跳转至内容
Merck
CN

SAB4502423

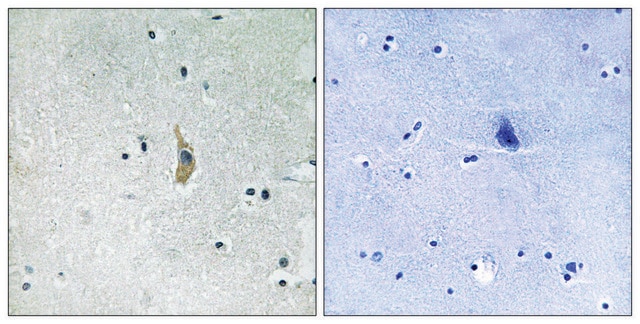
Anti-PSEN1 antibody produced in rabbit

affinity isolated antibody

别名:

AD3, AD3H, PS-1, PS1, presenilin 1

登录 查看组织和合同定价。

选择尺寸

变更视图

关于此项目

UNSPSC Code:
12352203
NACRES:
NA.41
MDL number:
Conjugate:
unconjugated
Clone:
polyclonal
Application:
ELISA, IHC, WB
Citations:
2
技术服务
需要帮助?我们经验丰富的科学家团队随时乐意为您服务。
让我们为您提供帮助


biological source

rabbit

Quality Level

conjugate

unconjugated

antibody form

affinity isolated antibody

antibody product type

primary antibodies

clone

polyclonal

form

buffered aqueous solution

mol wt

antigen 52 kDa

species reactivity

mouse, human, rat

concentration

~1 mg/mL

technique(s)

ELISA: 1:5000, immunohistochemistry: 1:50-1:100, western blot: 1:500-1:1000

NCBI accession no.

UniProt accession no.

shipped in

wet ice

storage temp.

−20°C

target post-translational modification

unmodified

Gene Information

human ... PSEN1(5663)

General description

Anti-PSEN1 Antibody detects endogenous levels of total PSEN1 protein.

Immunogen

The antiserum was produced against synthesized peptide derived from human PSEN1.

Immunogen Range: 323-372

Features and Benefits

Evaluate our antibodies with complete peace of mind. If the antibody does not perform in your application, we will issue a full credit or replacement antibody. Learn more.

Physical form

Rabbit IgG in phosphate buffered saline (without Mg2+ and Ca2+), pH 7.4, 150mM NaCl, 0.02% sodium azide and 50% glycerol.

Disclaimer

Unless otherwise stated in our catalog or other company documentation accompanying the product(s), our products are intended for research use only and are not to be used for any other purpose, which includes but is not limited to, unauthorized commercial uses, in vitro diagnostic uses, ex vivo or in vivo therapeutic uses or any type of consumption or application to humans or animals.


Still not finding the right product?

Explore all of our products under

或者

试用我们的 产品选型工具 工具缩小选择范围


存储类别

10 - Combustible liquids

wgk

nwg

flash_point_f

Not applicable

flash_point_c

Not applicable

法规信息

新产品

此项目有



历史批次信息供参考:

分析证书(COA)

Lot/Batch Number

没有发现合适的版本?

如果您需要特殊版本,可通过批号或批次号查找具体证书。

已有该产品?

在文件库中查找您最近购买产品的文档。

访问文档库



Xiao-Wei Song et al.
Cell biology international, 46(3), 475-487 (2021-12-24)
Mutations of PSEN1 have been reported in dilated cardiomyopathy pedigrees. Understanding the effects and mechanisms of PSEN1 in cardiomyocytes might have important implications for treatment of heart diseases. Here, we showed that PSEN1 was downregulated in ischemia-induced failing hearts. Functionally
Simon Cabello-Aguilar et al.
Nucleic acids research, 48(10), e55-e55 (2020-03-21)
Single-cell transcriptomics offers unprecedented opportunities to infer the ligand-receptor (LR) interactions underlying cellular networks. We introduce a new, curated LR database and a novel regularized score to perform such inferences. For the first time, we try to assess the confidence



全球贸易项目编号

货号GTIN
SAB4502423-100UG04061837189609