跳转至内容
Merck
CN

AV32697

Anti-MEOX1 antibody produced in rabbit

affinity isolated antibody

别名:

Anti-Mesenchyme homeobox 1

登录 查看组织和合同定价。

选择尺寸

变更视图

关于此项目

NACRES:
NA.41
UNSPSC Code:
12352203
Conjugate:
unconjugated
Clone:
polyclonal
Application:
IHC, WB
Citations:
2
技术服务
需要帮助?我们经验丰富的科学家团队随时乐意为您服务。
让我们为您提供帮助


biological source

rabbit

Quality Level

conjugate

unconjugated

antibody form

affinity isolated antibody

antibody product type

primary antibodies

clone

polyclonal

form

buffered aqueous solution

mol wt

28 kDa

species reactivity

human

concentration

0.5 mg - 1 mg/mL

technique(s)

immunohistochemistry: suitable, western blot: suitable

NCBI accession no.

UniProt accession no.

shipped in

wet ice

storage temp.

−20°C

target post-translational modification

unmodified

Gene Information

human ... MEOX1(4222)

General description

MEOX1 is a homeobox transcription factor that regulates somite development. It is known to maintain sclerotome polarity and is also involved in axial skeleton formation. MEOX1 mutations have been linked to Klippel-Feil syndrome (KFS).
Rabbit Anti-MEOX1 bovine, canine, and human MEOX1.

Immunogen

Synthetic peptide directed towards the N terminal region of human MEOX1

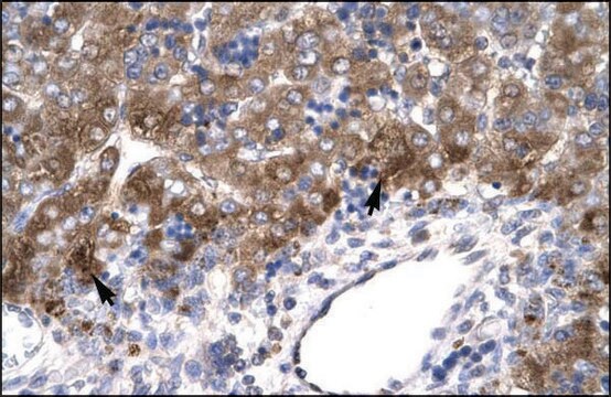
Application

Rabbit Anti-MEOX1 can be used for western blot applications at a concentration of 0.2-2.0μg/ml. It can also be used for IHC at 4-8μg/ml using paraffin-embedded tissues.

Biochem/physiol Actions

MEOX1 belongs to a family of nonclustered, diverged homeobox genes. It may play a role in regulating growth and differentiation.

Physical form

Purified antibody supplied in 1x PBS buffer with 0.09% (w/v) sodium azide and 2% sucrose.

Other Notes

Synthetic peptide located within the following region: YPPTPFSFHQKPDFLATATAAYPDFSASCLAATPHSLPQEEHIFTEQHPA

Disclaimer

Unless otherwise stated in our catalog or other company documentation accompanying the product(s), our products are intended for research use only and are not to be used for any other purpose, which includes but is not limited to, unauthorized commercial uses, in vitro diagnostic uses, ex vivo or in vivo therapeutic uses or any type of consumption or application to humans or animals.


Still not finding the right product?

Explore all of our products under

或者

试用我们的 产品选型工具 工具缩小选择范围


存储类别

10 - Combustible liquids

wgk

WGK 3

flash_point_f

Not applicable

flash_point_c

Not applicable

法规信息

常规特殊物品

此项目有



历史批次信息供参考:

分析证书(COA)

Lot/Batch Number

没有发现合适的版本?

如果您需要特殊版本,可通过批号或批次号查找具体证书。

已有该产品?

在文件库中查找您最近购买产品的文档。

访问文档库



Mutation in MEOX1 gene causes a recessive Klippel-Feil syndrome subtype.
Bayrakli F, et al. et al.
BMC Genetics (2013)
Susan Skuntz et al.
Developmental biology, 332(2), 383-395 (2009-06-13)
Meox1 and Meox2 are two related homeodomain transcription factor genes that together are essential for the development of all somite compartments. Here we show that mice homozygous for Meox1 mutations alone have abnormalities that are restricted to the sclerotome and



全球贸易项目编号

货号GTIN
AV32697-100UL04061836180355