biological source
rabbit
conjugate
unconjugated
antibody form
affinity isolated antibody
antibody product type
primary antibodies
clone
polyclonal
product line
Prestige Antibodies® Powered by Atlas Antibodies
form
buffered aqueous glycerol solution
species reactivity
human
enhanced validation
orthogonal RNAseq
Learn more about Antibody Enhanced Validation
technique(s)
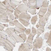
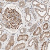
immunohistochemistry: 1:20- 1:50
immunogen sequence
GEITTFTALTEKFNLPPGNYKKPKLLYCSNGGHFLRILPDGTVDGTRDRSDQHTDTK
UniProt accession no.
application(s)
research pathology
shipped in
wet ice
storage temp.
−20°C
Gene Information
human ... FGF1(2246)
正在寻找类似产品? 访问 产品对比指南
General description
The gene FGF1 (fibroblast growth factor 1) is mapped to human chromosome 5q31. The protein encoded by this gene lacks signal peptides and is released from damaged cells. It may also be released by an exocytotic mechanism that is not related to the ER-Golgi pathway. The FGF gene family in humans is divided into seven subfamilies.
Immunogen
Heparin-binding growth factor 1 precursor recombinant protein epitope signature tag (PrEST)
Application
All Prestige Antibodies Powered by Atlas Antibodies are developed and validated by the Human Protein Atlas (HPA) project and as a result, are supported by the most extensive characterization in the industry.
The Human Protein Atlas project can be subdivided into three efforts: Human Tissue Atlas, Cancer Atlas, and Human Cell Atlas. The antibodies that have been generated in support of the Tissue and Cancer Atlas projects have been tested by immunohistochemistry against hundreds of normal and disease tissues and through the recent efforts of the Human Cell Atlas project, many have been characterized by immunofluorescence to map the human proteome not only at the tissue level but now at the subcellular level. These images and the collection of this vast data set can be viewed on the Human Protein Atlas (HPA) site by clicking on the Image Gallery link. We also provide Prestige Antibodies® protocols and other useful information.
The Human Protein Atlas project can be subdivided into three efforts: Human Tissue Atlas, Cancer Atlas, and Human Cell Atlas. The antibodies that have been generated in support of the Tissue and Cancer Atlas projects have been tested by immunohistochemistry against hundreds of normal and disease tissues and through the recent efforts of the Human Cell Atlas project, many have been characterized by immunofluorescence to map the human proteome not only at the tissue level but now at the subcellular level. These images and the collection of this vast data set can be viewed on the Human Protein Atlas (HPA) site by clicking on the Image Gallery link. We also provide Prestige Antibodies® protocols and other useful information.
Biochem/physiol Actions
FGF1 (fibroblast growth factor 1) gene encodes a protein belonging to the fibroblast growth factor family of proteins that are essential for mammalian development. It is involved in the mesodermal induction, neurulation, and the formation of the circulatory and skeletal systems during embryogenesis. FGF1 and FGF2 function in several biological processes including angiogenesis, regeneration of tissue, inflammation and the formation of some tumors.
Features and Benefits
Prestige Antibodies® are highly characterized and extensively validated antibodies with the added benefit of all available characterization data for each target being accessible via the Human Protein Atlas portal linked just below the product name at the top of this page. The uniqueness and low cross-reactivity of the Prestige Antibodies® to other proteins are due to a thorough selection of antigen regions, affinity purification, and stringent selection. Prestige antigen controls are available for every corresponding Prestige Antibody and can be found in the linkage section.
Every Prestige Antibody is tested in the following ways:
Every Prestige Antibody is tested in the following ways:
- IHC tissue array of 44 normal human tissues and 20 of the most common cancer type tissues.
- Protein array of 364 human recombinant protein fragments.
Physical form
Solution in phosphate-buffered saline, pH 7.2, containing 40% glycerol and 0.02% sodium azide
Other Notes
Corresponding Antigen APREST85210.
Legal Information
Prestige Antibodies is a registered trademark of Merck KGaA, Darmstadt, Germany
Disclaimer
Unless otherwise stated in our catalog or other company documentation accompanying the product(s), our products are intended for research use only and are not to be used for any other purpose, which includes but is not limited to, unauthorized commercial uses, in vitro diagnostic uses, ex vivo or in vivo therapeutic uses or any type of consumption or application to humans or animals.
未找到合适的产品?
试试我们的产品选型工具.
存储类别
10 - Combustible liquids
wgk
WGK 1
flash_point_f
Not applicable
flash_point_c
Not applicable
ppe
Eyeshields, Gloves, multi-purpose combination respirator cartridge (US)
法规信息
新产品
此项目有
Igor Prudovsky et al.
Journal of cell science, 116(Pt 24), 4871-4881 (2003-11-20)
Non-classical protein release independent of the ER-Golgi pathway has been reported for an increasing number of proteins lacking an N-terminal signal sequence. The export of FGF1 and IL-1alpha, two pro-angiogenic polypeptides, provides two such examples. In both cases, export is
Nobuyuki Itoh et al.
Trends in genetics : TIG, 20(11), 563-569 (2004-10-12)
Fibroblast growth factors (Fgfs) and Fgf receptors (Fgfrs) comprise a signaling system that is conserved throughout metazoan evolution. Twenty-two Fgfs and four Fgfrs have been identified in humans and mice. During evolution, the Fgf family appears to have expanded in
商品
Glycosaminoglycans are large linear polysaccharides constructed of repeating disaccharide units.
我们的科学家团队拥有各种研究领域经验,包括生命科学、材料科学、化学合成、色谱、分析及许多其他领域.
联系客户支持