biological source
mouse
conjugate
unconjugated
antibody form
culture supernatant
antibody product type
primary antibodies
clone
B72.3, monoclonal
description
For In Vitro Diagnostic Use in Select Regions (See Chart)
form
buffered aqueous solution
species reactivity
human
packaging
vial of 0.1 mL concentrate (337M-84)
vial of 0.5 mL concentrate (337M-85)
bottle of 1.0 mL predilute (337M-87)
vial of 1.0 mL concentrate (337M-86)
bottle of 7.0 mL predilute (337M-88)
manufacturer/tradename
Cell Marque®
technique(s)
immunohistochemistry (formalin-fixed, paraffin-embedded sections): 1:100-1:500
isotype
IgG1κ
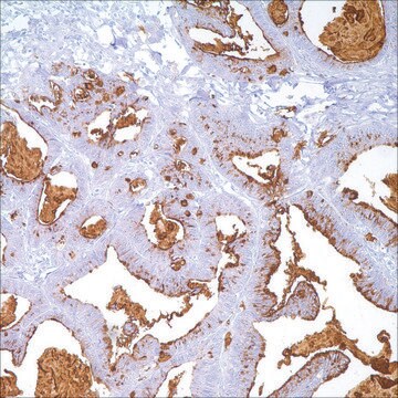
control
lung adenocarcinoma
shipped in
wet ice
storage temp.
2-8°C
visualization
cytoplasmic
Analysis Note
![]() IVD | ![]() IVD | ![]() IVD | ![]() RUO |
General description
Anti-B72.3 recognizes a high molecular weight glycoprotein called TAG-72 that is present in human adenocarcinomas and in lesser amounts, non-neoplastic tissues. It has also been found to be useful to distinguish between mesothelioma and adenocarcinoma, however, false positive reactions can occur so results must be interpreted with the utmost caution.
Other Notes
For Technical Service please contact: 800-665-7284 or email: service@cellmarque.com
TAG-72 Positive Control Slides, Product No. 337S, are available for immunohistochemistry (formalin-fixed, paraffin-embedded sections).
Physical form
Solution in Tris Buffer, pH 7.3-7.7, with 1% BSA and <0.1% Sodium Azide
Preparation Note
Download the IFU specific to your product lot and formatNote: This requires a keycode which can be found on your packaging or product label.
Legal Information
Cell Marque is a registered trademark of Merck KGaA, Darmstadt, Germany
未找到合适的产品?
试试我们的产品选型工具.
法规信息
监管及禁止进口产品
此项目有
K G Osteen et al.
International journal of gynecological pathology : official journal of the International Society of Gynecological Pathologists, 11(3), 216-220 (1992-07-01)
Compared with the degree of investigation of stage-specific expression of tumor-associated glycoprotein-72 (TAG-72) in fundal endometrium, other regions of the female reproductive tract have not received comparable attention. Regional, cell-type-specific, and temporal differences in estrogen receptor and progesterone receptor distribution
W W Johnston et al.
Human pathology, 17(5), 501-513 (1986-05-01)
Monoclonal antibody B72.3 has been shown to be reactive with a high-molecular-weight glycoprotein complex termed TAG(tumor-associated glycoprotein)-72. By the avidin-biotin immunoperoxidase method, fine needle aspirates and corresponding surgically excised tumor tissues from both malignant and benign tissues were analyzed for
T S Kline et al.
Cancer, 63(11), 2253-2256 (1989-06-01)
Monoclonal antibody B72.3 (MoAb B72.3) is a potentially valuable diagnostic adjunct when applied to aspiration biopsy cytology (ABC). In this prospective study, its reactivity was tested on the ABC from 25 breast lesions interpreted as suspicious. The stain was applied
A Thor et al.
Cancer research, 46(6), 3118-3124 (1986-06-01)
Murine monoclonal antibody B72.3, prepared against a membrane-enriched extract of human metastatic carcinoma, was reacted with a spectrum of adult and fetal human tissues using avidin-biotin-complex immunohistochemical techniques to evaluate the expression of the reactive tumor associated glycoprotein (TAG)-72 antigen.
David C Chhieng et al.
Human pathology, 34(10), 1016-1021 (2003-11-11)
Ovarian carcinoma has a high mortality rate, because most ovarian carcinomas are detected at a late stage. Traditional therapies, such as surgical debulking and chemotherapy, have not been successful in improving the long-term survival of these patients. Alternative therapies targeting
我们的科学家团队拥有各种研究领域经验,包括生命科学、材料科学、化学合成、色谱、分析及许多其他领域.
联系客户支持


