跳转至内容
Merck
CN

SAB6012357

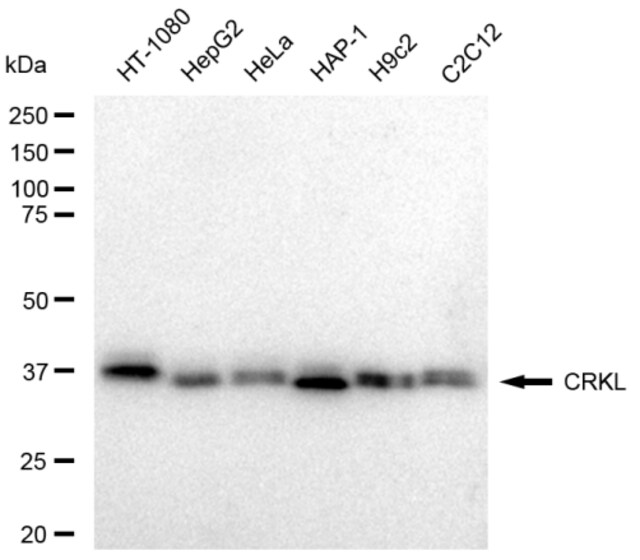
KD-Validated Anti CRKL Antibody, clone 23GB4735, Rabbit Monoclonal

greener alternative

clone 23GB4735, recombinant rabbit monoclonal, expressed in HEK293 cells

别名:

N/A

登录 查看组织和合同定价。

选择尺寸


关于此项目

UNSPSC Code:
12352203
Conjugate:
unconjugated
Clone:
23GB4735, recombinant monoclonal
Application:
western blot
Species reactivity:
human, rat
Citations:
Technique(s):
western blot: 1:1,000-1:5,000
Uniprot accession no.:
技术服务
需要帮助?我们经验丰富的科学家团队随时乐意为您服务。
让我们为您提供帮助
技术服务
需要帮助?我们经验丰富的科学家团队随时乐意为您服务。
让我们为您提供帮助

产品名称

KD-Validated Anti CRKL Antibody, clone 23GB4735, Rabbit Monoclonal, clone 23GB4735, recombinant rabbit monoclonal, expressed in HEK293 cells

biological source

rabbit (Monoclonal)

recombinant

expressed in HEK 293 cells

conjugate

unconjugated

antibody form

affinity isolated antibody

antibody product type

primary antibodies

clone

23GB4735, recombinant monoclonal

form

buffered aqueous glycerol solution

mol wt

34 kDa

species reactivity

human, rat

packaging

vial of 1.5 mL

enhanced validation

recombinant expression
Learn more about Antibody Enhanced Validation

Quality Level

Gene Information

human ... CRKL(1399)

sustainability

Greener Alternative Product

concentration

0.6 mg/ml

technique(s)

western blot: 1:1,000-1:5,000

isotype

IgG

Ensembl | human accession no.

NCBI accession no.

UniProt accession no.

greener alternative category

shipped in

wet ice

storage temp.

−20°C

target post-translational modification

unmodified

General description

This gene encodes a protein kinase containing SH2 and SH3 (src homology) domains which has been shown to activate the RAS and JUN kinase signaling pathways and transform fibroblasts in a RAS-dependent fashion. It is a substrate of the BCR-ABL tyrosine kinase, plays a role in fibroblast transformation by BCR-ABL, and may be oncogenic.[provided by RefSeq, Jan 2009]
We are committed to bringing you Greener Alternative Products. This product is a Design for Sustainability (DfS) developed product, which belongs to one of the four categories of greener alternatives. Click here to view its DfS scorecard.

Immunogen

A synthesized peptide corresponding to a sequence within amino acids 261-303 of human CrkL [NP_005198.1].

Other Notes

Gently mix before use. Optimal concentrations and conditions for each application should be determined by the user.

Physical form

Solution in PBS (pH 7.4) containing 50% glycerol, and 0.02% sodium azide.

未找到合适的产品?  

试试我们的产品选型工具.

法规信息

新产品
此项目有

历史批次信息供参考:

分析证书(COA)

Lot/Batch Number

It looks like we've run into a problem, but you can still download Certificates of Analysis from our 文件 section.

如需帮助,请联系 客户支持

已有该产品?

在文件库中查找您最近购买产品的文档。

访问文档库

相关内容

我们的科学家团队拥有各种研究领域经验,包括生命科学、材料科学、化学合成、色谱、分析及许多其他领域.

联系客户支持