跳转至内容
Merck
CN

SAB4300021

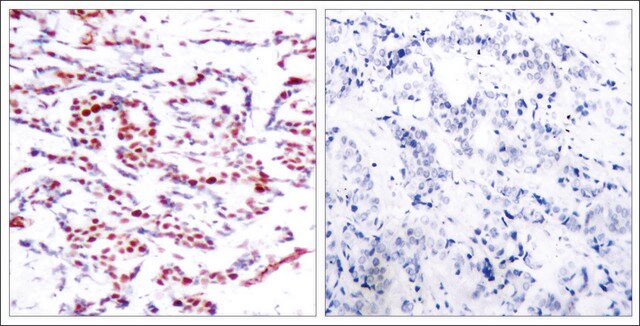
Anti-phospho-ATF2 (pThr71 or pThr53) antibody produced in rabbit

affinity isolated antibody

别名:

Anti-CRE-BP1 antibody produced in rabbit, Anti-CREB2 antibody produced in rabbit, Anti-HB16 antibody produced in rabbit, Anti-MGC111558 antibody produced in rabbit, Anti-activating transcription factor 2 antibody produced in rabbit

登录 查看组织和合同定价。

选择尺寸


关于此项目

NACRES:
NA.41
UNSPSC Code:
12352203
Conjugate:
unconjugated
Clone:
polyclonal
Application:
IHC (p), WB
Citations:
-
技术服务
需要帮助?我们经验丰富的科学家团队随时乐意为您服务。
让我们为您提供帮助
技术服务
需要帮助?我们经验丰富的科学家团队随时乐意为您服务。
让我们为您提供帮助

biological source

rabbit

conjugate

unconjugated

antibody form

affinity isolated antibody

antibody product type

primary antibodies

clone

polyclonal

form

buffered aqueous solution

mol wt

65-75 kDa

species reactivity

human, mouse, rat

concentration

1 mg/mL

technique(s)

immunohistochemistry (formalin-fixed, paraffin-embedded sections): 1:50-1:100, western blot: 1:500-1:1000

isotype

IgG

immunogen sequence

(T-P-TP-P-T)

NCBI accession no.

UniProt accession no.

shipped in

wet ice

storage temp.

−20°C

target post-translational modification

phosphorylation (pThr71/pThr53)

Gene Information

human ... ATF2(1386)

General description

Transcriptional activator, probably constitutive, which binds to the cAMP-responsive element (CRE) (consensus: 5'-GTGACGT[AC][AG]-3'), a sequence present in many viral and cellular promoters. Interaction with JUN redirects JUN to bind to CRES preferentially over the 12-O-tetradecanoylphorbol-13-acetate response elements (TRES) as part of an ATF2-c-Jun complex.

Immunogen

Peptide sequence around phosphorylation site of threonine 71 or 53 (T-P-T(p)-P-T), according to the protein ATF2.

Features and Benefits

Evaluate our antibodies with complete peace of mind. If the antibody does not perform in your application, we will issue a full credit or replacement antibody. Learn more.

Physical form

Solution in phosphate-buffered saline containing 0.02% sodium azide and 50% glycerol

未找到合适的产品?  

试试我们的产品选型工具.

存储类别

10 - Combustible liquids

wgk

WGK 1

flash_point_f

Not applicable

flash_point_c

Not applicable

法规信息

新产品
此项目有

历史批次信息供参考:

分析证书(COA)

Lot/Batch Number

没有发现合适的版本?

如果您需要特殊版本,可通过批号或批次号查找具体证书。

已有该产品?

在文件库中查找您最近购买产品的文档。

访问文档库

我们的科学家团队拥有各种研究领域经验,包括生命科学、材料科学、化学合成、色谱、分析及许多其他领域.

联系客户支持