biological source
mouse
Quality Level
conjugate
unconjugated
antibody form
ascites fluid
antibody product type
primary antibodies
clone
1G5, monoclonal
species reactivity
mouse, human
technique(s)
immunofluorescence: suitable, immunohistochemistry: suitable, western blot: suitable
isotype
IgG1
UniProt accession no.
shipped in
wet ice
target post-translational modification
unmodified
Gene Information
human ... WIF1(11197)
General description
WIF1, also known as Wnt inhibitory factor 1 or WIF-1, is a secreted protein that binds to Wnt proteins and inhibits their activity. WNT proteins have been shown to act as an extracellular signaling molecules and may be involved in the control of embryonic development. WIf1 contains an N-terminal WIF domain and 5 epidermal growth factor (EGF)-like domains. It has been implied in recent sutyes that WIF1 expression is downregulated in many types of cancers.
~43 kDa observed. Uncharacterized bands may appear in some lysate(s).
Immunogen
Purified recombinant fragment of human WIF1 expressed in E. Coli.
Application
Anti-WIF1 Antibody, clone 1G5 is a highly specific mouse monoclonal antibody, that targets Wnt inhibitory factor 1 & has been tested in western blotting, IHC & Immunofluorescence.
Immunofluorescence Analysis: A 1:200-1,000 dilution from a representative lot detected WIF1 in HeLa cells.
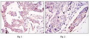
Immunohistochemistry Analysis: A 1:200-1,000 dilution from a representative lot detected WIF1 in human ovarian tumor and lung cancer tissues.
Optimal working dilutions must be determined by end user.
Immunohistochemistry Analysis: A 1:200-1,000 dilution from a representative lot detected WIF1 in human ovarian tumor and lung cancer tissues.
Optimal working dilutions must be determined by end user.
Research Category
Neuroscience
Neuroscience
Research Sub Category
Developmental Neuroscience
Developmental Neuroscience
Physical form
Mouse monoclonal IgG1 ascitic fluid containing up to 0.1% sodium azide.
Unpurified
Preparation Note
Stable for 1 year at -20°C from date of receipt.
Handling Recommendations: Upon receipt and prior to removing the cap, centrifuge the vial and gently mix the solution. Aliquot into microcentrifuge tubes and store at -20°C. Avoid repeated freeze/thaw cycles, which may damage IgG and affect product performance.
Handling Recommendations: Upon receipt and prior to removing the cap, centrifuge the vial and gently mix the solution. Aliquot into microcentrifuge tubes and store at -20°C. Avoid repeated freeze/thaw cycles, which may damage IgG and affect product performance.
Analysis Note
Control
HeLa, NIH/3T3 and NTERA-2 cell lysates
HeLa, NIH/3T3 and NTERA-2 cell lysates
Evaluated by Western Blotting in HeLa, NIH/3T3 and NTERA-2 cell lysates.
Western Blotting Analysis: A 1:500-2,000 dilution of this antibody detected WIF1 in HeLa, NIH/3T3 and NTERA-2 cell lysates.
Western Blotting Analysis: A 1:500-2,000 dilution of this antibody detected WIF1 in HeLa, NIH/3T3 and NTERA-2 cell lysates.
Disclaimer
Unless otherwise stated in our catalog or other company documentation accompanying the product(s), our products are intended for research use only and are not to be used for any other purpose, which includes but is not limited to, unauthorized commercial uses, in vitro diagnostic uses, ex vivo or in vivo therapeutic uses or any type of consumption or application to humans or animals.
Still not finding the right product?
试用我们的 产品选型工具 工具缩小选择范围
存储类别
12 - Non Combustible Liquids
wgk
nwg
flash_point_f
Not applicable
flash_point_c
Not applicable
Theresa A Reno et al.
BMC cancer, 16, 439-439 (2016-07-13)
The natural compound triptolide has been shown to decrease cell proliferation and induce apoptosis and cellular senescence. We previously demonstrated that triptolide decreases tumor formation and metastasis of human non-small cell lung cancer cells (NSCLC). Due to the toxicity of
全球贸易项目编号
| 货号 | GTIN |
|---|---|
| MABN722 | 04053252918568 |