生物来源
rabbit
质量水平
偶联物
unconjugated
抗体形式
affinity isolated antibody
抗体产品类型
primary antibodies
克隆
polyclonal
产品线
Prestige Antibodies® Powered by Atlas Antibodies
表单
buffered aqueous glycerol solution
种属反应性
human
增强验证
independent
recombinant expression
orthogonal RNAseq
Learn more about Antibody Enhanced Validation
技术
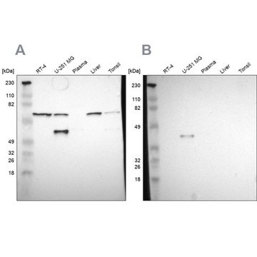
immunoblotting: 0.04-0.4 μg/mL
immunohistochemistry: 1:500-1:1000
免疫原序列
QEALPDETEVVEETVAEVTEVSVGANPVQVEVGEFDDGAEETEEEVVAENPCQNHHCKHGKVCELDENNTPMCVCQDPTSCPAPIGEFEKVCSNDNKTFDSSCHFFATKCTLEGTKKGHKLHLDY
UniProt登记号
运输
wet ice
储存温度
−20°C
靶向翻译后修饰
unmodified
基因信息
human ... SPARC(6678)
正在寻找类似产品? 访问 产品对比指南
免疫原
SPARC precursor recombinant protein epitope signature tag (PrEST)
应用
All Prestige Antibodies Powered by Atlas Antibodies are developed and validated by the Human Protein Atlas (HPA) project and as a result, are supported by the most extensive characterization in the industry.
The Human Protein Atlas project can be subdivided into three efforts: Human Tissue Atlas, Cancer Atlas, and Human Cell Atlas. The antibodies that have been generated in support of the Tissue and Cancer Atlas projects have been tested by immunohistochemistry against hundreds of normal and disease tissues and through the recent efforts of the Human Cell Atlas project, many have been characterized by immunofluorescence to map the human proteome not only at the tissue level but now at the subcellular level. These images and the collection of this vast data set can be viewed on the Human Protein Atlas (HPA) site by clicking on the Image Gallery link. We also provide Prestige Antibodies® protocols and other useful information.
The Human Protein Atlas project can be subdivided into three efforts: Human Tissue Atlas, Cancer Atlas, and Human Cell Atlas. The antibodies that have been generated in support of the Tissue and Cancer Atlas projects have been tested by immunohistochemistry against hundreds of normal and disease tissues and through the recent efforts of the Human Cell Atlas project, many have been characterized by immunofluorescence to map the human proteome not only at the tissue level but now at the subcellular level. These images and the collection of this vast data set can be viewed on the Human Protein Atlas (HPA) site by clicking on the Image Gallery link. We also provide Prestige Antibodies® protocols and other useful information.
特点和优势
Prestige Antibodies® are highly characterized and extensively validated antibodies with the added benefit of all available characterization data for each target being accessible via the Human Protein Atlas portal linked just below the product name at the top of this page. The uniqueness and low cross-reactivity of the Prestige Antibodies® to other proteins are due to a thorough selection of antigen regions, affinity purification, and stringent selection. Prestige antigen controls are available for every corresponding Prestige Antibody and can be found in the linkage section.
Every Prestige Antibody is tested in the following ways:
Every Prestige Antibody is tested in the following ways:
- IHC tissue array of 44 normal human tissues and 20 of the most common cancer type tissues.
- Protein array of 364 human recombinant protein fragments.
外形
Solution in phosphate-buffered saline, pH 7.2, containing 40% glycerol and 0.02% sodium azide
其他说明
Corresponding Antigen APREST84514
法律信息
Prestige Antibodies is a registered trademark of Merck KGaA, Darmstadt, Germany
免责声明
Unless otherwise stated in our catalog or other company documentation accompanying the product(s), our products are intended for research use only and are not to be used for any other purpose, which includes but is not limited to, unauthorized commercial uses, in vitro diagnostic uses, ex vivo or in vivo therapeutic uses or any type of consumption or application to humans or animals.
未找到合适的产品?
试试我们的产品选型工具.
储存分类代码
10 - Combustible liquids
WGK
WGK 1
闪点(°F)
Not applicable
闪点(°C)
Not applicable
个人防护装备
Eyeshields, Gloves, multi-purpose combination respirator cartridge (US)
法规信息
常规特殊物品
常规特殊物品
此项目有
Zhenguo Pan et al.
Molecular medicine reports, 23(4) (2021-02-13)
Colorectal cancer (CRC), one of the most common cancer types, causes a large number of cancer‑related mortalities annually worldwide. Dysregulated microRNAs (miRNAs/miR) are closely associated with the malignant progression of CRC. Therefore, the present study aimed to investigate the expression
Sei Kuriyama et al.
Frontiers in oncology, 12, 818182-818182 (2022-02-18)
Organ tropism of metastatic cells is not well understood. To determine the key factors involved in the selection of a specific organ upon metastasis, we established metastatic cell lines and analyzed their homing to specific tissues. Toward this, 143B osteosarcoma
Zhiyuan Hu et al.
Cancer cell, 37(2), 226-242 (2020-02-13)
The inter-differentiation between cell states promotes cancer cell survival under stress and fosters non-genetic heterogeneity (NGH). NGH is, therefore, a surrogate of tumor resilience but its quantification is confounded by genetic heterogeneity. Here we show that NGH in serous ovarian cancer
我们的科学家团队拥有各种研究领域经验,包括生命科学、材料科学、化学合成、色谱、分析及许多其他领域.
联系客户支持