biological source
rabbit
conjugate
unconjugated
antibody form
culture supernatant
antibody product type
primary antibodies
clone
SP91, monoclonal
description
For In Vitro Diagnostic Use in Select Regions (See Chart)
form
buffered aqueous solution
species reactivity
human
packaging
vial of 0.1 mL concentrate (404R-14), vial of 0.5 mL concentrate (404R-15), bottle of 1.0 mL predilute (404R-17), vial of 1.0 mL concentrate (404R-16), bottle of 7.0 mL predilute (404R-18)
manufacturer/tradename
Cell Marque®
technique(s)
immunohistochemistry (formalin-fixed, paraffin-embedded sections): 1:50-1:200
isotype
IgG
control
lymph node, tonsil
shipped in
wet ice
storage temp.
2-8°C
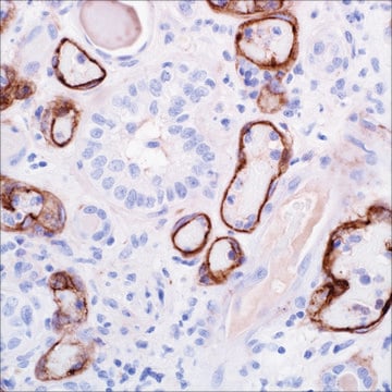
visualization
cytoplasmic, membranous
Gene Information
human ... C4B(721)
General description
Acute humoral rejection is mediated by antibodies to the donor endothelium that activates the classical complement pathway. This leads to a number of split products of complement proteins. C4d is a fragment of C4 complement released during activation of the classic complement pathway by the antigen-antibody complex. C4d deposits in peritubular capillaries and is regarded as an indirect sign of an antibody response. C4d can be a useful tool for indicating acute renal allograft rejection.
Physical form
Solution in Tris Buffer, pH 7.3-7.7, with 1% BSA and <0.1% Sodium Azide
Preparation Note
Download the IFU specific to your product lot and formatNote: This requires a keycode which can be found on your packaging or product label.
Analysis Note
![]() IVD | ![]() IVD | ![]() IVD | ![]() RUO |
Other Notes
For Technical Service please contact: 800-665-7284 or email: service@cellmarque.com
C4d Positive Control Slides, Product No. 404S, are available for immunohistochemistry (formalin-fixed, paraffin-embedded sections).
Legal Information
Cell Marque is a registered trademark of Merck KGaA, Darmstadt, Germany
未找到合适的产品?
试试我们的产品选型工具.
存储类别
12 - Non Combustible Liquids
wgk
WGK 2
flash_point_f
Not applicable
flash_point_c
Not applicable
法规信息
监管及禁止进口产品
此项目有
Christian A Seemayer et al.
Nephrology, dialysis, transplantation : official publication of the European Dialysis and Transplant Association - European Renal Association, 22(2), 568-576 (2006-12-14)
Detection of C4d along peritubular capillaries (PTC) in renal allograft biopsies is an independent prognostic marker of poor long-term graft survival. It is typically associated with circulating donor-specific antibodies. Since only little information is available on the best technique to
Gyongyi M Nadasdy et al.
Human pathology, 36(11), 1178-1185 (2005-11-02)
Detection of peritubular capillary (PTC) C4d deposition in tissue sections of renal allograft biopsies became an important aid in the diagnosis of antibody-mediated rejection. Pathologists in many major transplant centers now routinely stain renal allograft biopsies for C4d. Currently, there
Dorothée Bouron-Dal Soglio et al.
Human pathology, 39(7), 1103-1110 (2008-06-24)
C4d is a marker of the activated complement cascade used to assess the humoral component of rejection, mostly in kidney allograft transplants. The role of C4d deposition has recently been addressed in hepatic allograft but has never been tested in
Chen Jianghua et al.
Clinical transplantation, 19(6), 785-791 (2005-11-30)
To determine the diagnostic and clinical significance of C4d accumulation in renal allografts followed by acute rejection. A total of 158 graft biopsies performed from December 1997 to December 2002 were classified, according to the Banff-97 criteria, into hyperacute rejection
Liise K Kayler et al.
Transplantation, 85(6), 813-820 (2008-03-25)
Focal PTC C4d staining in acute renal allograft rejection has not been studied extensively. Renal allograft biopsies performed after October 2003, representing the first episode of acute rejection (AR) in recipients with > or = 12 months follow-up postbiopsy, were
我们的科学家团队拥有各种研究领域经验,包括生命科学、材料科学、化学合成、色谱、分析及许多其他领域.
联系客户支持


