跳转至内容
Merck
CN

SAB5702387

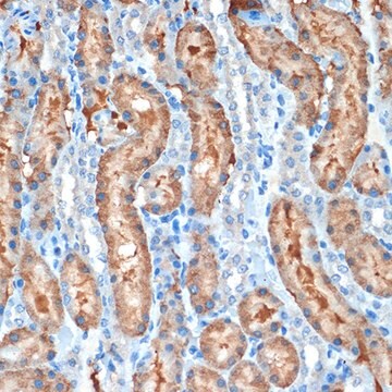
Anti-MUC4 Antibody, clone 5J3R7, Rabbit Monoclonal

别名:

ASGP, HSA276359, MUC-4

登录 查看组织和合同定价。

选择尺寸


关于此项目

NACRES:
NA.46
UNSPSC Code:
12352203
Conjugate:
unconjugated
Clone:
5J3R7, monoclonal
Application:
IHC, WB
Citations:
-
技术服务
需要帮助?我们经验丰富的科学家团队随时乐意为您服务。
让我们为您提供帮助
技术服务
需要帮助?我们经验丰富的科学家团队随时乐意为您服务。
让我们为您提供帮助

biological source

rabbit

conjugate

unconjugated

material

colorless

clone

5J3R7, monoclonal

form

liquid

mol wt

120 kDa

species reactivity

rat, human

concentration

0.65 mg/mL

technique(s)

immunohistochemistry: 1:50 - 1:200, western blot: 1:500 - 1:2000

color

colorless

isotype

IgG

immunogen sequence

WATVSVIALSNILHASASLPPEYQNRTEGLLGVWNNNPEDDFRMPNGSTIPPGSPEEMLFHFGMTWQINGTGLLGKRNDQLPSNFTPVFYSQLQKNSSWAEHLISNCDGD

UniProt accession no.

shipped in

wet ice

storage temp.

−20°C

target post-translational modification

unmodified

Quality Level

Gene Information

human ... MUC4(4585)

General description

The major constituents of mucus, the viscous secretion that covers epithelial surfaces such as those in the trachea, colon, and cervix, are highly glycosylated proteins called mucins. These glycoproteins play important roles in the protection of the epithelial cells and have been implicated in epithelial renewal and differentiation. This gene encodes an integral membrane glycoprotein found on the cell surface, although secreted isoforms may exist. At least two dozen transcript variants of this gene have been found, although for many of them the full-length transcript has not been determined or they are found only in tumor tissues. This gene contains a region in the coding sequence which has a variable number (>100) of 48 nt tandem repeats. [provided by RefSeq, Jul 2008]

Immunogen

PBS with 0.02% sodium azide,0.05% BSA,50% glycerol,pH7.3.
Recombinant fusion protein containing a sequence corresponding to amino acids 4807-4916 of human MUC4 (Q99102).

Application

WB, IHC

存储类别

10 - Combustible liquids

wgk

WGK 1

法规信息

常规特殊物品
此项目有

历史批次信息供参考:

分析证书(COA)

Lot/Batch Number

It looks like we've run into a problem, but you can still download Certificates of Analysis from our 文件 section.

如需帮助,请联系 客户支持

已有该产品?

在文件库中查找您最近购买产品的文档。

访问文档库

我们的科学家团队拥有各种研究领域经验,包括生命科学、材料科学、化学合成、色谱、分析及许多其他领域.

联系客户支持