biological source
rabbit
Quality Level
conjugate
unconjugated
antibody form
affinity isolated antibody
antibody product type
primary antibodies
clone
polyclonal
purified by
affinity chromatography
species reactivity
human, monkey
technique(s)
immunohistochemistry: suitable, western blot: suitable
NCBI accession no.
UniProt accession no.
shipped in
wet ice
target post-translational modification
unmodified
Gene Information
human ... ACAT2(39)
General description
Acyl-coenzyme A:cholesterol acyltransferase 2 (ACAT-2), also known as Sterol O-acyltransferase 2
(SOAT2), is a synthetic enzyme that is important in lipoprotein assembly, steroid metabolism, and dietary cholesterol metabolism and absorption. ACAT-2 is expressed primarily in the liver and intestine in enterocytes in their endoplasmic reticulum. ACAT-2 esterifies cholesterol allowing it to be more efficiently packaged and transported. Free cholesterol can be taken up by lipoproteins but it is confined to the outer surface of the lipoparticle. Esterification allows internal packaging and much more efficient transport through the blood stream. Gene expression of ACAT-2 is partially regulated by the transcriptional repressor TGIF1 as well as other factors such as thyroid hormone expression and microRNA miR181d.
(SOAT2), is a synthetic enzyme that is important in lipoprotein assembly, steroid metabolism, and dietary cholesterol metabolism and absorption. ACAT-2 is expressed primarily in the liver and intestine in enterocytes in their endoplasmic reticulum. ACAT-2 esterifies cholesterol allowing it to be more efficiently packaged and transported. Free cholesterol can be taken up by lipoproteins but it is confined to the outer surface of the lipoparticle. Esterification allows internal packaging and much more efficient transport through the blood stream. Gene expression of ACAT-2 is partially regulated by the transcriptional repressor TGIF1 as well as other factors such as thyroid hormone expression and microRNA miR181d.
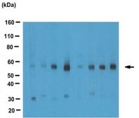
~ 55 kDa observed, uncharacterized bands may appear at lower molecular weight
Immunogen
Recombinant protein corresponding to Human ACAT-2.
Application
Immunocytochemistry Analysis: A representative lot detected ACAT-2 in human liver tissue (Parini, P., et al. (2004). Circulation. 2004;110:2017-2023).
Western Blot Analysis: A representative lot detected ACAT-2 in human liver lysate (Parini, P., et al. (2004). Circulation. 2004;110:2017-2023)
Western Blot Analysis: A representative lot detected ACAT-2 in human liver lysate (Parini, P., et al. (2004). Circulation. 2004;110:2017-2023)
Research Category
Signaling
Signaling
Research Sub Category
Lipid Metabolism & Weight Regulation
Lipid Metabolism & Weight Regulation
This Anti-ACAT-2 Antibody is validated for use in Western Blotting and Immunohistochemistry for the detection of ACAT-2.
Physical form
Antigen Affinity Purified
Purified rabbit Polyclonal in buffer containing 20 mM NaPO4, 28 mM NaCl and 0.05% sodium azide.
Preparation Note
Stable for 1 year at 2-8°C from date of receipt.
Analysis Note
Evaluated by Western Blotting in human lung tissue lysate using a non-reduced gel.
Western Blotting Analysis: A 1:1,000 dilution of this antibody detected ACAT-2 in 10 µg of human lung tissue lysate using a non-reduced gel
Western Blotting Analysis: A 1:1,000 dilution of this antibody detected ACAT-2 in 10 µg of human lung tissue lysate using a non-reduced gel
Other Notes
Concentration: Please refer to lot specific datasheet.
Disclaimer
Unless otherwise stated in our catalog or other company documentation accompanying the product(s), our products are intended for research use only and are not to be used for any other purpose, which includes but is not limited to, unauthorized commercial uses, in vitro diagnostic uses, ex vivo or in vivo therapeutic uses or any type of consumption or application to humans or animals.
Still not finding the right product?
试用我们的 产品选型工具 工具缩小选择范围
存储类别
10 - Combustible liquids
wgk
WGK 1
全球贸易项目编号
| 货号 | GTIN |
|---|---|
| ABS988 | 04053252993107 |