form
buffered aqueous solution
biological source
rabbit
conjugate
unconjugated
antibody form
culture supernatant
antibody product type
primary antibodies
clone
SP51, monoclonal
description
For In Vitro Diagnostic Use in Select Regions (See Chart)
species reactivity
human
packaging
vial of 0.1 mL concentrate (370R-14), vial of 0.5 mL concentrate (370R-15), bottle of 1.0 mL predilute (370R-17), vial of 1.0 mL concentrate (370R-16), bottle of 7.0 mL predilute (370R-18)
manufacturer/tradename
Cell Marque®
technique(s)
immunohistochemistry (formalin-fixed, paraffin-embedded sections): 1:500-1:2000
isotype
IgG
control
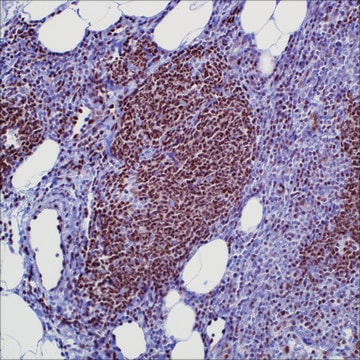
diffuse large B-cell, follicular lymphoma
shipped in
wet ice
storage temp.
2-8°C
visualization
nuclear
Gene Information
human ... LMO2(4005)
General description
LMO2 is expressed in normal germinal center B-cells and in a subset of lymphomas derived from those cells in addition to bone marrow hematopoietic precursors and endothelial cells. LMO2 protein expression has also been shown to play an important role in the diagnosis of diffuse large B-cell lymphomas, regardless of rituximab treatment. It also plays a role in angiogenesis and hematopoiesis. It is weakly expressed in mantle zone B-cells but not in mantle cell or marginal zone lymphomas. SF Younes et al. Have demonstrated LMO2 expression in 70% of follicular lymphomas. These data suggest that anti-LMO2 is a useful adjunct in the diagnosis of follicular lymphoma (FL). As LMO2 appears not to be down regulated in higher grade FL or the interfollicular and diffuse components of FL, its utility in variant immunoarchitectural patterns of FL and in cases that lack CD10 and bcl2, is similar to that of HGAL. One advantage of LMO2 is its crisp nuclear localization that allows for easier interpretation than diffuse cytoplasmic staining pattern.
Physical form
Solution in Tris Buffer, pH 7.3-7.7, with 1% BSA and <0.1% Sodium Azide
Preparation Note
Download the IFU specific to your product lot and formatNote: This requires a keycode which can be found on your packaging or product label.
Analysis Note
![]() IVD | ![]() IVD | ![]() IVD | ![]() RUO |
Other Notes
For Technical Service please contact: 800-665-7284 or email: service@cellmarque.com
LMO2 Positive Control Slides, Product No. 370S, are available for immunohistochemistry (formalin-fixed, paraffin-embedded sections).
Legal Information
Cell Marque is a registered trademark of Merck KGaA, Darmstadt, Germany
未找到合适的产品?
试试我们的产品选型工具.
存储类别
12 - Non Combustible Liquids
wgk
WGK 2
flash_point_f
Not applicable
flash_point_c
Not applicable
法规信息
监管及禁止进口产品
此项目有
Sheren F Younes et al.
The American journal of surgical pathology, 34(9), 1266-1276 (2010-08-11)
Follicular lymphoma (FL) can exhibit variant histologic patterns that can lead to confusion with other B-cell lymphomas and reactive conditions. Diagnostic markers such as CD10 and BCL2 may be difficult to interpret in variant FL patterns, and are often diminished
我们的科学家团队拥有各种研究领域经验,包括生命科学、材料科学、化学合成、色谱、分析及许多其他领域.
联系客户支持


