跳转至内容
Merck
CN

ABN333

Anti-Neurotrypsin Antibody

from rabbit, purified by affinity chromatography

别名:

Neurotrypsin, Leydin, Motopsin, Serine protease 12

登录 查看组织和合同定价。

选择尺寸


关于此项目

UNSPSC Code:
12352203
NACRES:
NA.41
eCl@ss:
32160702
Conjugate:
unconjugated
Clone:
polyclonal
Application:
IHC, WB
Citations:
-
技术服务
需要帮助?我们经验丰富的科学家团队随时乐意为您服务。
让我们为您提供帮助
技术服务
需要帮助?我们经验丰富的科学家团队随时乐意为您服务。
让我们为您提供帮助

biological source

rabbit

conjugate

unconjugated

antibody form

affinity isolated antibody

antibody product type

primary antibodies

clone

polyclonal

purified by

affinity chromatography

species reactivity

mouse, human, rat

technique(s)

immunohistochemistry: suitable, western blot: suitable

UniProt accession no.

shipped in

wet ice

target post-translational modification

unmodified

Quality Level

General description

Neurotrypsin is a central nervous system-expressed serine protease whose truncation or absence causes nonsyndromic mental retardation. It is most prominently expressed in structures that are involved in the processing and storage of learned behavior and memory, such as the cerebral cortex, the hippocampus, and amygdala. Evidence suggests that neurotrypsin has multiple functions. These functions include axonal outgrowth, maintaining neuronal plasticity, and arranging the perineuronal environment, partly in coordination with other proteases including tissue plasminogen activator. At least two isoforms of neurotrypsin are known to exist.
~97 kDa observed. Uncharacterized bands may appear at ~13 kDa, ~38 kDa, and ~43 kDa in some lysates.

Immunogen

KLH-conjugated linear peptide corresponding to human Neurotrypsin.

Application

Detect the Neurotrypsin protein using this Anti-Neurotrypsin validated for use in WB & IHC.
Western Blot Analysis: 1 µg/mL from a representative lot detected Neurotrypsin in 10 µg/mL of rat testis tissue lysate.

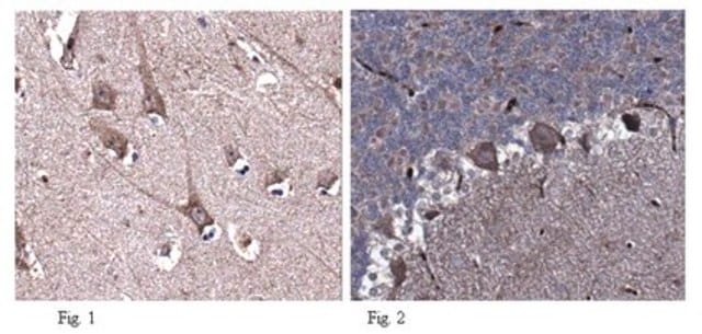
Immunohistochemistry Analysis: A 1:2,000 dilution from a representative lot detected Neurotrypsin in human midbrain and rat cerebellum tissues.

Analysis Note

Evaluated by Western Blot in mouse testis tissue lysate.

Western Blot Analysis: 1 µg/mL of this antibody detected Neurotrypsin in 10 µg/mL of mouse testis tissue lysate.

Other Notes

Concentration: Please refer to the Certificate of Analysis for the lot-specific concentration.

未找到合适的产品?  

试试我们的产品选型工具.

存储类别

12 - Non Combustible Liquids

wgk

WGK 2

flash_point_f

Not applicable

flash_point_c

Not applicable


分析证书(COA)

输入产品批号来搜索 分析证书(COA) 。批号可以在产品标签上"批“ (Lot或Batch)字后找到。

已有该产品?

在文件库中查找您最近购买产品的文档。

访问文档库

我们的科学家团队拥有各种研究领域经验,包括生命科学、材料科学、化学合成、色谱、分析及许多其他领域.

联系客户支持