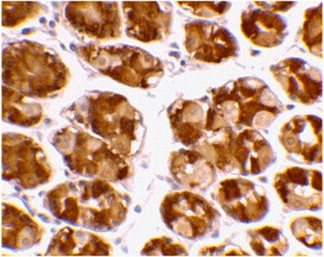
Immunohistochemistry Analysis: 2 µg/mL from a representative lot detected TRIM5 alpha in human stomach tissue.

Immunofluorescence Analysis: 10 µg/mL from a representative lot detected TRIM5 alpha in human stomach cells.

Biochem/physiol Actions

This antibody recognizes the intermediate domain of TRIM5 alpha.

Analysis Note

Control
Human stomach, thymus, and uterus tissue lysates
Evaluated by Western Blotting in human stomach, thymus, and uterus tissue lysates.

Western Blotting Analysis: 2 µg/mL of this antibody detected TRIM5 alpha in 15 µg of human stomach, thymus, and uterus tissue lysates.

Other Notes

Concentration: Please refer to the Certificate of Analysis for the lot-specific concentration.

未找到合适的产品?  

试试我们的产品选型工具.

存储类别

12 - Non Combustible Liquids

wgk

WGK 2

flash_point_f

Not applicable

flash_point_c

Not applicable


分析证书(COA)

输入产品批号来搜索 分析证书(COA) 。批号可以在产品标签上"批“ (Lot或Batch)字后找到。

已有该产品?

在文件库中查找您最近购买产品的文档。

访问文档库

Venkata Subba Rao Atluri et al.
Scientific reports, 6, 27864-27864 (2016-06-21)
We have observed significantly increased HIV infection in HIV infected macrophages in the presence of cocaine that could be due to the downregulation of BST2 restriction factor in these cells. In human inflammasome PCR array, among different involved in inflammasome

我们的科学家团队拥有各种研究领域经验,包括生命科学、材料科学、化学合成、色谱、分析及许多其他领域.

联系客户支持