生物来源
rabbit
偶联物
unconjugated
抗体形式
affinity isolated antibody
抗体产品类型
primary antibodies
克隆
polyclonal
产品线
Prestige Antibodies® Powered by Atlas Antibodies
表单
buffered aqueous glycerol solution
种属反应性
human
增强验证
independent
orthogonal RNAseq
Learn more about Antibody Enhanced Validation
技术
immunohistochemistry: 1:500- 1:1000
免疫原序列
DHHATNGVVHLIDKVISTITNNIQQIIEIEDTFETLRAAVAASGLNTMLEGNGQYTLLAPTNEAFEKIPSETLNRILGDPEALRDLLNNHILKSAMCAEAIVAGLSVETLEGTTLEVGCSGDMLTINGKAIISNKD
UniProt登记号
应用
research pathology
运输
wet ice
储存温度
−20°C
靶向翻译后修饰
unmodified
基因信息
human ... TGFBI(7045)
一般描述
TGFBI (transforming growth factor β induced) is a secretory protein, the secretion of which is induced by TGFβ in fibroblasts. It was first recognized in TGFβ-treated human lung adenocarcinoma cell line (A549). It is a highly conserved 68kDa protein, composed of 683 amino acids. It is predominantly expressed by fibroblasts, muscle cells and keratinocytes.
免疫原
Transforming growth factor-beta-induced protein ig-h3 precursor recombinant protein epitope signature tag (PrEST)
应用
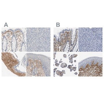
Anti-TGFBI antibody produced in rabbit, a Prestige Antibody, is developed and validated by the Human Protein Atlas (HPA) project . Each antibody is tested by immunohistochemistry against hundreds of normal and disease tissues. These images can be viewed on the Human Protein Atlas (HPA) site by clicking on the Image Gallery link. The antibodies are also tested using immunofluorescence and western blotting. To view these protocols and other useful information about Prestige Antibodies and the HPA, visit sigma.com/prestige.
生化/生理作用
TGFBI (transforming growth factor β induced) in involved in the initiation of morphongensis, inflammation, cell division, adhesion, proliferation, migration and differentiation. It acts as linker protein mediating the interaction of integrin to ECM (extracellular matrix) proteins. It is up-regulated in multiple human cancers, such as colorectal cancer, where its expression is linked to poor prognosis. It acts as a regulator of cyclins and CDKs (cyclin dependent kinases) in melanomas, and is highly secreted by metastatic melanoma cell. Thus, it facilitates growth and survival in metastatic melanoma cells. In HBV (hepatitis B virus)-related HCC (hepatocellular carcinoma), the aberrant expression of this protein is linked to the oncogenic potential of HBV S gene.
特点和优势
Prestige Antibodies® are highly characterized and extensively validated antibodies with the added benefit of all available characterization data for each target being accessible via the Human Protein Atlas portal linked just below the product name at the top of this page. The uniqueness and low cross-reactivity of the Prestige Antibodies® to other proteins are due to a thorough selection of antigen regions, affinity purification, and stringent selection. Prestige antigen controls are available for every corresponding Prestige Antibody and can be found in the linkage section.
Every Prestige Antibody is tested in the following ways:
Every Prestige Antibody is tested in the following ways:
- IHC tissue array of 44 normal human tissues and 20 of the most common cancer type tissues.
- Protein array of 364 human recombinant protein fragments.
外形
Solution in phosphate-buffered saline, pH 7.2, containing 40% glycerol and 0.02% sodium azide
其他说明
Corresponding Antigen APREST71267
法律信息
Prestige Antibodies is a registered trademark of Merck KGaA, Darmstadt, Germany
免责声明
Unless otherwise stated in our catalog or other company documentation accompanying the product(s), our products are intended for research use only and are not to be used for any other purpose, which includes but is not limited to, unauthorized commercial uses, in vitro diagnostic uses, ex vivo or in vivo therapeutic uses or any type of consumption or application to humans or animals.
未找到合适的产品?
试试我们的产品选型工具.
储存分类代码
10 - Combustible liquids
WGK
WGK 1
闪点(°F)
Not applicable
闪点(°C)
Not applicable
个人防护装备
Eyeshields, Gloves, multi-purpose combination respirator cartridge (US)
法规信息
常规特殊物品
此项目有
Jing Zhu et al.
International journal of clinical and experimental pathology, 8(1), 702-710 (2015-03-11)
Transforming growth factor-beta-induced (TGFBI) serves as a linker protein and plays a role in the activation of morphogenesis, cell proliferation, adhesion, migration, differentiation and inflammation. High expression levels of the human TGFBI gene are correlated with numerous human malignancies. In
Sophie Bachy et al.
iScience, 25(2), 103758-103758 (2022-02-12)
Macrophages play an important role in immune and matrix regulation during pancreatic adenocarcinoma (PDAC). Collagen deposition massively contributes to the physical and functional changes of the tissue during pathogenesis. We investigated the impact of thick collagen fibers on the phenotype
Laura Lauden et al.
The Journal of investigative dermatology, 134(6), 1675-1685 (2014-02-07)
Tumor-produced extracellular matrix (ECM) proteins can be key elements in tumor growth and metastasis. Transforming growth factor beta-inducible (TGFBI) protein is a secreted ECM component that can have dual function in cancer, acting as tumor suppressor or promoter. Although TGFBI
Abraham Kuot et al.
European journal of human genetics : EJHG, 20(6), 632-638 (2012-01-12)
Fuchs' endothelial dystrophy (FED) is a disease affecting the corneal endothelium. Recent studies reported significant association of polymorphisms in the TCF4 (transcription factor 4) gene, and a borderline association of PTPRG (protein tyrosine phosphatase, receptor type, G) variants with late-onset
Shih Sheng Jiang et al.
Biochimica et biophysica acta, 1842(7), 1080-1087 (2014-03-26)
The nonsense mutations of the hepatitis B virus (HBV) surface (S) gene have been reported to have oncogenic potential. We have previously identified several transforming nonsense mutations of the HBV S gene from hepatocarcinoma (HCC) patients. Among them, the sW182*
我们的科学家团队拥有各种研究领域经验,包括生命科学、材料科学、化学合成、色谱、分析及许多其他领域.
联系客户支持