跳转至内容
Merck
CN

P0050

Anti-Peroxiredoxin 6 (N-terminal) antibody produced in rabbit

~1.0 mg/mL, affinity isolated antibody, buffered aqueous solution

别名:

Anti-1-Cys peroxiredoxin; acidic calcium-independent phospholipase A2, Anti-Antioxidant protein 2, Anti-NSGPx, Anti-Non-selenium glutathione peroxidase, AOP2, Anti-P29, Anti-PRDX6, Anti-PRX, Anti-aiPLA2

登录 查看组织和合同定价。

选择尺寸

变更视图

关于此项目

NACRES:
NA.41
UNSPSC Code:
12352203
Conjugate:
unconjugated
Clone:
polyclonal
Application:
IP, WB
Citations:
3
技术服务
需要帮助?我们经验丰富的科学家团队随时乐意为您服务。
让我们为您提供帮助

biological source

rabbit

conjugate

unconjugated

antibody form

affinity isolated antibody

antibody product type

primary antibodies

clone

polyclonal

form

buffered aqueous solution

mol wt

antigen ~25 kDa

species reactivity

human, mouse, rat

packaging

antibody small pack of 25 μL

concentration

~1.0 mg/mL

technique(s)

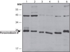
immunoprecipitation (IP): 5-10 μg using lysate of mouse brain, western blot: 2-5 μg/mL using whole extract of human HeLa cells, western blot: 5-10 μg/mL using whole extract of rat liver

UniProt accession no.

shipped in

dry ice

storage temp.

−20°C

target post-translational modification

unmodified

Gene Information

human ... PRDX6(9588)
mouse ... Prdx6(11758)
rat ... Prdx6(94167)

General description

Peroxiredoxin 6 (1-Cys peroxiredoxin), is a member of the thiol-specific antioxidant peroxiredoxin family. Six mammalian peroxiredoxins have been identified. Peroxiredoxin 6 is the only one that contains a single redox-active cysteine and uses glutathione to catalyze the reduction of H2O2 and other organic peroxides. It is expressed in all tissues with the highest levels in the lung.

Application

The antibody has been used in several immunochemical techniques including immunoblotting and immunoprecipitation.

Biochem/physiol Actions

Peroxiredoxins are peroxidases, with the use of reducing equivalents provided by thiol-containing proteins that reduce hydrogen peroxide (H2O2) to water and alkyl hydroperoxides to alcohol. Peroxiredoxin 6 is a bifunctional enzyme with peroxidase and phospholipase A2 activities. Overexpression of peroxiredoxin 6 in cells protects them against oxidative damage, whereas knockdown of this enzyme results in oxidative stress and apoptosis. The phospholipase A2 activity plays an important role in surfactant homeostasis. Peroxiredoxin 6 is a major antioxidant enzyme which functions in antioxidant defense and lung phospholipid metabolism.

Physical form

Solution in 0.01 M phosphate buffered saline, pH 7.4, containing 15 mM sodium azide.

Disclaimer

Unless otherwise stated in our catalog or other company documentation accompanying the product(s), our products are intended for research use only and are not to be used for any other purpose, which includes but is not limited to, unauthorized commercial uses, in vitro diagnostic uses, ex vivo or in vivo therapeutic uses or any type of consumption or application to humans or animals.

未找到合适的产品?  

试试我们的产品选型工具.

存储类别

10 - Combustible liquids

flash_point_f

Not applicable

flash_point_c

Not applicable

ppe

Eyeshields, Gloves, multi-purpose combination respirator cartridge (US)

法规信息

新产品

此项目有


历史批次信息供参考:

分析证书(COA)

Lot/Batch Number

没有发现合适的版本?

如果您需要特殊版本,可通过批号或批次号查找具体证书。

已有该产品?

在文件库中查找您最近购买产品的文档。

访问文档库

1-Cys Peroxiredoxin, a Bifunctional Enzyme with Glutathione Peroxidase and Phospholipase A2 Activities
Chen JW, et al.
The Journal of biological chemistry, 275(37), 28421-28427 (2000)
Hyun Ae Woo et al.
The Journal of biological chemistry, 278(48), 47361-47364 (2003-10-16)
We previously suggested that oxidation of the active site cysteine of peroxiredoxin (Prx) I or Prx II to cysteine sulfinic acid in H2O2-treated cells is reversible (Woo, H. A., Chae, H. Z., Hwang, S. C., Yang, K.-S., Kang, S. W.
Yefim Manevich et al.
Free radical biology & medicine, 38(11), 1422-1432 (2005-05-14)
Peroxiredoxin 6 (Prdx6), a bifunctional 25-kDa protein with both GSH peroxidase and phospholipase A2 activities, is the only mammalian 1-Cys member of the peroxiredoxin superfamily and is expressed in all major organs, with a particularly high level in lung. Prdx6

相关内容

Instructions

全球贸易项目编号

货号GTIN
P0050-200UL04061838032140
P0050-25UL04061838032157

我们的科学家团队拥有各种研究领域经验,包括生命科学、材料科学、化学合成、色谱、分析及许多其他领域.

联系客户支持