SAB6012003
Anti PSMB10 Antibody, clone 23GB2170, Rabbit Monoclonal


clone 23GB2170, recombinant rabbit monoclonal, expressed in HEK293 cells
别名:
BETA2I, LMP10, MECL1, PRAAS5
生物来源
rabbit (Monoclonal)
质量水平
重组
expressed in HEK 293 cells
偶联物
unconjugated
抗体形式
affinity isolated antibody
抗体产品类型
primary antibodies
克隆
23GB2170, recombinant monoclonal
表单
buffered aqueous glycerol solution
分子量
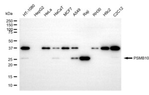
29 kDa
种属反应性
rat, human
包装
vial of 1.5 mL
增强验证
recombinant expression
Learn more about Antibody Enhanced Validation
浓度
0.5 mg/ml
技术
flow cytometry: 1:2000
immunofluorescence: 1:100-:1000
western blot: 1:1,000-1:5,000
同位素/亚型
IgG
基因组数据库 |人类登记号
NCBI登记号
UniProt登记号
运输
wet ice
储存温度
−20°C
靶向翻译后修饰
unmodified
基因信息
human ... PSMB10(5699)
一般描述
The proteasome is a multicatalytic proteinase complex with a highly ordered ring-shaped 20S core structure. The core structure is composed of 4 rings of 28 non-identical subunits; 2 rings are composed of 7 alpha subunits and 2 rings are composed of 7 beta subunits. Proteasomes are distributed throughout eukaryotic cells at a high concentration and cleave peptides in an ATP/ubiquitin-dependent process in a non-lysosomal pathway. An essential function of a modified proteasome, the immunoproteasome, is the processing of class I MHC peptides. This gene encodes a member of the proteasome B-type family, also known as the T1B family, that is a 20S core beta subunit. Proteolytic processing is required to generate a mature subunit. Expression of this gene is induced by gamma interferon, and this gene product replaces catalytic subunit 2 (proteasome beta 7 subunit) in the immunoproteasome. [provided by RefSeq, Jul 2008]
免疫原
A synthesized peptide corresponding to a sequence within amino acids 215-250 of human PSMB10 [NP_002792.1].
外形
Solution in PBS (pH 7.4) containing 50% glycerol, and 0.02% sodium azide.
其他说明
Gently mix before use. Optimal concentrations and conditions for each application should be determined by the user.
未找到合适的产品?
试试我们的产品选型工具.
法规信息
新产品
此项目有
我们的科学家团队拥有各种研究领域经验,包括生命科学、材料科学、化学合成、色谱、分析及许多其他领域.
联系客户支持