跳转至内容
Merck
CN

MABS416

Anti-ABCG5, clone 1B5E10 Antibody

clone 1B5E10, from mouse

别名:

ATP-binding cassette sub-family G member 5, Sterolin-1, ABCG5

登录 查看组织和合同定价。

选择尺寸


关于此项目

UNSPSC Code:
12352203
NACRES:
NA.41
eCl@ss:
32160702
Conjugate:
unconjugated
Clone:
1B5E10, monoclonal
Application:
ELISA, FACS, IHC, WB
Citations:
-
技术服务
需要帮助?我们经验丰富的科学家团队随时乐意为您服务。
让我们为您提供帮助
技术服务
需要帮助?我们经验丰富的科学家团队随时乐意为您服务。
让我们为您提供帮助

biological source

mouse

conjugate

unconjugated

antibody form

purified antibody

antibody product type

primary antibodies

clone

1B5E10, monoclonal

species reactivity

human

technique(s)

ELISA: suitable, flow cytometry: suitable, immunohistochemistry: suitable, western blot: suitable

isotype

IgG1

UniProt accession no.

shipped in

wet ice

target post-translational modification

unmodified

Quality Level

Gene Information

human ... ABCG5(64240)

General description

ATP-binding cassette sub-family G member 5, also known as Sterolin-1, and encoded by the gene name ABCG5, plays an important role in the selective transport of the dietary cholesterol in and out of the enterocytes and in the selective sterol excretion by the liver into bile. ABCG5 is localized too the membrane and is expressed in the liver, lower levels in the small intestine and colon. Mutations associated with ABCG5 is Sitosterolemia, which is a rare autosomal recessive disorder characterized by increased intestinal absorption of all sterols including cholesterol, plant and shellfish sterols, and decreased biliary excretion of dietary sterols into bile.
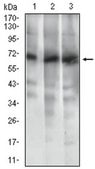
~70 kDa observed. Uncharacterized bands may be observed in some lysate(s).

Immunogen

Purified recombinant fragment of human ABCG5 expressed in E. Coli

Application

Anti-ABCG5, clone 1B5E10 Antibody is an antibody against ABCG5 for use in western blotting, IHC, flow cytometry & ELISA.
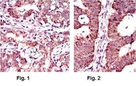
Immunohistochemistry Analysis: A 1:200-1,000 dilution from a representative lot detected ABCG5 in cervical and rectum cancer tissues.

Flow Cytometry Analysis: A 1:200-400 dilution from a representative lot detected ABCG5 in A549 cells.

ELISA: A representative lot detected control Antigen (100 ng) and Antigen (10 ng, 50 ng, 100 ng) in ELISA (Direct).

Physical form

Format: Purified

Analysis Note

Evaluated by Western Blotting in HL7702, Raji and Jurkat cell lysates.

Western Blotting Analysis: A 1:500-2,000 dilution of this antibody detected ABCG5 in HL7702, Raji and Jurkat cell lysates.

Other Notes

Concentration: Please refer to the Certificate of Analysis for the lot-specific concentration.
Replaces: MABN1076

未找到合适的产品?  

试试我们的产品选型工具.

存储类别

12 - Non Combustible Liquids

wgk

WGK 2

flash_point_f

Not applicable

flash_point_c

Not applicable

法规信息

新产品
此项目有

分析证书(COA)

输入产品批号来搜索 分析证书(COA) 。批号可以在产品标签上"批“ (Lot或Batch)字后找到。

已有该产品?

在文件库中查找您最近购买产品的文档。

访问文档库

我们的科学家团队拥有各种研究领域经验,包括生命科学、材料科学、化学合成、色谱、分析及许多其他领域.

联系客户支持