登录 查看组织和合同定价。
选择尺寸
关于此项目
NACRES:
NA.41
UNSPSC Code:
12352203
Conjugate:
unconjugated
Clone:
MRQ-11, monoclonal
Application:
immunohistochemistry (formalin-fixed, paraffin-embedded sections)
Species reactivity:
human
Citations:
5
Technique(s):
immunohistochemistry (formalin-fixed, paraffin-embedded sections): 1:10-1:50 (concentrated)
biological source
mouse
conjugate
unconjugated
antibody form
culture supernatant
antibody product type
primary antibodies
clone
MRQ-11, monoclonal
description
For In Vitro Diagnostic Use in Select Regions (See Chart)
form
buffered aqueous solution
species reactivity
human
packaging
vial of 0.1 mL concentrate (102M-14)
vial of 0.5 mL concentrate (102M-15)
bottle of 1.0 mL predilute (102M-17)
vial of 1.0 mL concentrate (102M-16)
bottle of 7.0 mL predilute (102M-18)
manufacturer/tradename
Cell Marque®
IVD
for in vitro diagnostic use
technique(s)
immunohistochemistry (formalin-fixed, paraffin-embedded sections): 1:10-1:50 (concentrated)
isotype
IgG1κ
control
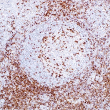
tonsil
shipped in
wet ice
storage temp.
2-8°C
visualization
cytoplasmic, membranous
Gene Information
human ... CD2(914)
Analysis Note
![]() IVD | ![]() IVD | ![]() IVD | ![]() RUO |
General description
CD2 is a surface antigen present in all peripheral T-cell lymphocytes. CD2 is associated with signaling and mediating adhesion to other T-cells through the lymphocyte function-associated antigen and CD48/BCM1 complex. Anti-CD2 is a useful immunohistochemical reagent for the identification of normal T-lymphocytes, and for assessing lymphoid malignancies.
Other Notes
CD2 Positive Control Slides, Product No. 102S, are available for immunohistochemistry (formalin-fixed, paraffin-embedded sections).
For Technical Service please contact: 800-665-7284 or email: service@cellmarque.com
Physical form
Solution in Tris Buffer, pH 7.3-7.7, with 1% BSA and <0.1% Sodium Azide
Preparation Note
Download the IFU specific to your product lot and formatNote: This requires a keycode which can be found on your packaging or product label.
Legal Information
Cell Marque is a registered trademark of Merck KGaA, Darmstadt, Germany
未找到合适的产品?
试试我们的产品选型工具.
法规信息
监管及禁止进口产品
此项目有
L González et al.
Journal of comparative pathology, 125(1), 41-47 (2001-07-05)
This report describes a method (fixation, paraffin wax-embedding and immunolabelling) for the demonstration of several immune system cell epitopes (CD1, CD2, CD4, CD8, CD14, CD21, CD45R, WC-1, 28 kDa surface antigen, immunoglobulins and MHC II antigens) in ovine lymph nodes
H J Bovenschen et al.
The British journal of dermatology, 153(1), 72-78 (2005-07-21)
T-cell infiltration in plaque psoriasis has recently been an important subject of investigation. Interestingly, comparative analyses of the disease-specific composition of the lesional T-cell infiltrate in plaque psoriasis and other inflammatory dermatoses have only sparsely been performed. To compare plaque
Carlos Barrionuevo et al.
Applied immunohistochemistry & molecular morphology : AIMM, 15(1), 38-44 (2007-06-01)
It is well known that extranodal NK/T-cell lymphoma (NK/TCL) nasal type clusters in Asian countries. A large series of 78 cases of nasal NK/TCL from Peru is analyzed in the present study. Two histologic groups 1 (monomorphic) and 2 (polymorphic)
Nadine S I Aguilera et al.
Archives of pathology & laboratory medicine, 130(12), 1772-1779 (2006-12-08)
Reed-Sternberg cells in classic Hodgkin lymphoma are enigmatic and difficult to study because they are so sparse. Tissue microdissection allows for the isolation of single Reed-Sternberg cells. Isolated Reed-Sternberg cells show clonal immunoglobulin gene rearrangement indicating a B-cell origin. Rarely
K A Foon et al.
Blood, 68(1), 1-31 (1986-07-01)
Important insights into leukocyte differentiation and the cellular origins of leukemia and lymphoma have been gained through the use of monoclonal antibodies that define cell surface antigens and molecular probes that identify immunoglobulin and T cell receptor genes. Results of
我们的科学家团队拥有各种研究领域经验,包括生命科学、材料科学、化学合成、色谱、分析及许多其他领域.
联系客户支持


