跳转至内容
Merck
CN

HPA040967

抗-DNAJB9 兔抗

Prestige Antibodies® Powered by Atlas Antibodies, affinity isolated antibody, buffered aqueous glycerol solution

别名:

抗-DnaJ(hsp40)同源物,亚家族b,成员9, 抗-Mdg1

登录 查看组织和合同定价。

选择尺寸


关于此项目

UNSPSC Code:
12352203
Human Protein Atlas Number:
Conjugate:
unconjugated
Clone:
polyclonal
Application:
IHC
Citations:
6
技术服务
需要帮助?我们经验丰富的科学家团队随时乐意为您服务。
让我们为您提供帮助
技术服务
需要帮助?我们经验丰富的科学家团队随时乐意为您服务。
让我们为您提供帮助

biological source

rabbit

conjugate

unconjugated

antibody form

affinity isolated antibody

antibody product type

primary antibodies

clone

polyclonal

product line

Prestige Antibodies® Powered by Atlas Antibodies

form

buffered aqueous glycerol solution

species reactivity

human

technique(s)

immunohistochemistry: 1:50-1:200

immunogen sequence

GGSSRQRHHFQEFSFGGGLFDDMFEDMEKMFSFSGFDSTNQHTVQTENRFHGSSKHCRTVTQRRGNMVTTYTDCSGQ

UniProt accession no.

shipped in

wet ice

storage temp.

−20°C

target post-translational modification

unmodified

Gene Information

human ... DNAJB9(4189)

正在寻找类似产品? 访问 产品对比指南

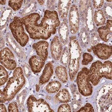
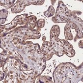
General description

DnaJ同源物亚家族B成员9(DNAJB9)属于分子伴侣基因家族。它也称为Mdg-1或ERdj4。该蛋白位于内质网(ER)中。DNAJB9位于人染色体7q31。

Immunogen

DnaJ(Hsp40)同源物,亚家族B,成员9重组蛋白表位标签(PrEST)

Application

抗-DNAJB9抗体可用于免疫组化。
由Atlas Antibodies提供技术支持的所有Prestige Antibodies抗体均由人类蛋白质图集(HPA)项目开发和验证,因此受到业内最广泛的表征支持。

人类蛋白质图集项目可以分为三大部分: 人体组织图谱、癌症图谱和人类细胞图谱。在组织和癌症图谱项目支持下产生的抗体已通过对数百种正常和疾病组织的免疫组织化学分析得到了验证,并且通过近期人类细胞图谱项目的努力,许多抗体已经过免疫荧光分析的表征,从而绘制人类蛋白质组图谱,不仅是在组织水平上,现在已经达到亚细胞水平。在人类蛋白质图集项目网站上单击图像库链接,可以查看这些图像和庞大的数据集。我们还提供Prestige Antibodies® 抗体的实验方案和其他有用信息。

Biochem/physiol Actions

DnaJ同源物亚家族B成员9(DNAJB9)在内质网(ER)应激时充当诱导基因。与Hsp70s的相互作用需要DNAJB9的J域。它被认为是纤维性肾小球肾炎的特异性免疫组织化学标记。

Features and Benefits

Prestige Antibodies®是经过高度表征和广泛验证的抗体,同时还有一个优点是其每个靶标的所有可用表征数据都可以通过位于此页面顶部产品名称下方的人类蛋白质图谱门户进行访问。Prestige Antibodies®对其他蛋白质的独特性和低交叉反应性是通过严密的抗原区域选择、亲和纯化和严格的选择来实现的。每种Prestige 抗体都有相应的Prestige 抗原对照品,可在链接部分找到。

每种Prestige 抗体的检测方法如下:
  • 44种正常人体组织和20种最常见癌症组织的IHC组织阵列。
  • 364个人重组蛋白片段的蛋白阵列。

Physical form

磷酸盐缓冲盐水溶液,pH 7.2,含有40%甘油和0.02%叠氮化钠

Other Notes

对应抗原APREST81907

Legal Information

Prestige Antibodies is a registered trademark of Merck KGaA, Darmstadt, Germany

Disclaimer

除非我们的产品目录或产品附带的其他公司文档另有说明,否则我们的产品仅供研究使用,不得用于任何其他目的,包括但不限于未经授权的商业用途、体外诊断用途、离体或体内治疗用途或任何类型的消费或应用于人类或动物。

未找到合适的产品?  

试试我们的产品选型工具.

存储类别

10 - Combustible liquids

wgk

WGK 1

法规信息

低风险生物材料
常规特殊物品
此项目有

历史批次信息供参考:

分析证书(COA)

Lot/Batch Number

没有发现合适的版本?

如果您需要特殊版本,可通过批号或批次号查找具体证书。

已有该产品?

在文件库中查找您最近购买产品的文档。

访问文档库

Samih H Nasr et al.
Kidney international reports, 3(1), 56-64 (2018-01-18)
Fibrillary glomerulonephritis (FGN) is a rare disease with unknown pathogenesis and a poor prognosis. Until now, the diagnosis of this disease has required demonstration of glomerular deposition of randomly oriented fibrils by electron microscopy that are Congo red negative and
Surendra Dasari et al.
Journal of the American Society of Nephrology : JASN, 29(1), 51-56 (2017-11-04)
Fibrillary GN (FGN) is a rare primary glomerular disease. Histologic and histochemical features of FGN overlap with those of other glomerular diseases, and no unique histologic biomarkers for diagnosing FGN have been identified. We analyzed the proteomic content of glomeruli
DNAJB9 is a specific immunohistochemical marker for fibrillary glomerulonephritis.
Nasr SH, et al.
Kidney international reports, 3(1), 56-64 (2018)
MDG1/ERdj4, an ER?resident DnaJ family member, suppresses cell death induced by ER stress.
Kurisu J, et al.
Genes Cells, 8(2), 189-202 (2003)
Sanghwa Yang
International journal of molecular medicine, 20(2), 225-231 (2007-07-06)
Genetic aberrations at chromosome 7 are known to be related with diverse human diseases, including cancer and autism. In a number of cancer research areas involving gastric cancer, several comparative genomic hybridization studies employing metaphase chromosome or BAC clone microarrays

我们的科学家团队拥有各种研究领域经验,包括生命科学、材料科学、化学合成、色谱、分析及许多其他领域.

联系客户支持